症例詳細
Case detail
破折した奥歯 抜歯即時埋入インプラントによる補綴治療
治療症例の内容
- 患者様
- 50代男性
- 治療期間
- 3ヶ月
- 治療回数
- 2-5回
- 治療計画
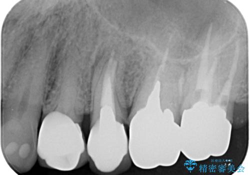
- 舌側に膿の出口がずっと消えずに有り続けることを気にして来院された患者様です。
目視で歯根が破折していることが分かり、保存不可能と判断されたたため、抜歯即時埋入インプラントによる補綴治療を行うこととしました。
- 費用(概算)
- 45万円(税込)費用は治療当時の料金となります
治療について
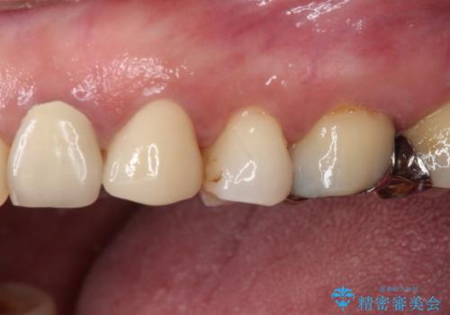
抜歯即時埋入後にはずっと気になっていた排膿が消え、痛みも腫れも特になく、3ヶ月という短期間で無事に治療を終えることができました。
インプラント治療の注意事項(リスク・副作用など)
- 外科手術のため、術後に痛みや腫れ、違和感を伴います
- メンテナンスを怠ったり喫煙により、お口の中に大きな悪影響を及ぼすインプラント周囲炎等にかかる可能性があります
- 糖尿病、肝硬変、心臓病等の場合、インプラント治療ができない可能性があります
- 高血圧、貧血・不整脈等の場合、インプラント治療後に治癒不全を招く可能性があります
- 自費診療(保険適用外治療)となります
セラミック治療の注意事項(リスク・副作用など)
- 天然歯を削ります
- 硬い素材は天然歯を傷つけてしまう場合があります
- かみ合わせや歯ぎしりが強すぎる方はセラミックが割れてしまう可能性があります
- 自費診療(保険適用外治療)となります
当サイトの内容、テキスト、画像等の無断転載、複製、複写、盗用を固く禁じます。
















