症例詳細
Case detail
深い咬み合わせによる隙間 インビザライン矯正でコンプレックスを改善
治療症例の内容
- 診療科目
- 担当医
- 藤巻太一朗(ドクタープロフィール)
- 患者様
- 20代女性
- 矯正装置
- インビザライン
- 治療期間
- 1年
- 治療回数
- 5-10回
- 治療計画
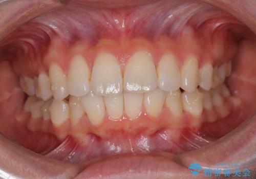
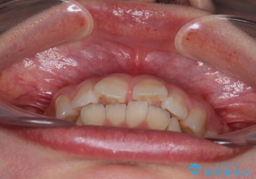
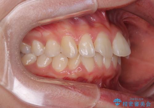
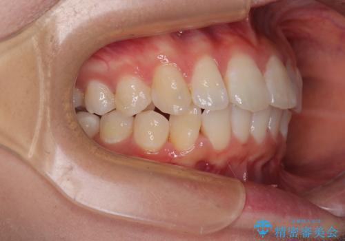
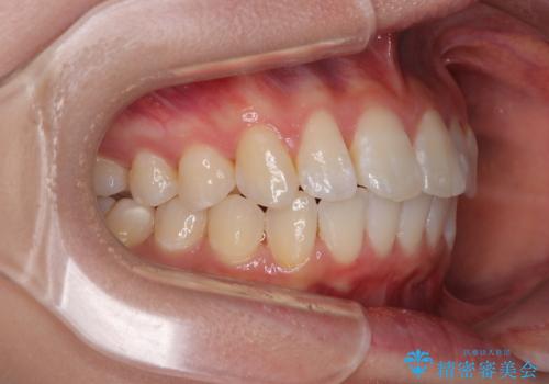
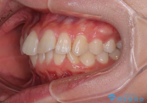
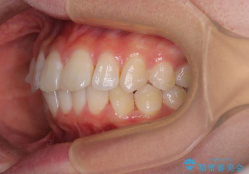
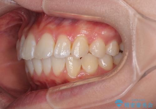
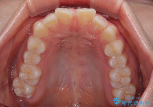
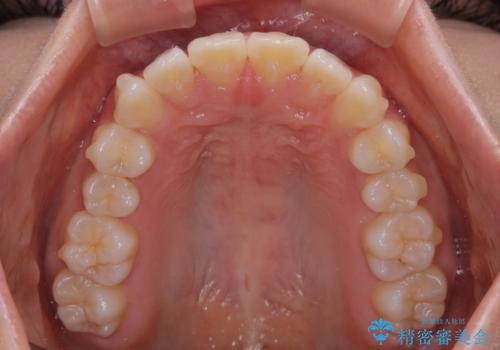
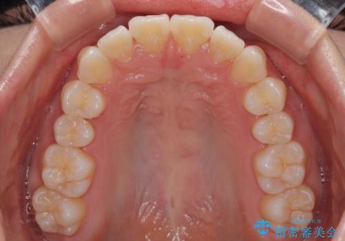
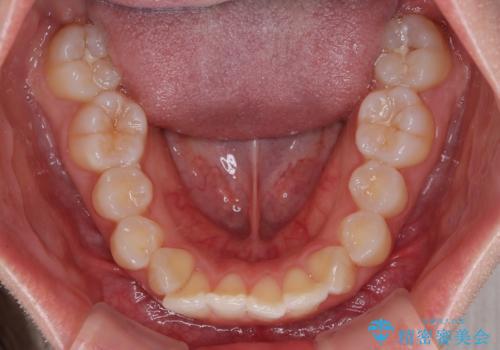
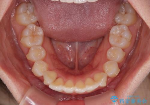
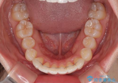
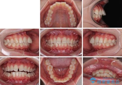
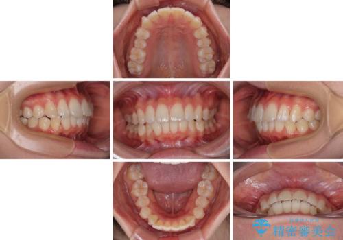
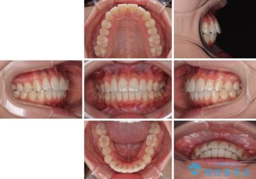
- 上の前歯の隙間を気にして来院された患者様です。
インビザラインにより、上下の歯列を側方に拡大しつつ、前歯の隙間を閉じていくこととしました。
- 費用(概算)
- 90万円(税込)費用は治療当時の料金となります
治療について
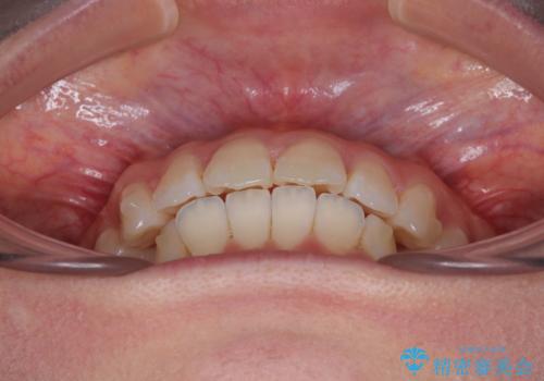
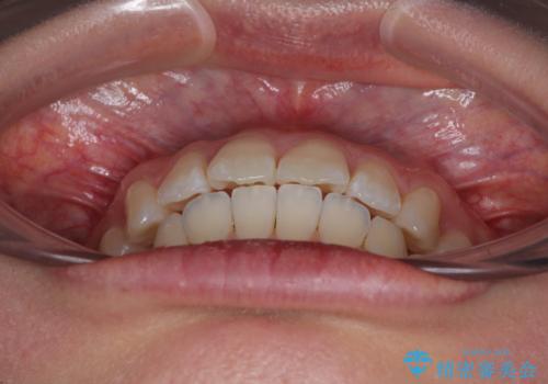
隙間の原因は強い咬合力や舌の突出癖、小帯の異常付着などがありますが、舌のトレーニングをしっかりと行いながら、装着時間を遵守して装着していただいたおかげで、スムーズに治療を終えることができました。
マウスピース矯正の注意事項(リスク・副作用など)
- 口腔内・歯並びの状態によっては対応できない場合があります
- マウスピース型矯正装置の長時間装着(1日20時間以上)が必須です
- 治療計画通りに進めるためには、患者様の意志が重要になります
- 矯正治療後の保定が不十分だと後戻り(元の位置に戻ろうとする動き)をします
- 薬機法対象外の矯正歯科装置のため医薬品副作用被害救済制度の対象外となる場合があります
- 自費診療(保険適用外)となります
当サイトの内容、テキスト、画像等の無断転載、複製、複写、盗用を固く禁じます。



























