症例詳細
Case detail
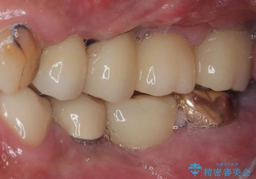
割れてしまった奥歯 抜歯即時埋入インプラントによる短期間治療
治療症例の内容
- 患者様
- 50代男性
- 治療期間
- 6ヶ月
- 治療回数
- 5-10回
- 治療計画
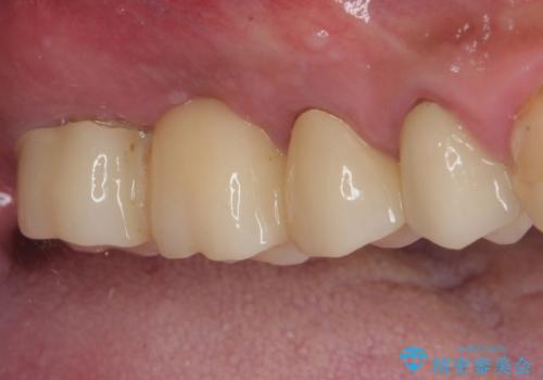
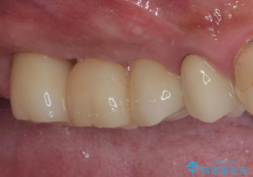
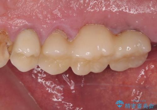
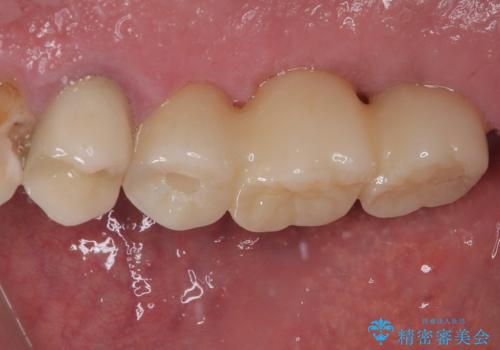
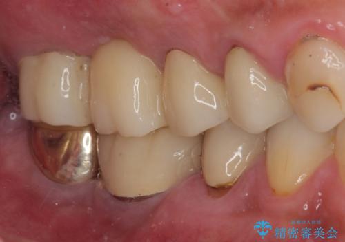
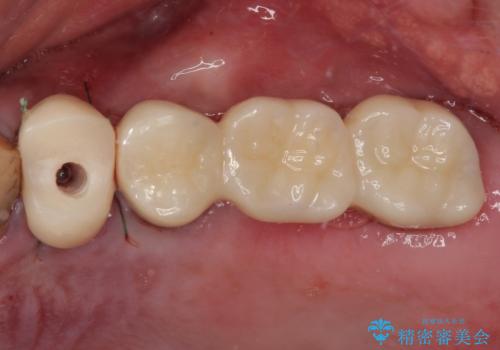
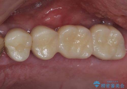
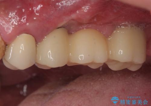
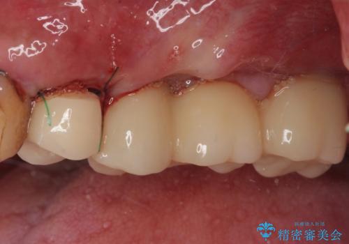
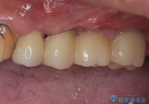
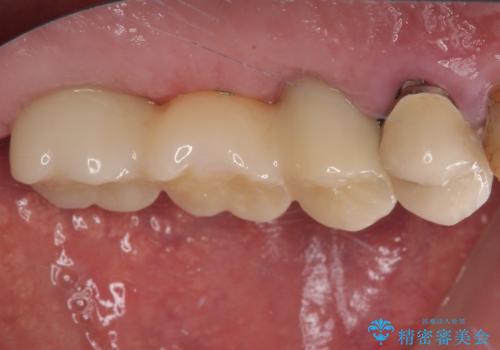
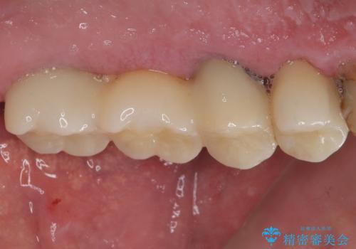
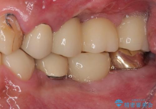
- 土台の歯が割れてしまって、歯がグラグラしているとのことで来院された患者様です。
いずれの歯も抜歯が必要な状態であり、抜歯即時埋入によるインプラント治療を行うこととしました。
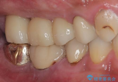
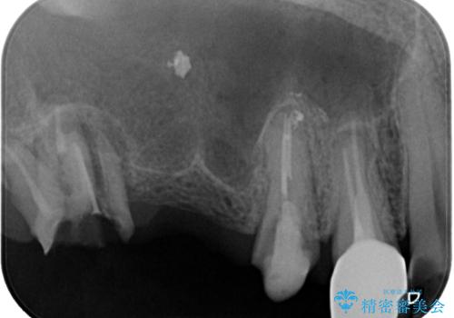
右上奥歯は骨欠損の範囲が広いため、抜歯即時埋入は可能であっても、即日で仮歯を装着する即時荷重は難しいと判断されたため、手前の歯まで仮歯を装着することとしました。
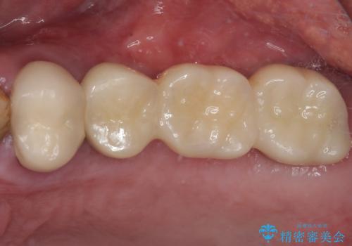
術後にインプラントの安定値を測定し、十分な値が達成された後、速やかにセラミッククラウンにて補綴治療を行うこととしました。
- 費用(概算)
- 145万円(税込)費用は治療当時の料金となります
治療について
強い咬合力により歯根破折を繰り返しているため、即日荷重あるいは早期荷重による他の歯への負担を軽減することが重要となります。
抜歯即時埋入インプラントは、咬合力によるトラブルを回避する、非常に有用な手段となります。
インプラント治療の注意事項(リスク・副作用など)
- 外科手術のため、術後に痛みや腫れ、違和感を伴います
- メンテナンスを怠ったり喫煙により、お口の中に大きな悪影響を及ぼすインプラント周囲炎等にかかる可能性があります
- 糖尿病、肝硬変、心臓病等の場合、インプラント治療ができない可能性があります
- 高血圧、貧血・不整脈等の場合、インプラント治療後に治癒不全を招く可能性があります
- 自費診療(保険適用外治療)となります
セラミック治療の注意事項(リスク・副作用など)
- 天然歯を削ります
- 硬い素材は天然歯を傷つけてしまう場合があります
- かみ合わせや歯ぎしりが強すぎる方はセラミックが割れてしまう可能性があります
- 自費診療(保険適用外治療)となります
当サイトの内容、テキスト、画像等の無断転載、複製、複写、盗用を固く禁じます。

























