症例詳細
Case detail
違和感が続く奥歯 慎重な診断を行ったむし歯治療
治療症例の内容
- 診療科目
- 担当医
- 藤巻太一朗(ドクタープロフィール)
- 患者様
- 30代男性
- 治療期間
- 5ヶ月
- 治療回数
- 5-10回
- 治療計画
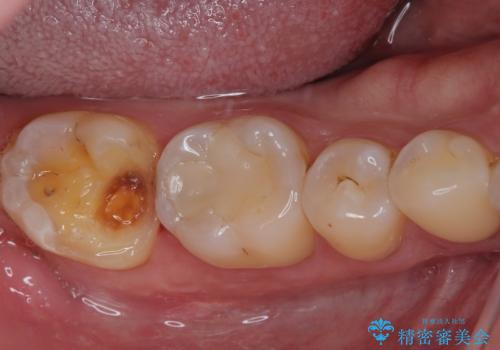
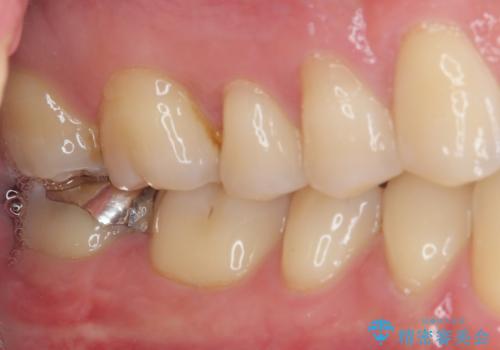
- 右下奥歯に違和感を感じるとのことで来院された患者様です。
食事の際に奥歯に痛みを感じることがあるものの、どの歯であるのかが特定できないとのことでした。
咬合時の痛みは、下顎のみでなく、上顎に原因がある場合もあり、更には頬の筋肉の痛みが原因で歯に痛みを感じることもあるため、診断を慎重に行う必要があります。
頬の筋肉の痛みではないことと上顎の歯に問題がないことは確認ができましたが、下顎の最後臼歯か手前の歯であるかの診断は、非常に難しいものとなりました。
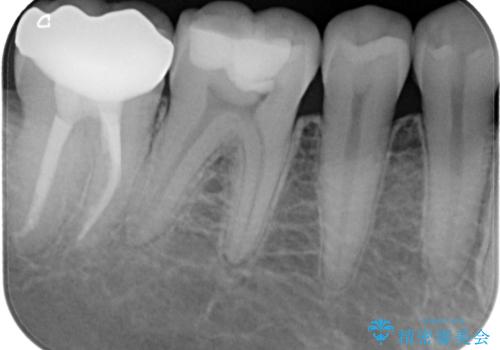
レントゲンやCTでは手前の歯の方が疑わしいように思えましたが、冷熱や電気刺激の反応から正常と判断されました。
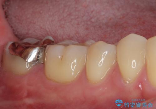
最後の確認方法として、局所麻酔を行わずに最後臼歯の銀歯を外し、神経組織近くまで歯質を切削したところ痛みなどを全く感じず、その後無菌的環境下にて切削を進めたところ、神経組織の一部が壊死していることが確認されました。
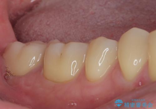
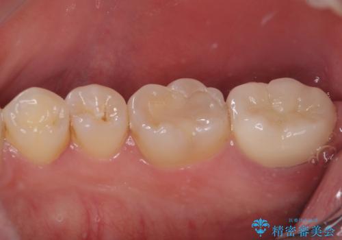
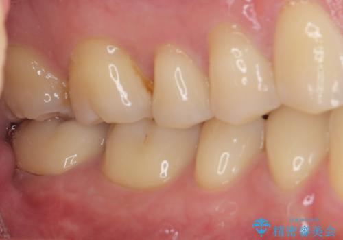
その後は速やかに根管治療を行い、初回の処置以降は痛みや違和感が一気に引いたため、根管治療後にオールセラミッククラウンにて補綴治療を行うこととしました。
- 費用(概算)
- 26万円(税込)費用は治療当時の料金となります
治療について
治療後は一切痛みや違和感を感じることなく、快適に過ごすことができています。
診断には苦労しましたが、誤った処置を行うことなく、無事に治療を終えることができました。
セラミック治療の注意事項(リスク・副作用など)
- 天然歯を削ります
- 硬い素材は天然歯を傷つけてしまう場合があります
- かみ合わせや歯ぎしりが強すぎる方はセラミックが割れてしまう可能性があります
- 自費診療(保険適用外治療)となります
根管治療の注意事項(リスク・副作用など)
- 根管治療により類似の全ての症例の問題が解決するわけではなく、症例はあくまでも一例です
- 根管治療により痛みや腫れがひかない事や、術後に痛みや腫れが生じる事、治療によるファイル破折やパーフォレーションなどの偶発症、術後の歯根破折を生じる可能性もあります
- 自費診療(保険適用外)となります
当サイトの内容、テキスト、画像等の無断転載、複製、複写、盗用を固く禁じます。












