症例詳細
Case detail
気になる前歯を矯正 短期間のワイヤー矯正治療
治療症例の内容
- 診療科目
- 治療カテゴリ
- 担当医
- 藤巻太一朗(ドクタープロフィール)
- 患者様
- 20代女性
- 矯正装置
- 審美装置
- 治療期間
- 7ヶ月
- 治療回数
- 5-10回
- 治療計画
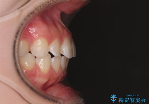
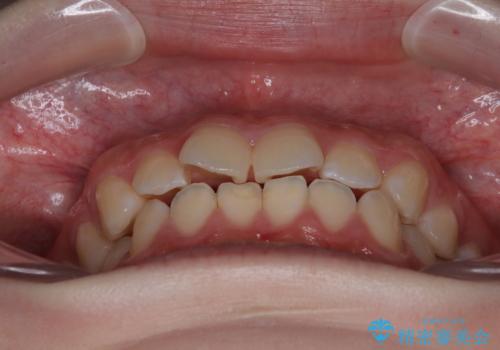
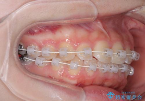
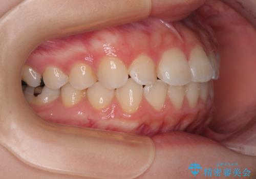
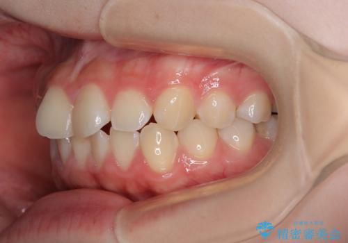
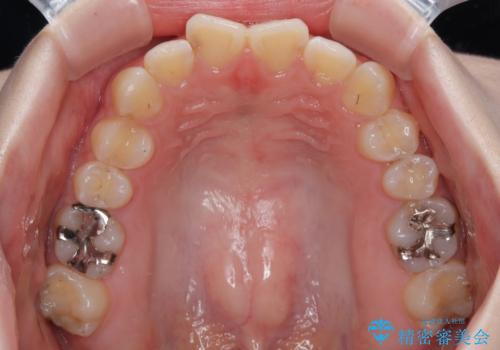
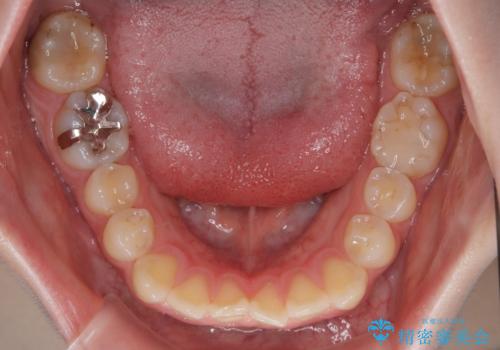
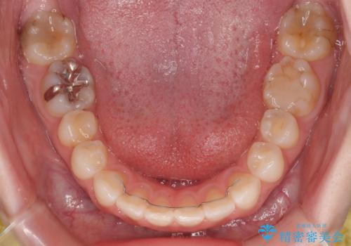
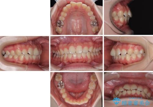
- 上下前歯部のデコボコを気にして来院された患者様です。
叢生は軽度であったため、マウスピースでもワイヤー装置でも対応可能でしたが、マウスピースを長時間使用する自信がないとのことでワイヤー装置にて矯正治療を行うこととしました。
- 費用(概算)
- 75万円(税込)費用は治療当時の料金となります
治療について
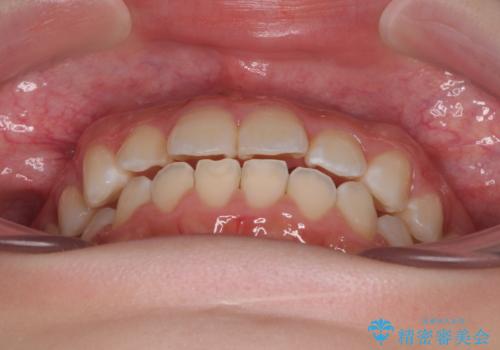
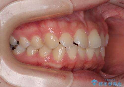
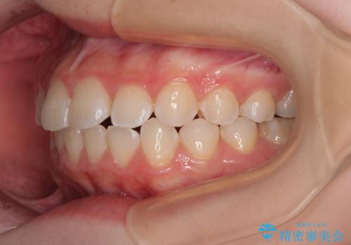
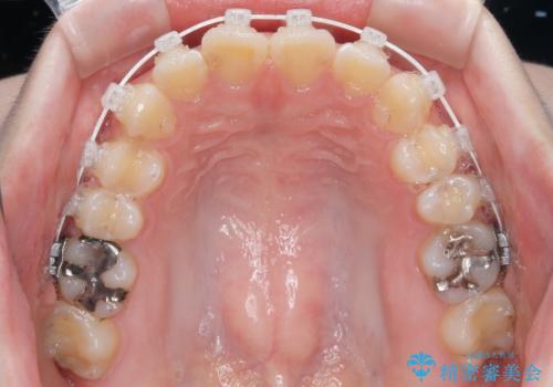
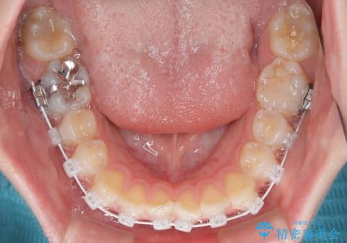
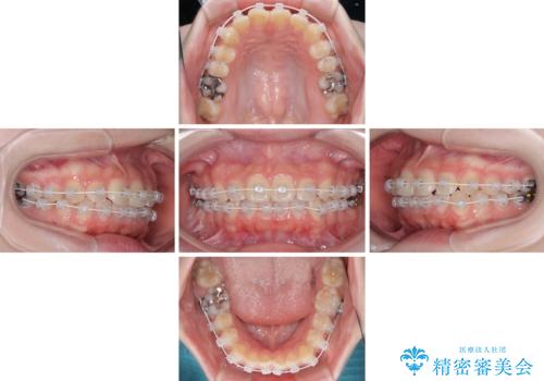
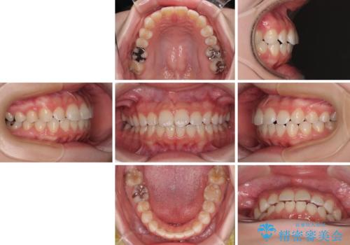
叢生が軽度であったため、僅か半年で装置を除去することができました。
ワイヤー矯正の注意事項(リスク・副作用など)
- 治療中は違和感や痛みが起こることがあります
- 症状により、抜歯が必要な場合があります
- 治療中は歯磨きがしにくくなるため、虫歯や歯周病になりやすくなります
- 矯正治療後の保定が不十分だと後戻り(元の位置に戻ろうとする動き)をします
- 自費診療(保険適用外)となります
当サイトの内容、テキスト、画像等の無断転載、複製、複写、盗用を固く禁じます。


























