症例詳細
Case detail
新幹線通院 地元で断られた奥歯のむし歯治療
治療症例の内容
- 患者様
- 40代女性
- 治療期間
- 6ヶ月
- 治療回数
- 10-30回
- 治療計画
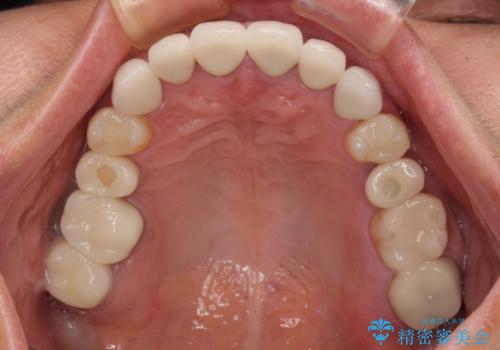
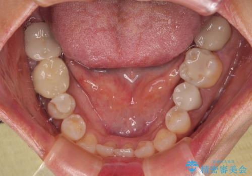
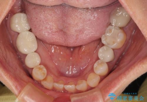
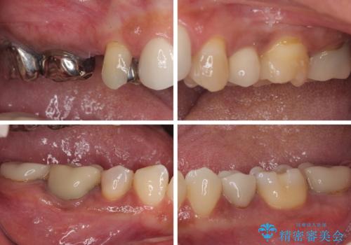
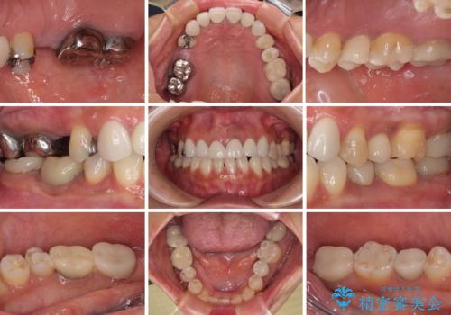
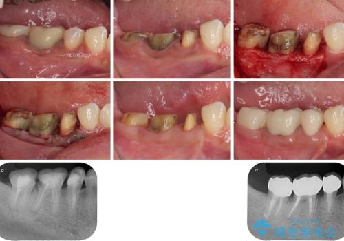
- 地元の歯科医院で治療を行っていたものの、難しいので都会に行くように指示をされたとのことで来院された患者様です。
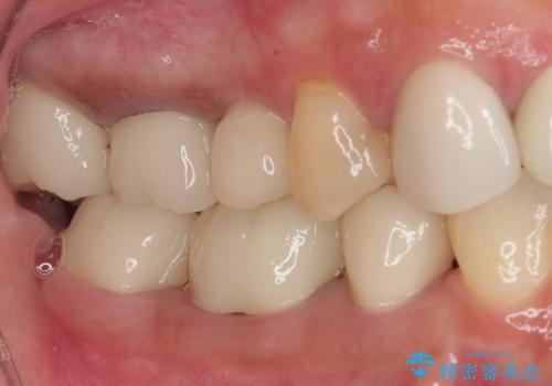
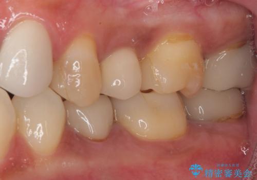
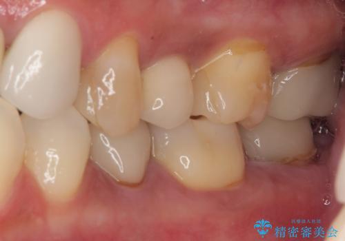
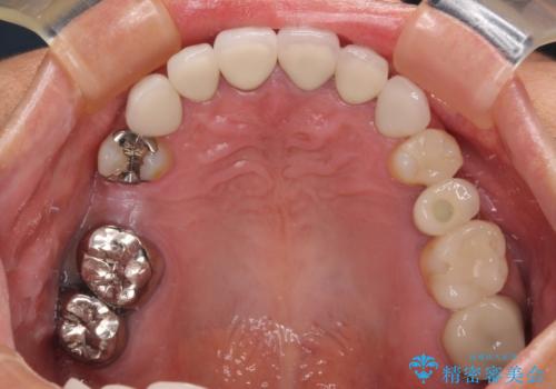
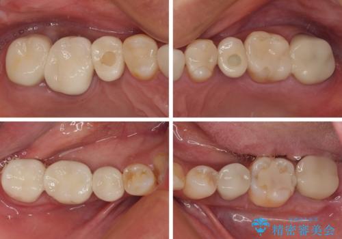
右下のむし歯が歯肉縁下に及んでおり、歯周外科処置(歯冠長延長術)を行った上で、根管治療を行い、状態を整えて補綴治療を行うこととしました。
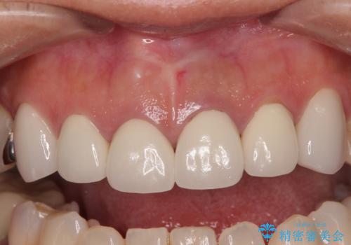
上顎前歯の根尖病変に痛みがありましたが、既に前歯が補綴治療済みであっため、外科的歯内療法(歯根端切除術)を行うことで解決することとしました。
- 費用(概算)
- 165万円(税込)費用は治療当時の料金となります
治療について
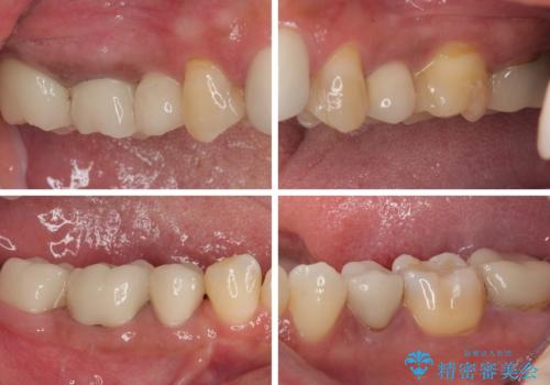
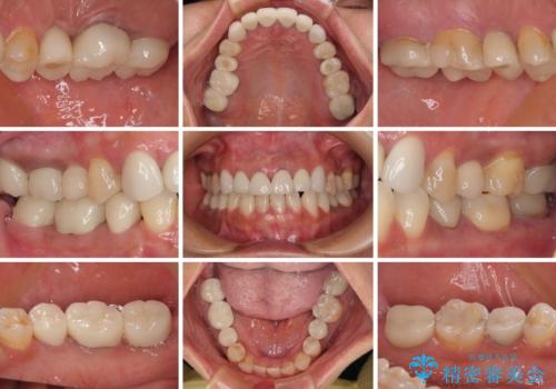
新幹線で通院をされていたため、極力診療回数を減らして、一度にまとめて多くの処置を行うことで負担を軽減しました。
歯周病治療の注意事項(リスク・副作用など)
- 外科手術のため、術後に痛みや腫れ、違和感を伴います
- 歯周組織再生治療は患者様の状態によって術後の経過が異なります(見た目が改善しない場合もあります)
- 歯周組織再生治療は自費診療(保険適用外)となります
根管治療の注意事項(リスク・副作用など)
- 根管治療により類似の全ての症例の問題が解決するわけではなく、症例はあくまでも一例です
- 根管治療により痛みや腫れがひかない事や、術後に痛みや腫れが生じる事、治療によるファイル破折やパーフォレーションなどの偶発症、術後の歯根破折を生じる可能性もあります
- 自費診療(保険適用外)となります
セラミック治療の注意事項(リスク・副作用など)
- 天然歯を削ります
- 硬い素材は天然歯を傷つけてしまう場合があります
- かみ合わせや歯ぎしりが強すぎる方はセラミックが割れてしまう可能性があります
- 自費診療(保険適用外治療)となります
当サイトの内容、テキスト、画像等の無断転載、複製、複写、盗用を固く禁じます。
























