症例詳細
Case detail
【モニター】出っ歯と奥歯の咬み合わせを改善 補助装置を用いたワイヤー抜歯矯正
治療症例の内容
- 診療科目
- 担当医
- 藤巻太一朗(ドクタープロフィール)
- 患者様
- 20代男性
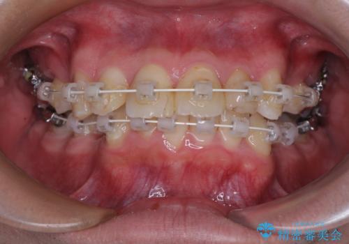
- 矯正装置
- 審美装置
- 治療期間
- 2年8ヶ月
- 治療回数
- 30回以上
- 治療計画
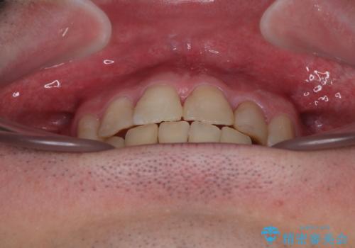
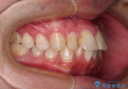
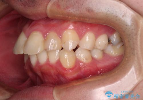
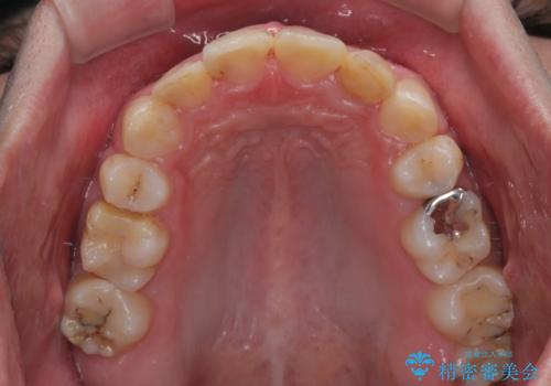
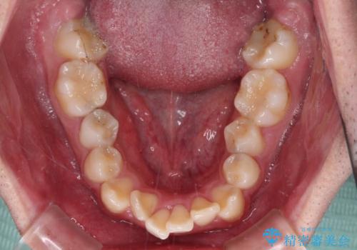
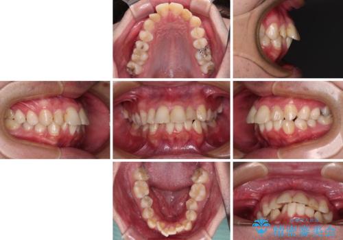
- 口元の突出感と奥歯の咬み合わせの悪さを気にして来院された患者様です。
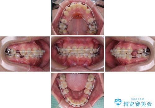
口元はやや突出感があったため、上下左右の第一小臼歯4本を抜歯してワイヤー矯正にて抜歯矯正を行うこととしました。
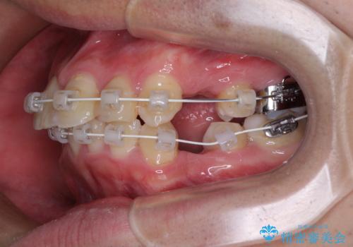
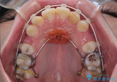
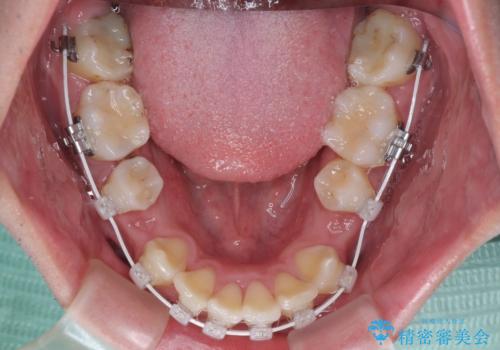
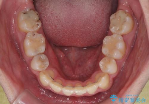
また、左右ともに最後臼歯が交叉咬合になっており、外側に飛び出している上顎の最後臼歯を補助装置を利用して、積極的に内側に引き込むようにしました。
- 費用(概算)
- 90万円(税込)費用は治療当時の料金となります
※顔写真掲載にあたり、患者様の了解を得ております
治療について
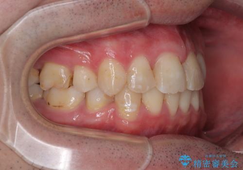
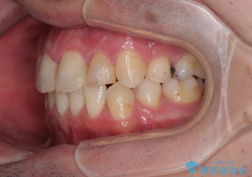
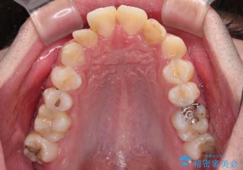
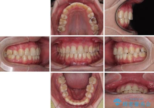
2年半の治療期間を想定しており、予定通りの期間で無事に終了することができました。
唇や顎先に力を入れないなくてもスムーズに唇を閉じることができるようになりました。
ワイヤー矯正の注意事項(リスク・副作用など)
- 治療中は違和感や痛みが起こることがあります
- 症状により、抜歯が必要な場合があります
- 治療中は歯磨きがしにくくなるため、虫歯や歯周病になりやすくなります
- 矯正治療後の保定が不十分だと後戻り(元の位置に戻ろうとする動き)をします
- 自費診療(保険適用外)となります
当サイトの内容、テキスト、画像等の無断転載、複製、複写、盗用を固く禁じます。


























