症例詳細
Case detail
奥歯の大きなむし歯 神経を残してセラミック治療
治療症例の内容
- 診療科目
- 担当医
- 藤巻太一朗(ドクタープロフィール)
- 患者様
- 30代女性
- 治療期間
- 1ヶ月
- 治療回数
- 2-5回
- 治療計画
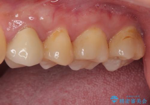
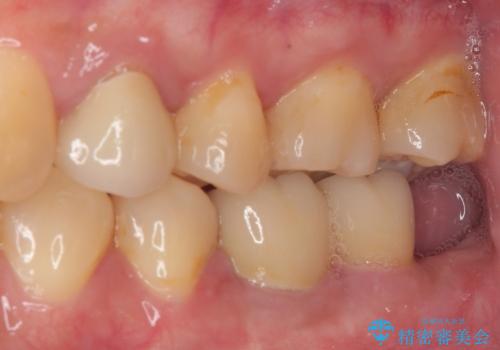
- 奥歯に物が挟まるとのことで来院された患者様です。
レントゲン写真より、奥歯2本に大きなむし歯があることが分かりました。
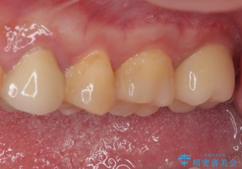
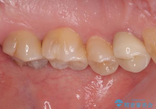
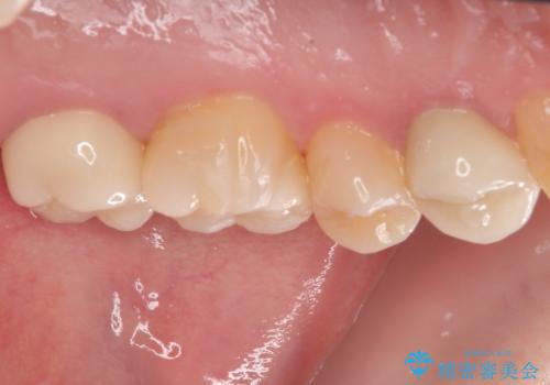
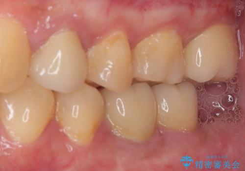
手前の歯はセラミックインレーで、奥の歯はオールセラミッククラウンにて治療を行うこととしました。
- 費用(概算)
- 21万円(税込)費用は治療当時の料金となります
治療について
むし歯の範囲は大きかったですが、事前の症状もなく、処置後も一切の痛みなく快適に過ごすことができています。
セラミック治療の注意事項(リスク・副作用など)
- 天然歯を削ります
- 硬い素材は天然歯を傷つけてしまう場合があります
- かみ合わせや歯ぎしりが強すぎる方はセラミックが割れてしまう可能性があります
- 自費診療(保険適用外治療)となります
当サイトの内容、テキスト、画像等の無断転載、複製、複写、盗用を固く禁じます。










