症例詳細
Case detail
歯周ポケットの除去を併用したセラミック治療
治療症例の内容
- 患者様
- 40代女性
- 治療期間
- 8ヶ月
- 治療回数
- 10-30回
- 治療計画
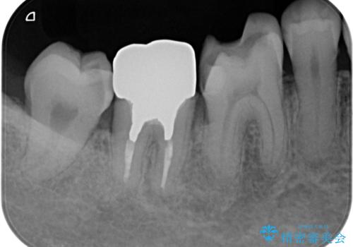
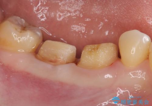
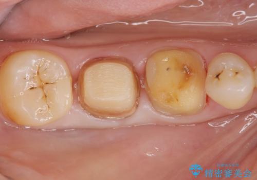
- 歯周病や虫歯、歯の欠けなど多数の問題を他院で指摘され、今後長く持つように歯の問題をしっかりと解決したい。と希望され来院されました。
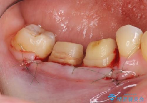
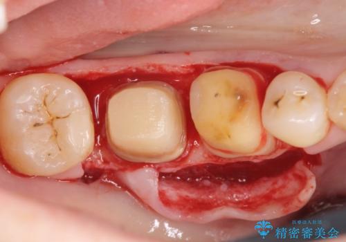
適合や審美性に優れるセラミック治療を行う前に、歯周病の問題を歯周外科を行うことで解決し将来的に不安のないような口腔内環境を整備していきます。
- 費用(概算)
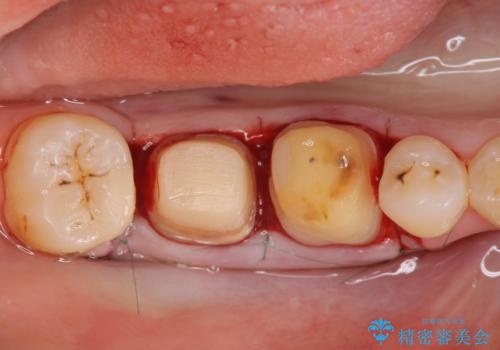
- 110万円(ジルコニアクラウン×6・仮歯×6 歯周外科×2)費用は治療当時の料金となります
治療について
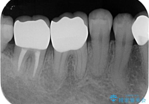
治療前に4-5mm程度あった歯周ポケットは全て2mm以内となり、非常に清掃性が高く、歯周病の再発しずらい環境に整えた上でのセラミック治療を実践することができました。
歯周病治療の注意事項(リスク・副作用など)
- 外科手術のため、術後に痛みや腫れ、違和感を伴います
- 歯周組織再生治療は患者様の状態によって術後の経過が異なります(見た目が改善しない場合もあります)
- 歯周組織再生治療は自費診療(保険適用外)となります
セラミック治療の注意事項(リスク・副作用など)
- 天然歯を削ります
- 硬い素材は天然歯を傷つけてしまう場合があります
- かみ合わせや歯ぎしりが強すぎる方はセラミックが割れてしまう可能性があります
- 自費診療(保険適用外治療)となります
当サイトの内容、テキスト、画像等の無断転載、複製、複写、盗用を固く禁じます。
















