症例詳細
Case detail
歯のデコボコを治したい! |インビザラインでわずか6ヵ月で矯正完了!
治療症例の内容
- 診療科目
- 治療カテゴリ
- 担当医
- 河野豊嘉(ドクタープロフィール)
- 患者様
- 30代女性
- 治療期間
- 6ヶ月
- 治療回数
- 5-10回
- 治療計画
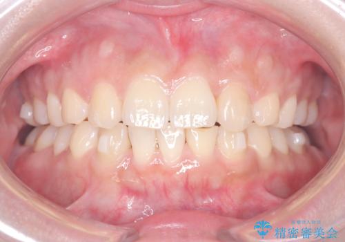
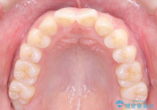
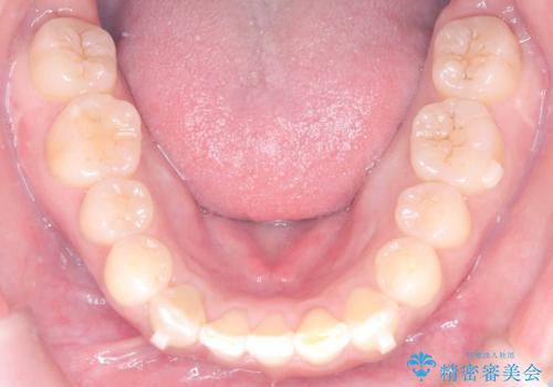
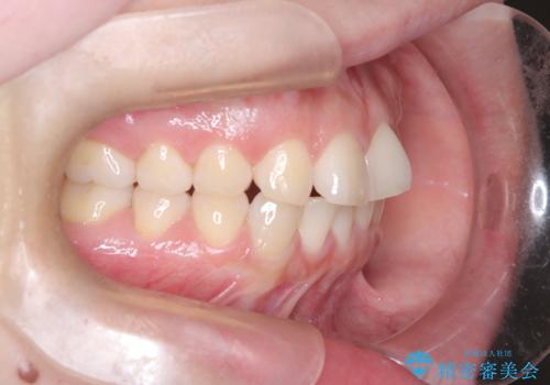
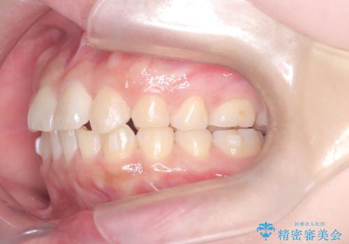
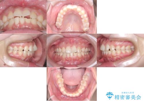
- 「歯の捻じれとがたつき」を主訴に来院された患者様です。
軽度な捻転と叢生だったため、インビザラインのモデレートで治療を行いわずか半年で治療を終える事が出来ました!
- 費用(概算)
- 税込583,000円費用は治療当時の料金となります
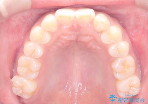
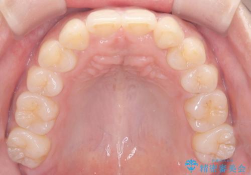
治療について
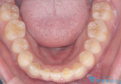
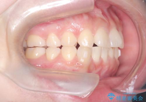
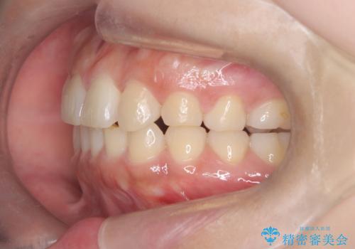
目立たないマウスピース矯正【インビザライン】を使用し、
わずか6ヵ月で歯並びがキレイに整いました!
★ 周囲に気づかれにくい
★ 取り外しができて衛生的
★短期間で見た目の印象が大きく変わる
矯正後は、リテーナー(保定装置)を使用し後戻りを防止中です。
患者様にとてもご満足いただけました。
マウスピース矯正の注意事項(リスク・副作用など)
- 口腔内・歯並びの状態によっては対応できない場合があります
- マウスピース型矯正装置の長時間装着(1日20時間以上)が必須です
- 治療計画通りに進めるためには、患者様の意志が重要になります
- 矯正治療後の保定が不十分だと後戻り(元の位置に戻ろうとする動き)をします
- 薬機法対象外の矯正歯科装置のため医薬品副作用被害救済制度の対象外となる場合があります
- 自費診療(保険適用外)となります
当サイトの内容、テキスト、画像等の無断転載、複製、複写、盗用を固く禁じます。
























