症例詳細
Case detail
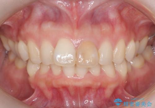
前歯の変色を改善し、本来の自然な美しさへ
治療症例の内容
- 診療科目
- 治療カテゴリ
- 担当医
- 河口智英(ドクタープロフィール)
- 患者様
- 20代女性
- 治療期間
- 2ヶ月
- 治療回数
- 2-5回
- 治療計画
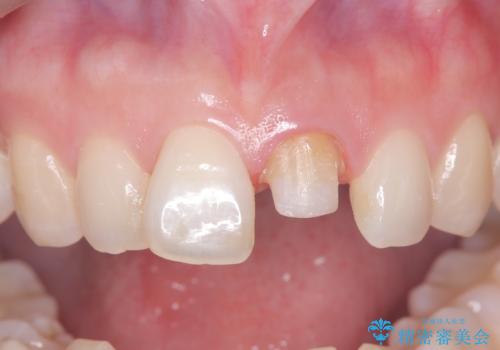
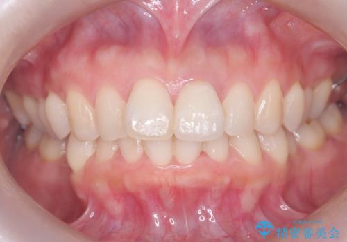
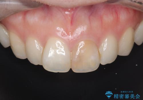
- 以前の根管治療後に生じた左上1番の前歯の変色を気にされて来院されました。患者様のご希望を伺い、オールセラミッククラウンによる審美修復を提案。既根管治療歯であるため、土台の状態や周囲の歯の色調を詳細に分析し、患者様の顔貌に調和した自然で美しい口元を実現するための治療計画を立てました。
- 費用(概算)
- 21万円費用は治療当時の料金となります
治療について
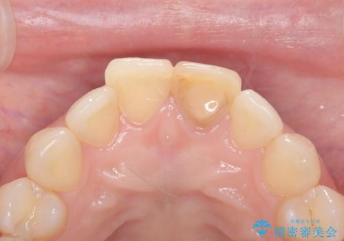
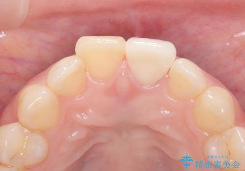
治療では、変色した歯を形成した後、精密なシリコン印象材で型取りを行いました。この型取りから、患者様の歯の色や形、透明感を忠実に再現したオーダーメイドのオールセラミッククラウンを作製。金属を一切使わないため、アレルギーの心配がなく、歯ぐきの変色も防ぎます。技工士と連携し、天然歯と見分けがつかないほどの自然な仕上がりを追求。機能性と審美性を兼ね備えた、理想的な前歯を取り戻していただけました。
セラミック治療の注意事項(リスク・副作用など)
- 天然歯を削ります
- 硬い素材は天然歯を傷つけてしまう場合があります
- かみ合わせや歯ぎしりが強すぎる方はセラミックが割れてしまう可能性があります
- 自費診療(保険適用外治療)となります
当サイトの内容、テキスト、画像等の無断転載、複製、複写、盗用を固く禁じます。












