症例詳細
Case detail
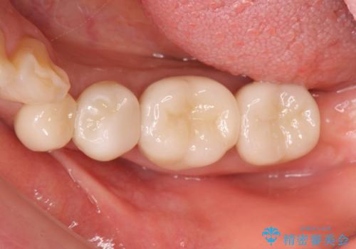
銀歯の除去 長期的な未来を見据えた虫歯治療
治療症例の内容
- 患者様
- 50代女性
- 治療期間
- 10ヶ月
- 治療回数
- 10-30回
- 治療計画
- 「長年使ってきた銀歯からなんとなく臭いがするので治したい、今後しっかり噛めるような歯の治療を受けたい。」
と希望され来院されました。
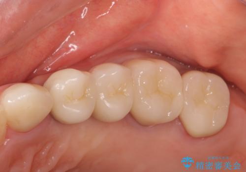
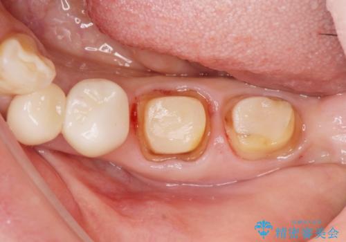
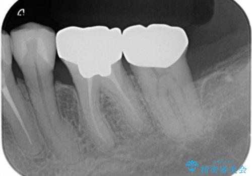
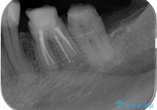
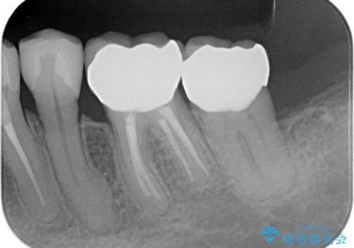
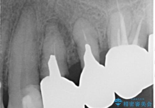
銀歯を除去したのち、虫歯を丁寧に除去し、歯を残せるのかどうかをしっかりと評価し、長期的な予後を見据えた虫歯治療を行っていきます。
- 費用(概算)
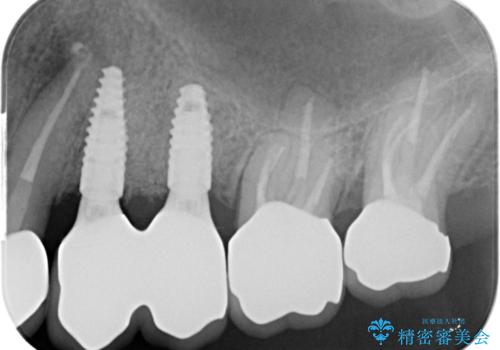
- 154万円(インプラント×2・チタンカスタムアバットメント×2・ジルコニアクラウン×6・仮歯×6)費用は治療当時の料金となります
治療について
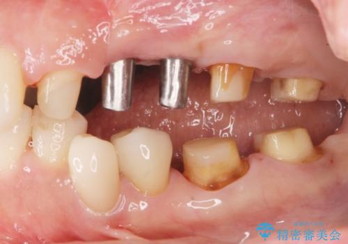
銀歯の下で虫歯が再発していた歯は、無理に残しても割れてしまう可能性が非常に高いと考えたため、相談の上抜去を行いインプラント治療を行っていくこととしました。
インプラント治療の注意事項(リスク・副作用など)
- 外科手術のため、術後に痛みや腫れ、違和感を伴います
- メンテナンスを怠ったり喫煙により、お口の中に大きな悪影響を及ぼすインプラント周囲炎等にかかる可能性があります
- 糖尿病、肝硬変、心臓病等の場合、インプラント治療ができない可能性があります
- 高血圧、貧血・不整脈等の場合、インプラント治療後に治癒不全を招く可能性があります
- 自費診療(保険適用外治療)となります
セラミック治療の注意事項(リスク・副作用など)
- 天然歯を削ります
- 硬い素材は天然歯を傷つけてしまう場合があります
- かみ合わせや歯ぎしりが強すぎる方はセラミックが割れてしまう可能性があります
- 自費診療(保険適用外治療)となります
当サイトの内容、テキスト、画像等の無断転載、複製、複写、盗用を固く禁じます。

















