症例詳細
Case detail
審美ワイヤー矯正とTAD併用による犬歯の遠心移動
治療症例の内容
- 担当医
- 河口智英(ドクタープロフィール)
- 患者様
- 20代女性
- 治療期間
- 1年6ヶ月
- 治療回数
- 10-30回
- 治療計画
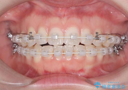
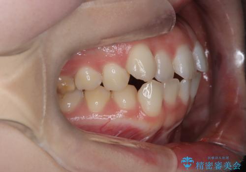
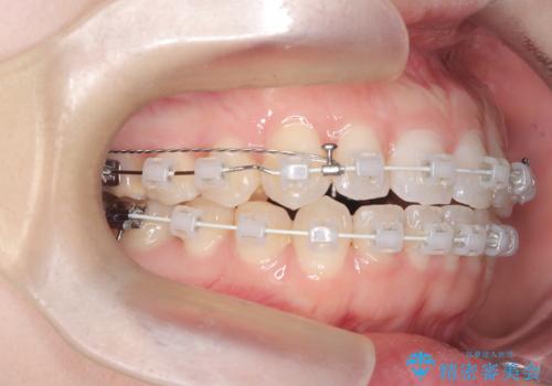
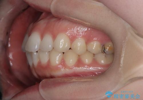
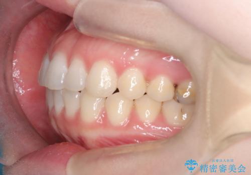
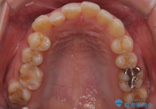
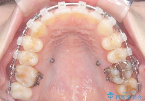
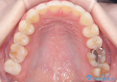
- 歯並びの乱れを改善したいと来院されました。精密検査の結果、犬歯を奥へ動かすことで、より美しい口元と安定した咬み合わせが得られると診断。患者様のご希望から、目立ちにくい審美ワイヤー矯正を採用し、効率的な歯の移動のために**リンガルアーチとTAD(矯正用アンカースクリュー)**を併用する計画を立てました。これにより、抜歯せずにスペースを確保し、犬歯をスムーズに遠心へ移動させます。
- 費用(概算)
- 80万円費用は治療当時の料金となります
治療について
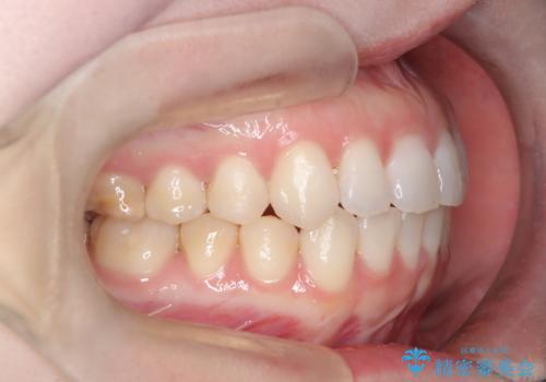
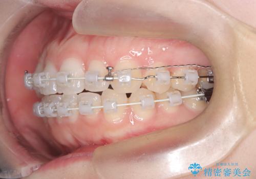
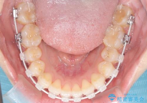
今回の矯正では、装置が目立たないよう透明なブラケットと白いワイヤーを使用。さらに、効率的な歯の移動のために、歯の裏側にリンガルアーチを設置しました。また、確実な奥歯の移動のために**TAD(矯正用アンカースクリュー)**を一時的に使用。これにより、犬歯を狙った位置へ正確に動かすことが可能に。目立ちにくい装置で快適に過ごしながら、理想的な歯並びと咬み合わせを獲得していただけました。
ワイヤー矯正の注意事項(リスク・副作用など)
- 治療中は違和感や痛みが起こることがあります
- 症状により、抜歯が必要な場合があります
- 治療中は歯磨きがしにくくなるため、虫歯や歯周病になりやすくなります
- 矯正治療後の保定が不十分だと後戻り(元の位置に戻ろうとする動き)をします
- 自費診療(保険適用外)となります
当サイトの内容、テキスト、画像等の無断転載、複製、複写、盗用を固く禁じます。















