症例詳細
Case detail
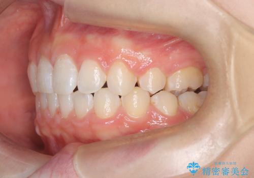
八重歯と歯のズレを解消し、整った笑顔へ
治療症例の内容
- 診療科目
- 治療カテゴリ
- 担当医
- 河口智英(ドクタープロフィール)
- 患者様
- 30代女性
- 治療期間
- 治療回数
- 10-30回
- 治療計画
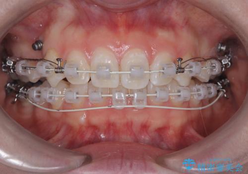
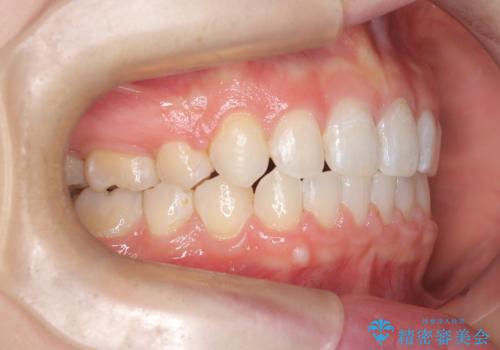
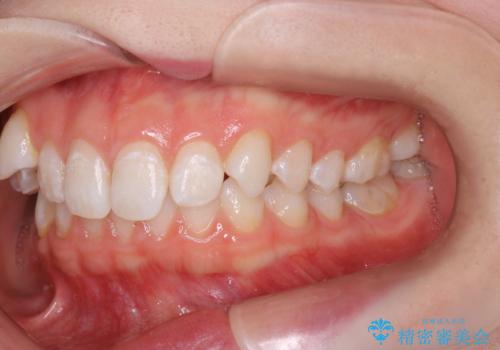
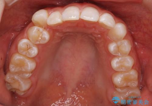
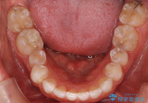
- 右上の八重歯と歯のデコボコ、そして上下の歯の中心(正中)のズレを気にされて来院されました。精密な検査の結果、歯が並ぶスペースが不足しているため、上顎の小臼歯(前から数えて4番目の歯)を抜歯し、そのスペースを利用して歯並び全体を整える治療計画を立案しました。これにより、八重歯の位置を適切に改善し、叢生(歯のデコボコ)を解消するとともに、上下の正中線のズレも改善することを目指します。
- 費用(概算)
- 100万円費用は治療当時の料金となります
治療について
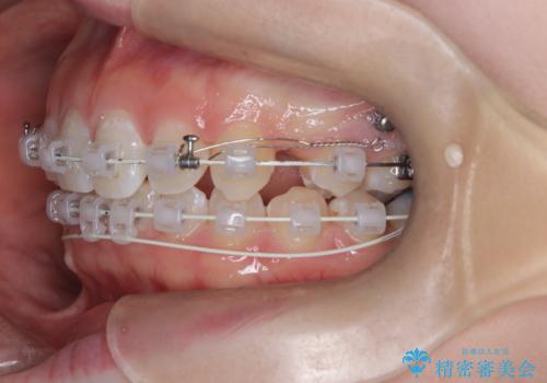
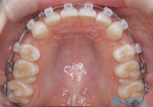
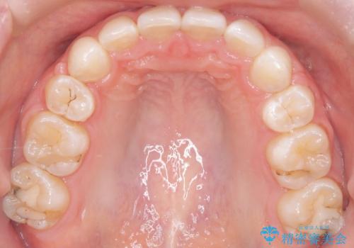
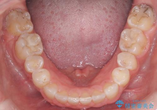
今回の矯正治療では、歯が並ぶスペースを確保するため、上顎の小臼歯を抜歯しました。抜歯によってできたスペースを有効活用し、ワイヤーやブラケットを使って右上の八重歯を適切な位置へ移動させ、叢生を解消していきました。また、治療を通じて上下の歯の中心である正中線のズレも改善するよう、慎重に歯を動かしました。治療の結果、長年気にされていた八重歯と歯のデコボコが解消され、上下の正中線も一致。機能的にも審美的にもバランスの取れた、美しい歯並びと笑顔を獲得していただけました。
ワイヤー矯正の注意事項(リスク・副作用など)
- 治療中は違和感や痛みが起こることがあります
- 症状により、抜歯が必要な場合があります
- 治療中は歯磨きがしにくくなるため、虫歯や歯周病になりやすくなります
- 矯正治療後の保定が不十分だと後戻り(元の位置に戻ろうとする動き)をします
- 自費診療(保険適用外)となります
当サイトの内容、テキスト、画像等の無断転載、複製、複写、盗用を固く禁じます。















