症例詳細
Case detail
難症例の奥歯も3ヶ月で機能回復!抜歯即時インプラントでスピード解決
治療症例の内容
- 担当医
- 河口智英(ドクタープロフィール)
- 患者様
- 30代女性
- 治療期間
- 3ヶ月
- 治療回数
- 5-10回
- 治療計画
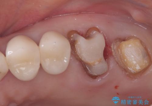
- 左上6番と7番の奥歯に、それぞれ遠心分岐部病変と頬側分岐部に10mmの深い歯周ポケットを認め、慢性的な炎症があります。再根管治療後も経過観察を続けましたが、病状の改善や歯周組織の付着が見られず、外科的歯内療法も選択肢にはありましたが、予後が不確実であること、そして患者様の負担を最小限に抑えたいというご意向を受け、抜歯即時埋入インプラントによる治療計画を立案しました。通常1年ほどかかる治療期間を大幅に短縮し、3ヶ月での機能回復を目指します。
- 費用(概算)
- 100万円費用は治療当時の料金となります
治療について
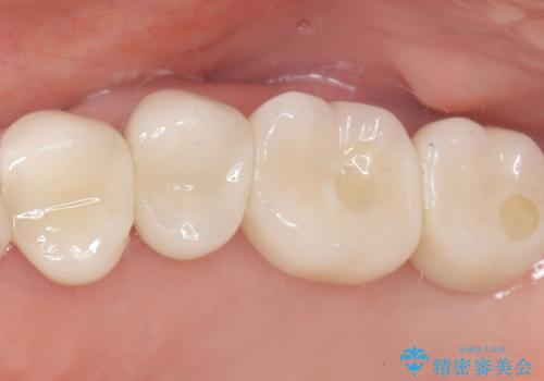
今回のケースでは、特に難しいとされる奥歯の抜歯即時インプラントを適用しました。まず、炎症を起こしていた左上6番と7番を慎重に抜歯し、その直後にインプラントを埋入。この抜歯即時埋入により、歯を失ってからインプラントを埋入するまでの期間を省くことができ、骨の吸収を最小限に抑えられました。痛みや腫れもほとんどなく、患者様は「思ったより楽だった」と仰っていました。結果的に、通常であれば1年近く要する治療をわずか3ヶ月で完了。機能性と審美性を兼ね備えた新しい奥歯により、快適な食生活と笑顔を取り戻していただけました。
セラミック治療の注意事項(リスク・副作用など)
- 天然歯を削ります
- 硬い素材は天然歯を傷つけてしまう場合があります
- かみ合わせや歯ぎしりが強すぎる方はセラミックが割れてしまう可能性があります
- 自費診療(保険適用外治療)となります
インプラント治療の注意事項(リスク・副作用など)
- 外科手術のため、術後に痛みや腫れ、違和感を伴います
- メンテナンスを怠ったり喫煙により、お口の中に大きな悪影響を及ぼすインプラント周囲炎等にかかる可能性があります
- 糖尿病、肝硬変、心臓病等の場合、インプラント治療ができない可能性があります
- 高血圧、貧血・不整脈等の場合、インプラント治療後に治癒不全を招く可能性があります
- 自費診療(保険適用外治療)となります
当サイトの内容、テキスト、画像等の無断転載、複製、複写、盗用を固く禁じます。








