症例詳細
Case detail
セラミッククラウンによる奥歯の修復
治療症例の内容
- 診療科目
- 治療カテゴリ
- 担当医
- 河口智英(ドクタープロフィール)
- 患者様
- 30代男性
- 治療期間
- 1ヶ月
- 治療回数
- 2-5回
- 治療計画
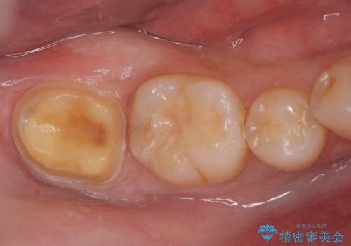
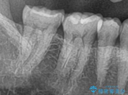
- 右下奥歯の詰め物が繰り返し欠けるとの主訴で来院されました。レントゲンとお口の中を詳細に診査した結果、以前の詰め物が咬み合わせの強い力に耐えきれず、また歯との適合も不十分であることが確認されました。患者様と相談し、今回は強度と耐久性に優れ、見た目も自然なセラミッククラウンで修復する治療計画を立案しました。これにより、再治療のリスクを減らし、長期的に安定した咬み合わせの回復を目指します。
- 費用(概算)
- 15万円費用は治療当時の料金となります
治療について
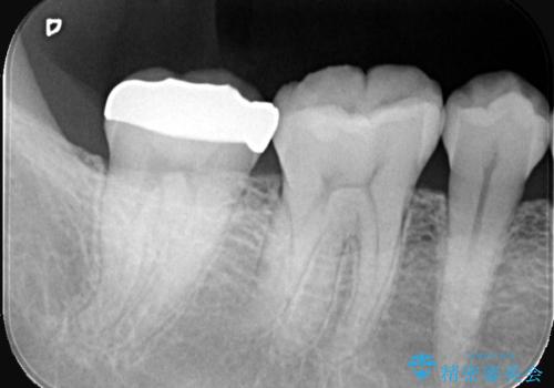
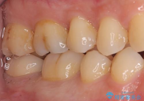
治療では、まず古い詰め物を丁寧に取り除き、虫歯がないか確認しながら歯を丁寧に形を整えました。その後、精密な型取りを行い、患者様の歯の色や形に合わせたオーダーメイドのセラミッククラウンを作製しました。セラミックは天然歯のような透明感があり、非常に審美性に優れています。また、金属を使用しないため、金属アレルギーの心配もありません。
セラミック治療の注意事項(リスク・副作用など)
- 天然歯を削ります
- 硬い素材は天然歯を傷つけてしまう場合があります
- かみ合わせや歯ぎしりが強すぎる方はセラミックが割れてしまう可能性があります
- 自費診療(保険適用外治療)となります
当サイトの内容、テキスト、画像等の無断転載、複製、複写、盗用を固く禁じます。









