症例詳細
Case detail
【モニター】前歯のデコボコをスッキリ解消!目立ちにくいワイヤー矯正でスピーディに治療完了
治療症例の内容
- 診療科目
- 治療カテゴリ
- 担当医
- 齋藤佑磨(ドクタープロフィール)
- 患者様
- 20代女性
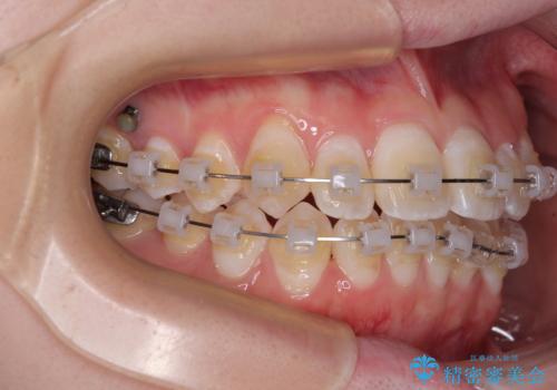
- 矯正装置
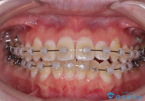
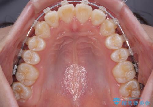
- クリアブラケット
- 治療期間
- 1年
- 治療回数
- 10-30回
- 治療計画
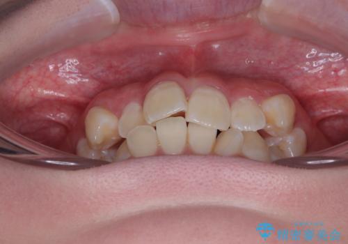
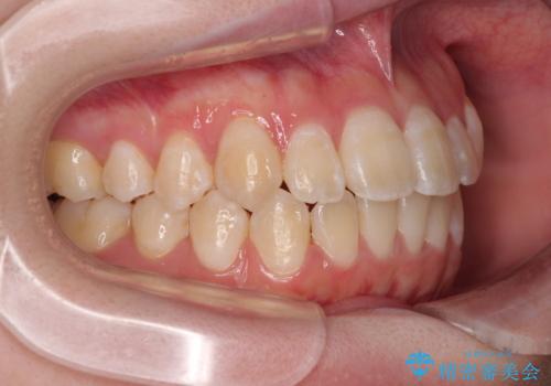
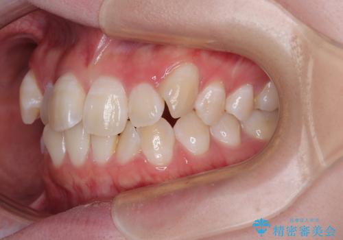
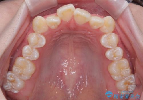
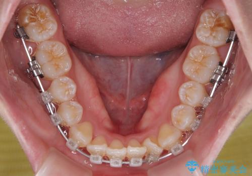
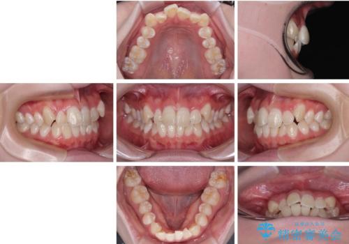
- 「前歯のデコボコ(叢生)をきれいに整えたい」とのことでご来院されました。
マウスピース矯正も検討されていましたが、「装着時間の自己管理が難しそう」「なるべく早く治療を終えたい」とのご希望から、ワイヤー矯正を選択されました。
目立ちにくさと費用のバランスを考慮し、プラスチックブラケット+メタルワイヤーを採用。日常生活でも装置の存在感を気にせずお過ごしいただけます。
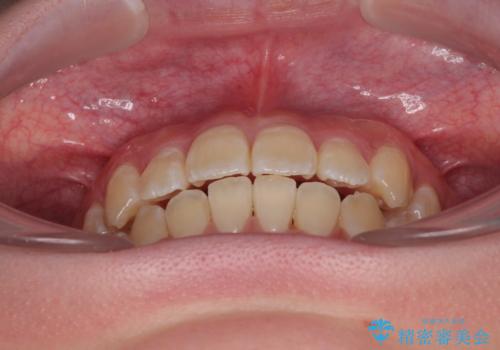
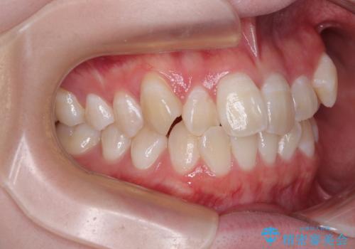
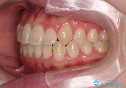
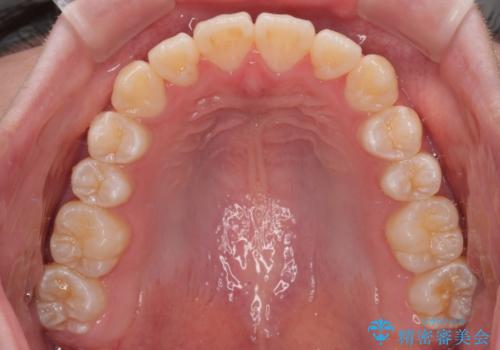
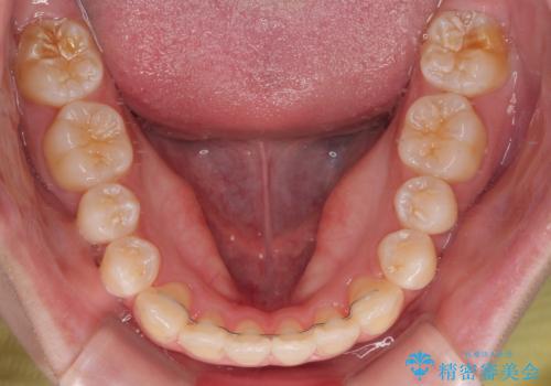
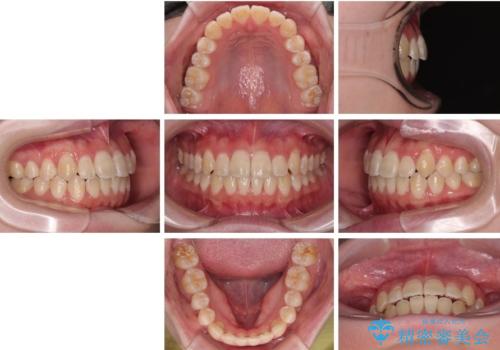
患者様の協力もあり、およそ1年間で治療を完了。スムーズな歯の移動を実現しました。
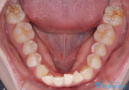
上下の正中(真ん中のライン)もずれることなく、バランスの取れた美しい歯並びに。笑顔に自信を持てる仕上がりとなりました。
- 費用(概算)
- 83万円(税込)費用は治療当時の料金となります
※顔写真掲載にあたり、患者様の了解を得ております
治療について
「もっと時間がかかると思っていましたが、あっという間でした。装置も思ったより気にならず、前歯がきれいに並んでとても満足しています。」とうれしいお言葉をいただきました。
このような方におすすめです
・前歯のガタガタが気になる
・マウスピース矯正の自己管理に不安がある
・見た目に配慮しつつ、しっかり効果を感じたい
・短期間で治療を終えたい
矯正治療にはさまざまな方法がありますが、ライフスタイルやご希望に合わせたご提案を大切にしています。
歯並びが気になる方は、ぜひ一度ご相談ください。
ワイヤー矯正の注意事項(リスク・副作用など)
- 治療中は違和感や痛みが起こることがあります
- 症状により、抜歯が必要な場合があります
- 治療中は歯磨きがしにくくなるため、虫歯や歯周病になりやすくなります
- 矯正治療後の保定が不十分だと後戻り(元の位置に戻ろうとする動き)をします
- 自費診療(保険適用外)となります
当サイトの内容、テキスト、画像等の無断転載、複製、複写、盗用を固く禁じます。

























