症例詳細
Case detail
前歯の色味を治したい オールセラミッククラウン
治療症例の内容
- 診療科目
- 治療カテゴリ
- 担当医
- 有澤哲郎(ドクタープロフィール)
- 患者様
- 50代男性
- 治療期間
- 2ヶ月
- 治療回数
- 2-5回
- 治療計画
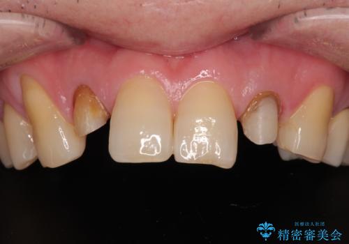
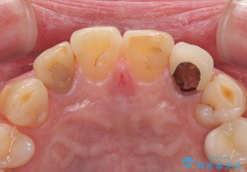
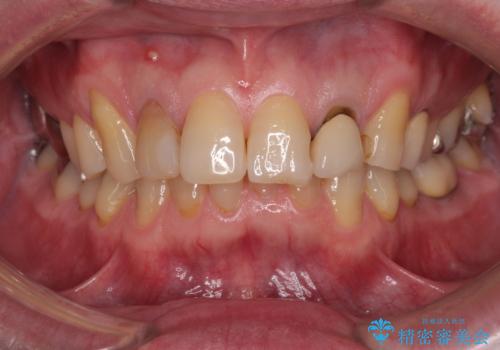
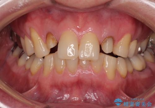
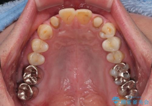
- 前歯の色味が気になるとのことで来院された患者様です。左上の2番目の歯の歯茎のラインと被せものの境目の適合が悪い状態だったのでオールセラミッククラウンによる補綴治療を行っていくことになりました。
金属の土台を外し、ファイバーコアを築造し、オールセラミッククラウンに適切な形に整えました。
左上の2番目の歯の型どりの段階で患者様より右上の2番目の歯も治療をしてほしいとのことで、根管治療(保険診療)、ファイバーコア、オールセラミッククラウンによる補綴治療を行いました。
歯と歯茎の間に圧排糸と言われる糸を入れてシリコーン印象材にて型どりをしました。
- 費用(概算)
- 38万円(税込み)費用は治療当時の料金となります
治療について
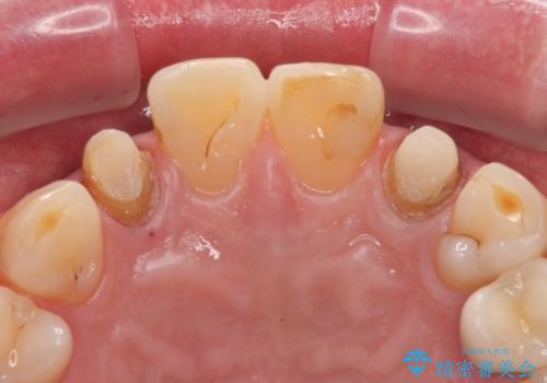
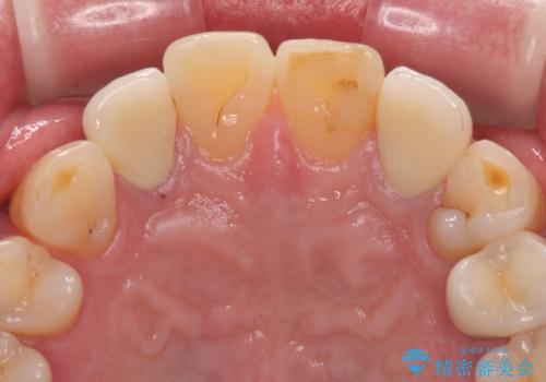
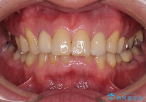
見た目、機能面共に満足していただけました。
右上2番目の歯の違和感もなくなったと喜んでいただけました。
今後もメンテナンスで通ってもらいながら、治療が必要になってきたところは順次行っていく予定です。
セラミック治療の注意事項(リスク・副作用など)
- 天然歯を削ります
- 硬い素材は天然歯を傷つけてしまう場合があります
- かみ合わせや歯ぎしりが強すぎる方はセラミックが割れてしまう可能性があります
- 自費診療(保険適用外治療)となります
保険治療の注意事項(リスク・副作用など)
- 保険医が保険医療機関において健康保険法、医師法、医療法等の各種関係法令の規定を遵守し、『療養担当規則』の規定を遵守し、医学的に妥当適切な診療を行い、診療報酬点数表に定められたとおりに請求を行っています
- 使用する材料・素材や治療方法に制約があります
- 健康保険適用となります
その他の注意事項(リスク・副作用など)
- 担当歯科医師、歯科衛生士又は医院スタッフから受けた説明・注意事項をよくご確認ください
- 医療を提供するに当たり、適切な説明を行い、患者様の十分な理解を得るよう努めております
当サイトの内容、テキスト、画像等の無断転載、複製、複写、盗用を固く禁じます。














