症例詳細
Case detail
急速拡大装置 狭い骨幅を拡大した上で、口元の突出感を改善する抜歯矯正治療
治療症例の内容
- 診療科目
- 担当医
- 藤巻太一朗(ドクタープロフィール)
- 患者様
- 20代女性
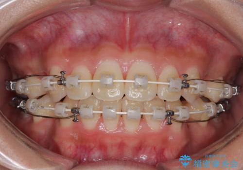
- 矯正装置
- 審美装置
- 治療期間
- 1年10ヶ月
- 治療回数
- 10-30回
- 治療計画
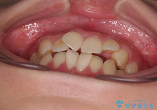
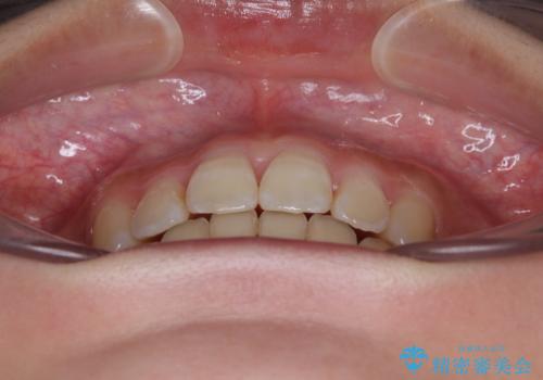
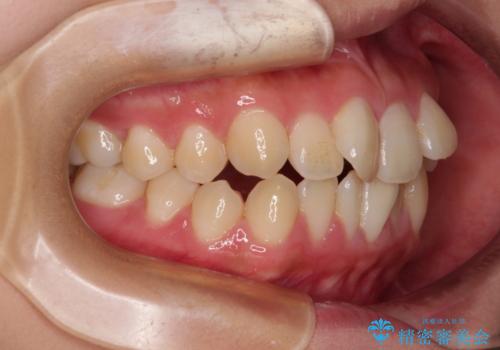
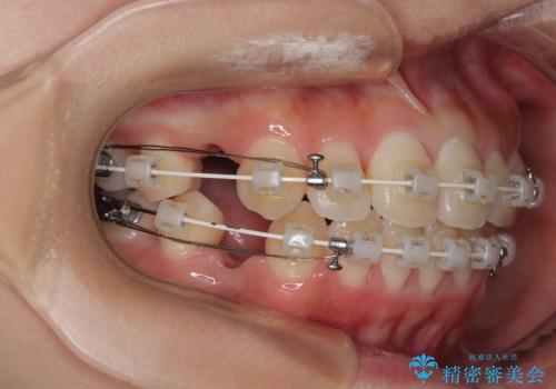
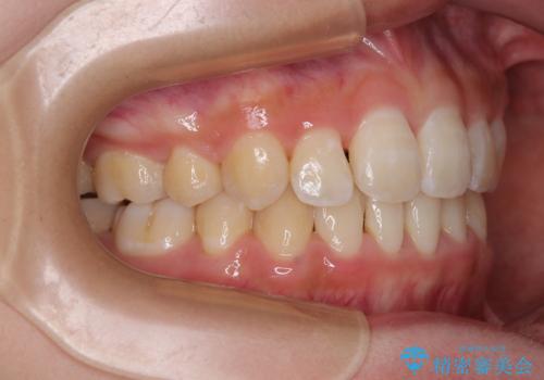
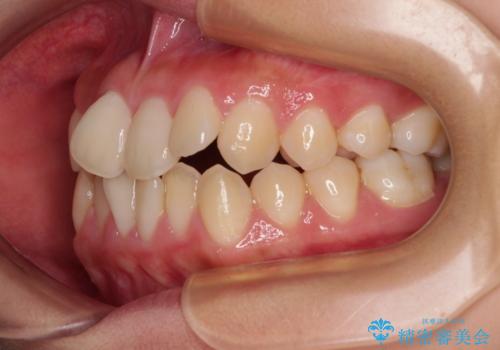
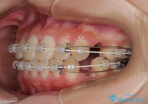
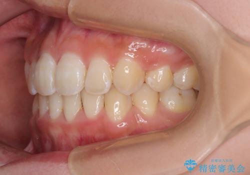
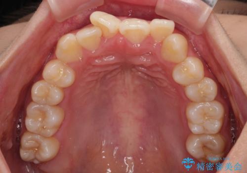
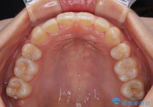
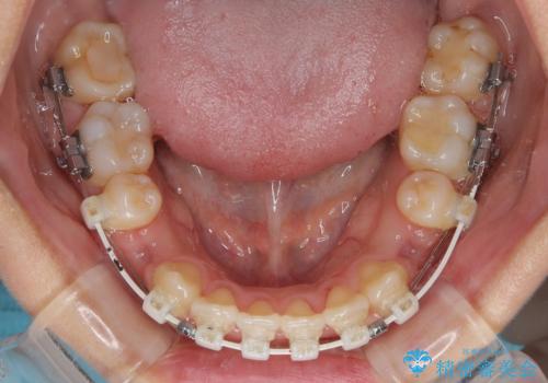
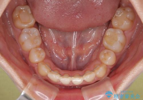
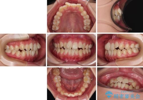
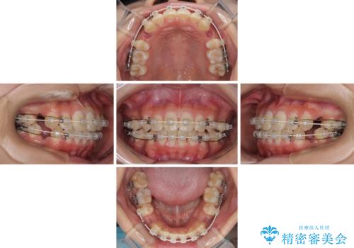
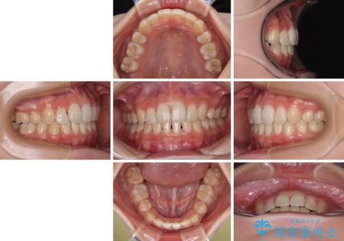
- 前歯のデコボコと唇の閉じにくさを気にして来院された患者様です。
単純に上下左右の第一小臼歯4本を抜歯して口元の突出感を改善することも考えられましたが、上顎骨よりも下顎骨の幅が広いため、より良い咬み合わせを達成することを目的として、急速拡大装置を用いて上顎骨を拡大することとしました。
- 費用(概算)
- 115万円(税込)費用は治療当時の料金となります
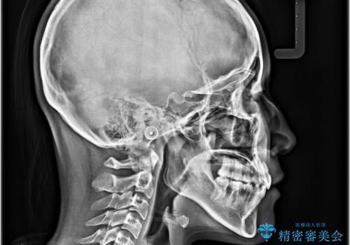
治療について
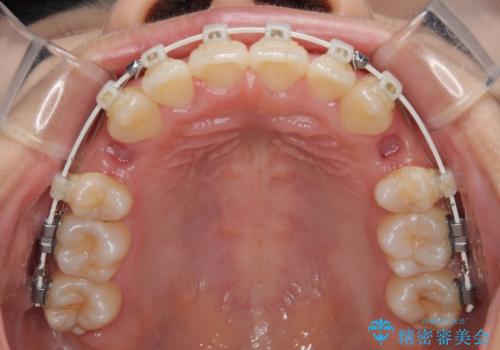
歯列矯正では基本的に骨格を改善することはできませんが、急速拡大装置(MARPE)を使用することで上顎骨を側方に拡大させることができ、咬合状態を大きく改善することができます。
ワイヤー矯正の注意事項(リスク・副作用など)
- 治療中は違和感や痛みが起こることがあります
- 症状により、抜歯が必要な場合があります
- 治療中は歯磨きがしにくくなるため、虫歯や歯周病になりやすくなります
- 矯正治療後の保定が不十分だと後戻り(元の位置に戻ろうとする動き)をします
- 自費診療(保険適用外)となります
当サイトの内容、テキスト、画像等の無断転載、複製、複写、盗用を固く禁じます。



























