症例詳細
Case detail
破折によりクラウンの外れてしまった奥歯 抜歯即時埋入で短期間インプラント治療
治療症例の内容
- 担当医
- 藤巻太一朗(ドクタープロフィール)
- 患者様
- 50代女性
- 治療期間
- 3ヶ月
- 治療回数
- 2-5回
- 治療計画
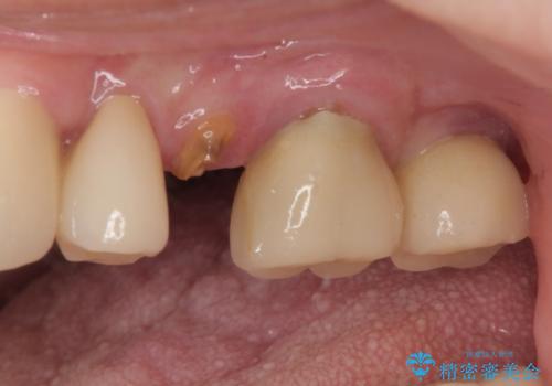
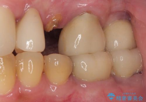
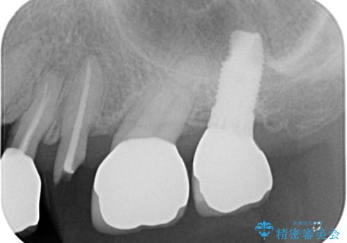
- 奥歯に装着していたクラウンが外れてしまったとのことで来院された患者様です。
診察したところ、歯根に破折線が確認され抜歯が必要な状態でした。
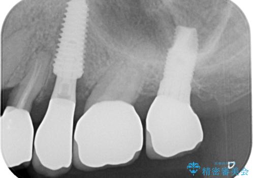
歯肉や歯槽骨の状態は良好であったため、抜歯即時埋入インプラントによる補綴治療を行うこととしました。
- 費用(概算)
- 48万円(税込)費用は治療当時の料金となります
治療について
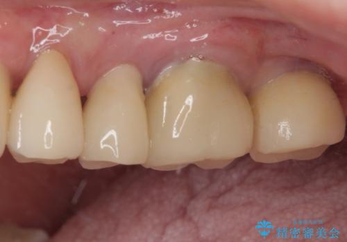
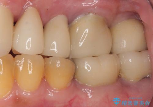
最小の来院回数で短期間で治療を終えることができました。
インプラント治療の注意事項(リスク・副作用など)
- 外科手術のため、術後に痛みや腫れ、違和感を伴います
- メンテナンスを怠ったり喫煙により、お口の中に大きな悪影響を及ぼすインプラント周囲炎等にかかる可能性があります
- 糖尿病、肝硬変、心臓病等の場合、インプラント治療ができない可能性があります
- 高血圧、貧血・不整脈等の場合、インプラント治療後に治癒不全を招く可能性があります
- 自費診療(保険適用外治療)となります
セラミック治療の注意事項(リスク・副作用など)
- 天然歯を削ります
- 硬い素材は天然歯を傷つけてしまう場合があります
- かみ合わせや歯ぎしりが強すぎる方はセラミックが割れてしまう可能性があります
- 自費診療(保険適用外治療)となります
当サイトの内容、テキスト、画像等の無断転載、複製、複写、盗用を固く禁じます。












