症例詳細
Case detail
【モニター】とがった口元を抜歯して改善 ワイヤー装置の矯正治療
治療症例の内容
- 診療科目
- 治療カテゴリ
- 担当医
- 藤巻太一朗(ドクタープロフィール)
- 患者様
- 20代女性
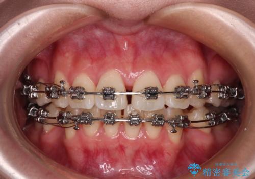
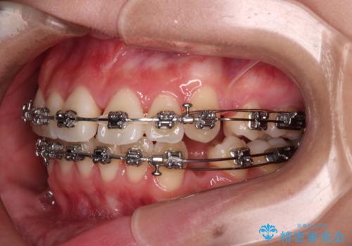
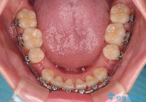
- 矯正装置
- メタルブラケット
- 治療期間
- 1年10ヶ月
- 治療回数
- 10-30回
- 治療計画
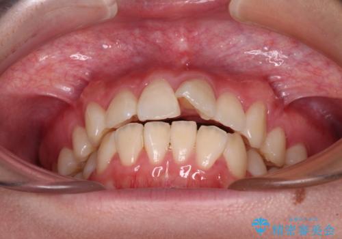
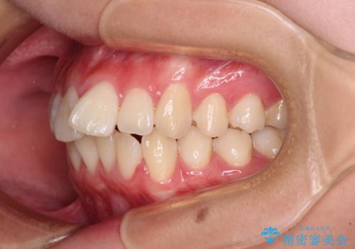
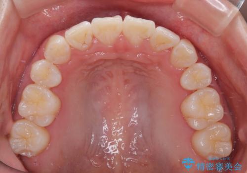
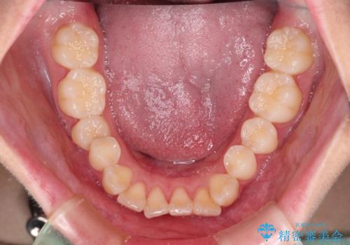
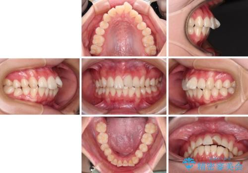
- 前歯がくちばしのように飛び出していることを気にして来院された患者様です。
唇が前方に突出している横顔が気になっているため、上下左右の第一小臼歯4本を抜歯し、ワイヤー装置にて矯正治療を行うこととしました。
- 費用(概算)
- 80万円(税込)費用は治療当時の料金となります
※顔写真掲載にあたり、患者様の了解を得ております
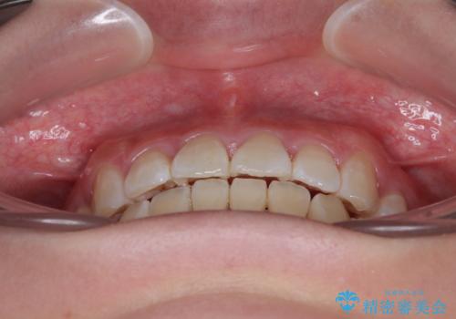
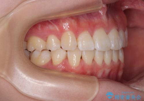
治療について
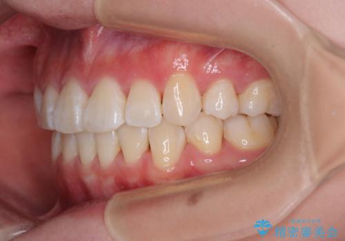
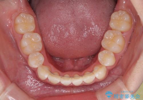
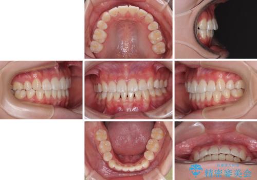
わずか2年弱で一気に口元が変化し、患者様には大変満足していただけました。
ワイヤー矯正の注意事項(リスク・副作用など)
- 治療中は違和感や痛みが起こることがあります
- 症状により、抜歯が必要な場合があります
- 治療中は歯磨きがしにくくなるため、虫歯や歯周病になりやすくなります
- 矯正治療後の保定が不十分だと後戻り(元の位置に戻ろうとする動き)をします
- 自費診療(保険適用外)となります
当サイトの内容、テキスト、画像等の無断転載、複製、複写、盗用を固く禁じます。


























