症例詳細
Case detail
抜歯が必要な歯をインプラントに 短期間インプラント治療
治療症例の内容
- 担当医
- 藤巻太一朗(ドクタープロフィール)
- 患者様
- 50代女性
- 治療期間
- 4ヶ月
- 治療回数
- 2-5回
- 治療計画
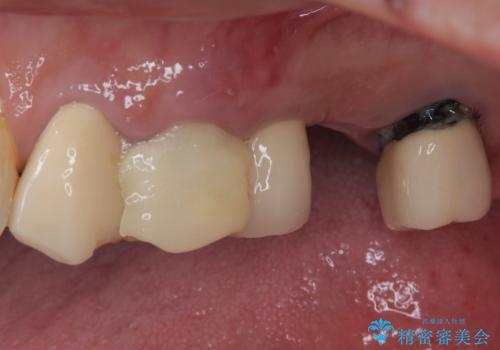
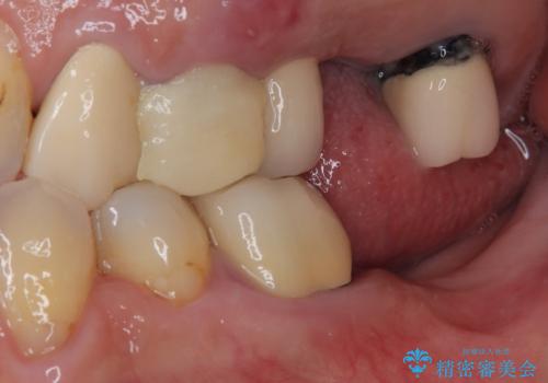
- 抜歯が必要と言われ、インプラント治療を希望して来院された患者様です。
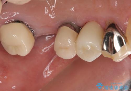
歯がボロボロで抜歯が必要な状態であり、後方にはインプラントが埋入されているため、同様にインプラントによる補綴治療を行うこととしました。
クラウンを装着できないため、プラスチックを歯に流し込んで仮歯のようにしている状態でした。
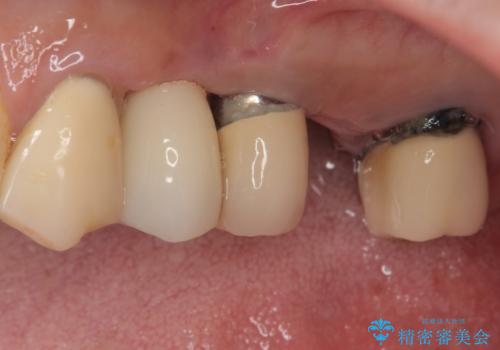
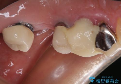
プラスチックを外すと同時に抜歯を行い、1ヶ月ほど待機して歯肉が落ち着いたことを確認してから速やかにインプラントを埋入することとしました。
- 費用(概算)
- 45万円(税込)費用は治療当時の料金となります
治療について
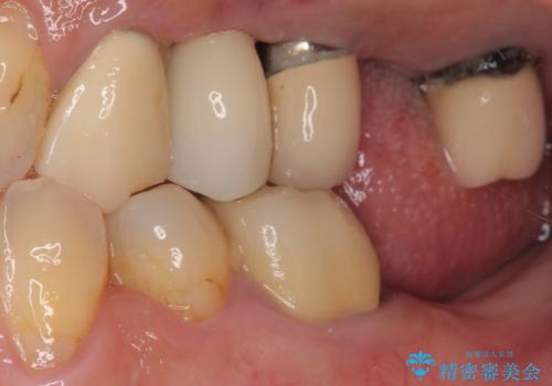
従来は4ヶ月ほど待機してからの埋入が一般的でしたが、歯肉の炎症が落ち着いた時点で速やかに埋入できるようになり、4ヶ月の短期間で治療を終えることができました。
インプラント治療の注意事項(リスク・副作用など)
- 外科手術のため、術後に痛みや腫れ、違和感を伴います
- メンテナンスを怠ったり喫煙により、お口の中に大きな悪影響を及ぼすインプラント周囲炎等にかかる可能性があります
- 糖尿病、肝硬変、心臓病等の場合、インプラント治療ができない可能性があります
- 高血圧、貧血・不整脈等の場合、インプラント治療後に治癒不全を招く可能性があります
- 自費診療(保険適用外治療)となります
セラミック治療の注意事項(リスク・副作用など)
- 天然歯を削ります
- 硬い素材は天然歯を傷つけてしまう場合があります
- かみ合わせや歯ぎしりが強すぎる方はセラミックが割れてしまう可能性があります
- 自費診療(保険適用外治療)となります
当サイトの内容、テキスト、画像等の無断転載、複製、複写、盗用を固く禁じます。















