症例詳細
Case detail
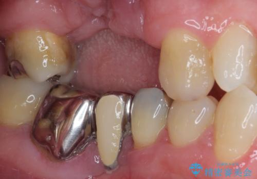
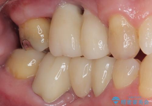
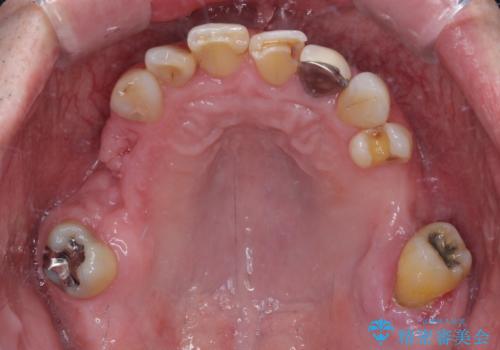
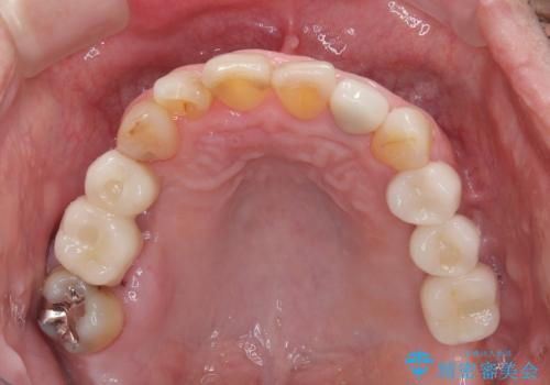
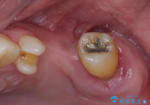
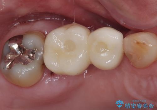
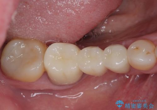
欠損の多い奥歯 インプラントによる補綴治療
治療症例の内容
- 担当医
- 藤巻太一朗(ドクタープロフィール)
- 患者様
- 50代男性
- 治療期間
- 1年8ヶ月
- 治療回数
- 10-30回
- 治療計画
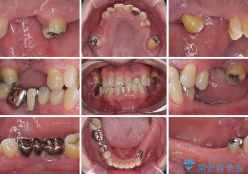
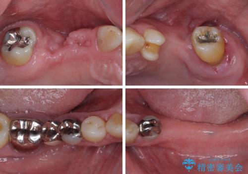
- 地元ではなかなかインプラント治療を行ってくださる医院がないとのことで、転勤で東京にいる期間に治療を行いたいとのことで来院された患者様です。
上顎は左右ともに骨が少ない状態であり、特殊なドリルを用いた歯槽骨の拡大や自家骨挙上などを行いながらインプラントを埋入していくこととしました。
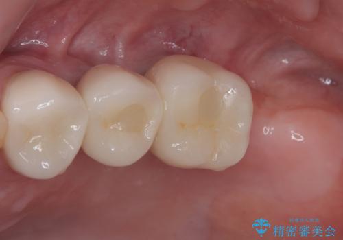
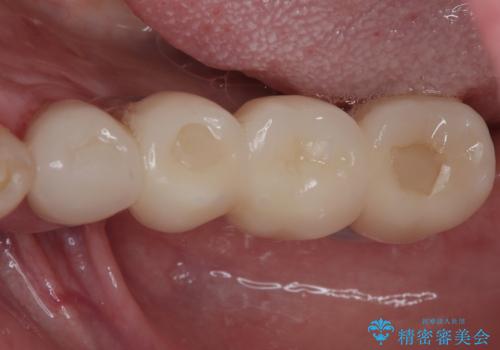
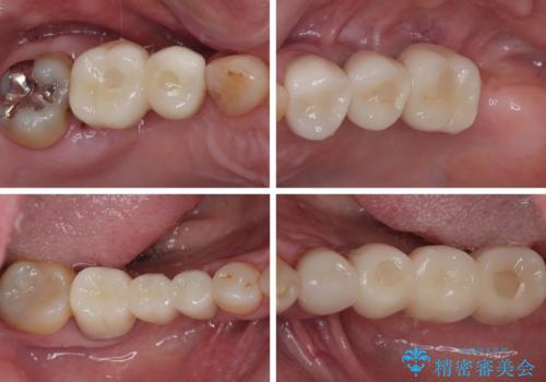
右下の銀歯も気になるとのことで、インプラント治療と並行してオールセラミックによるブリッジ補綴治療も行うこととしました。
- 費用(概算)
- 380万円(税込)費用は治療当時の料金となります
治療について
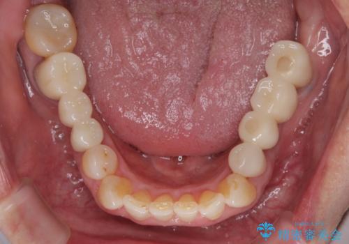
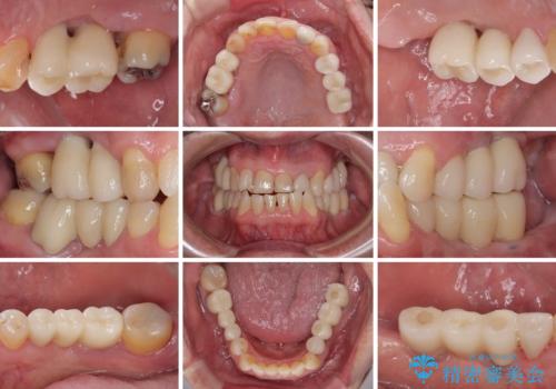
地元に戻られる前に無事に治療を終えることができました。
今後は東京出張のタイミングでメインテナンスに通院していただきながら、インプラントの状態をチェックしていくことになります。
インプラント治療の注意事項(リスク・副作用など)
- 外科手術のため、術後に痛みや腫れ、違和感を伴います
- メンテナンスを怠ったり喫煙により、お口の中に大きな悪影響を及ぼすインプラント周囲炎等にかかる可能性があります
- 糖尿病、肝硬変、心臓病等の場合、インプラント治療ができない可能性があります
- 高血圧、貧血・不整脈等の場合、インプラント治療後に治癒不全を招く可能性があります
- 自費診療(保険適用外治療)となります
セラミック治療の注意事項(リスク・副作用など)
- 天然歯を削ります
- 硬い素材は天然歯を傷つけてしまう場合があります
- かみ合わせや歯ぎしりが強すぎる方はセラミックが割れてしまう可能性があります
- 自費診療(保険適用外治療)となります
当サイトの内容、テキスト、画像等の無断転載、複製、複写、盗用を固く禁じます。





























