症例詳細
Case detail
不自然な色彩の前歯 オールセラミッククラウンで自然な口元に
治療症例の内容
- 診療科目
- 治療カテゴリ
- 担当医
- 藤巻太一朗(ドクタープロフィール)
- 患者様
- 30代女性
- 治療期間
- 1ヶ月
- 治療回数
- 2-5回
- 治療計画
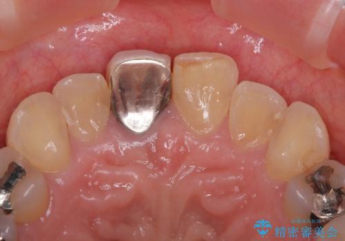
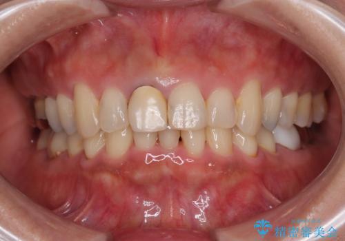
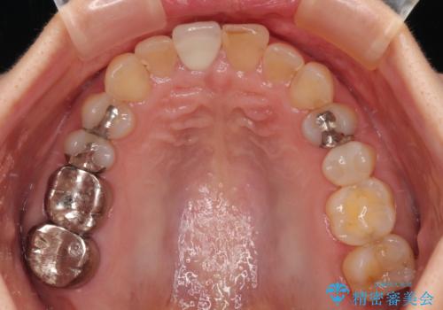
- 保険診療で装着した前歯のクラウンが変色して気になってきたとのことで来院された患者様です。
歯肉退縮による歯肉ラインの黒い縁も気になってきたとのことで、オールセラミッククラウンにて補綴治療を行うこととしました。
- 費用(概算)
- 14万円(税込)費用は治療当時の料金となります
治療について
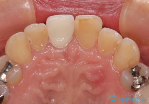
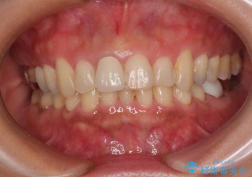
色がやや白いように感じますが、周りの歯をホワイトニングして白くしていくとのことで、明るめの状態での仕上がりとなりました。
セラミック治療の注意事項(リスク・副作用など)
- 天然歯を削ります
- 硬い素材は天然歯を傷つけてしまう場合があります
- かみ合わせや歯ぎしりが強すぎる方はセラミックが割れてしまう可能性があります
- 自費診療(保険適用外治療)となります
当サイトの内容、テキスト、画像等の無断転載、複製、複写、盗用を固く禁じます。












