症例詳細
Case detail
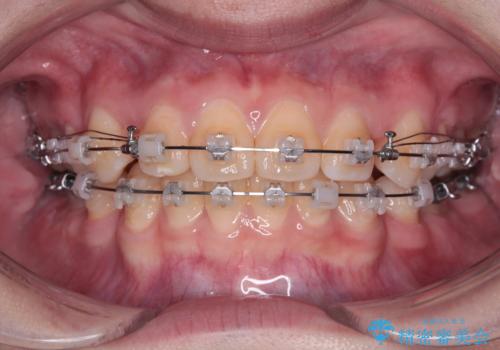
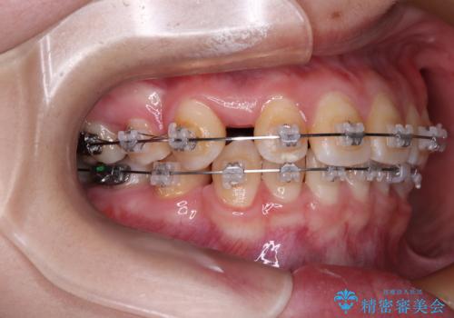
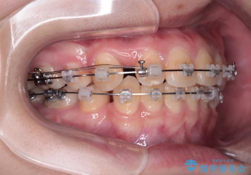
転勤でも安心して治療継続 抜歯スペース閉鎖と深い噛み合わせ改善のワイヤー矯正
治療症例の内容
- 診療科目
- 治療カテゴリ
- 担当医
- 齋藤佑磨(ドクタープロフィール)
- 患者様
- 20代女性
- 矯正装置
- クリアブラケット
- 治療期間
- 1年6ヶ月
- 治療回数
- 10-30回
- 治療計画
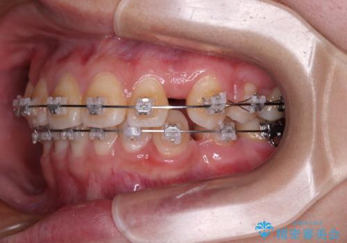
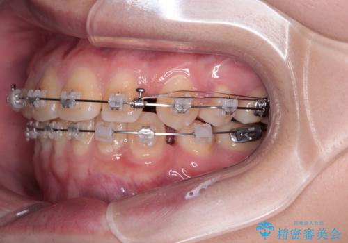
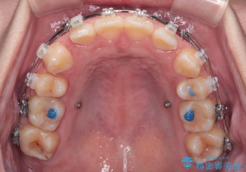
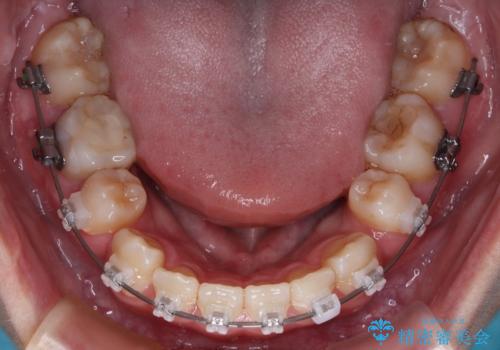
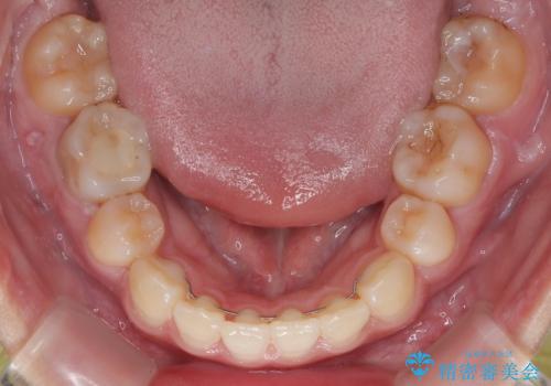
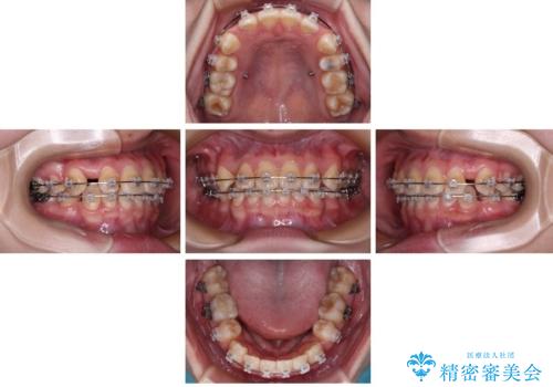
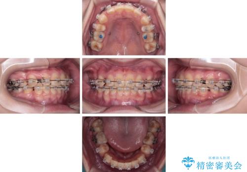
- 転勤により東京へ移られることになり転院先を探されていた患者様です。ワイヤー矯正の途中での急な転勤なうえ、今後2~3年以内に再度転勤になる可能性もあるというご事情でした。
そのため、限られた期間内に効率よく治療を完了するために、「抜歯スペースの確実な閉鎖」「深い噛み合わせ(過蓋咬合)の改善」の2点を主軸とした治療計画を立てました。
- 費用(概算)
- 55万円(税込)費用は治療当時の料金となります
治療について
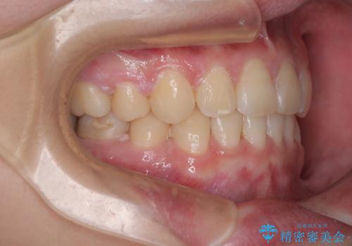
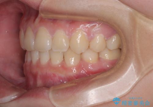
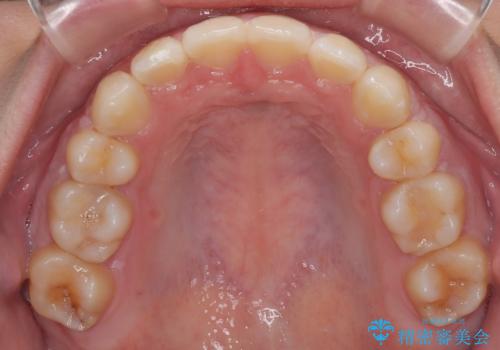
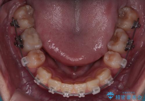
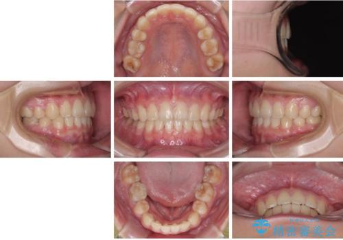
結果的に1年半で、再度転勤になる前に治療を終えることができました。
ワイヤー矯正の注意事項(リスク・副作用など)
- 治療中は違和感や痛みが起こることがあります
- 症状により、抜歯が必要な場合があります
- 治療中は歯磨きがしにくくなるため、虫歯や歯周病になりやすくなります
- 矯正治療後の保定が不十分だと後戻り(元の位置に戻ろうとする動き)をします
- 自費診療(保険適用外)となります
当サイトの内容、テキスト、画像等の無断転載、複製、複写、盗用を固く禁じます。






















