症例詳細
Case detail
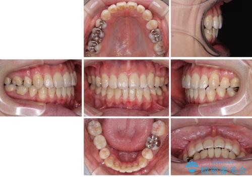
口元の突出感を改善!目立ちにくいワイヤー矯正で自信を持てる自然な横顔に
治療症例の内容
- 担当医
- 齋藤佑磨(ドクタープロフィール)
- 患者様
- 20代男性
- 矯正装置
- 審美装置
- 治療期間
- 1年11ヶ月
- 治療回数
- 10-30回
- 治療計画
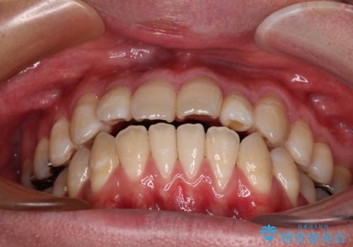
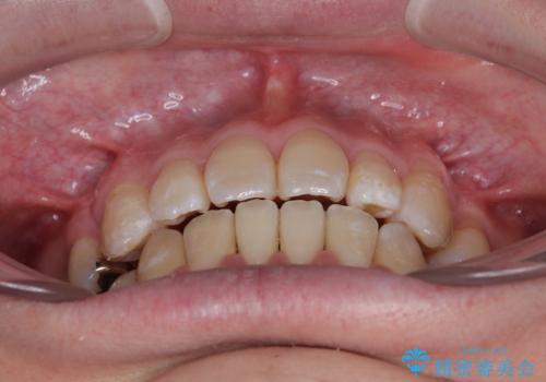
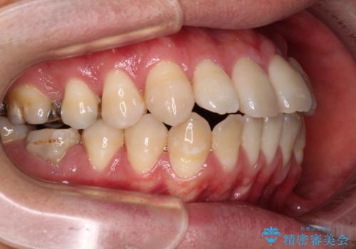
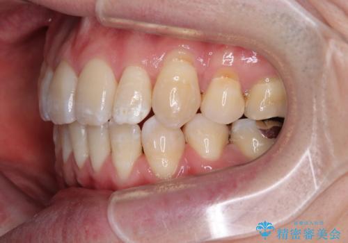
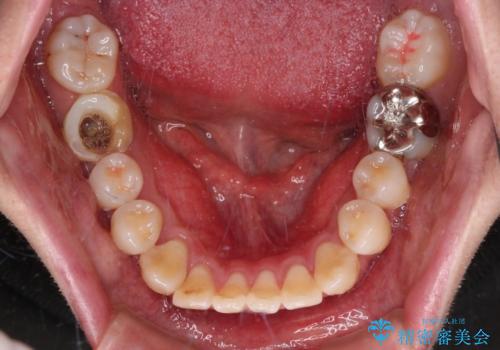
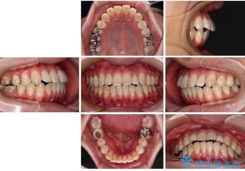
- 「横から見ると唇が前に出て見えるのが気になる…」
「マスクを外すのが恥ずかしい…」
そんな口元の突出感に悩まれてご来院された患者様。
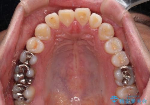
精密検査の結果、上下左右の小臼歯4本を抜歯し、そのスペースに前歯を後方へ移動させる矯正治療をご提案しました。
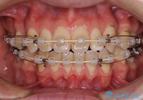
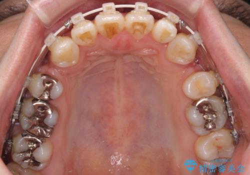
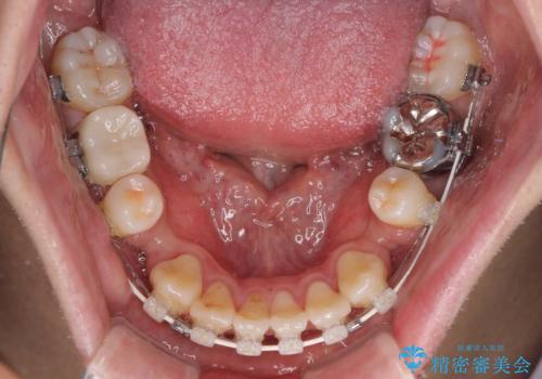
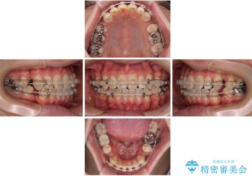
装置は、透明感のあるクリアブラケットとホワイトコーティングされたワイヤーを使用した、目立ちにくい審美装置を選択。
周囲に気づかれにくく、日常生活にも自然に溶け込みます。
- 費用(概算)
- 105万円(税込)費用は治療当時の料金となります
治療について
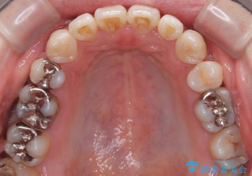
治療期間は約2年。
少しずつ前歯を後ろに下げていくことで、横顔のラインが整い、口元の“出っ張り感”が解消。
治療後には「自然に笑えるようになった」と嬉しいお声をいただきました。
ワイヤー矯正の注意事項(リスク・副作用など)
- 治療中は違和感や痛みが起こることがあります
- 症状により、抜歯が必要な場合があります
- 治療中は歯磨きがしにくくなるため、虫歯や歯周病になりやすくなります
- 矯正治療後の保定が不十分だと後戻り(元の位置に戻ろうとする動き)をします
- 自費診療(保険適用外)となります
当サイトの内容、テキスト、画像等の無断転載、複製、複写、盗用を固く禁じます。




























