症例詳細
Case detail
虫歯治療後、精度の良いゴールドアンレーへ
治療症例の内容
- 診療科目
- 治療カテゴリ
- 担当医
- 岡田康成(ドクタープロフィール)
- 患者様
- 20代女性
- 治療期間
- 1ヶ月
- 治療回数
- 2-5回
- 治療計画
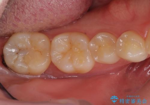
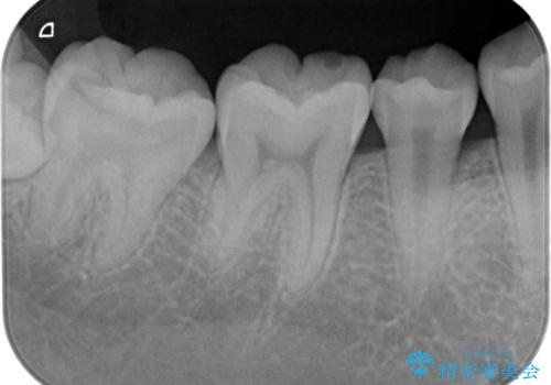
- 検査の結果虫歯が見つかった患者様です。
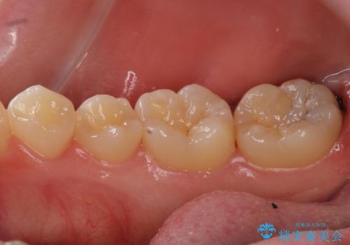
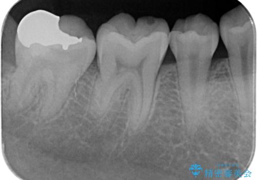
親知らずを抜歯してから虫歯を除去した後、ゴールドの詰め物で修復します。
- 費用(概算)
- 110,000円(税込み)費用は治療当時の料金となります
治療について
比較的大きな虫歯でしたがゴールドでの修復にすることで歯の削る量を抑え、精度の高い治療を行うことができました。
親知らずの問題も同時に解決することで今後の虫歯リスクを抑えています。
PGA(ゴールド)クラウン、インレーの注意事項(リスク・副作用など)
- インレーおよびクラウンは脱離するリスクがあります
- 形成量はセラミックより少ないですが、歯の形成、修復後に歯に症状が出ることがあります
- 自費診療(保険適用外治療)となります
当サイトの内容、テキスト、画像等の無断転載、複製、複写、盗用を固く禁じます。







