昔いれたクラウンが割れたので金属の被せ物を入れたいの症例写真

症例詳細

Case detail

昔いれたクラウンが割れたので金属の被せ物を入れたい

  1. 開始前
  2. 治療途中
  3. 終了時
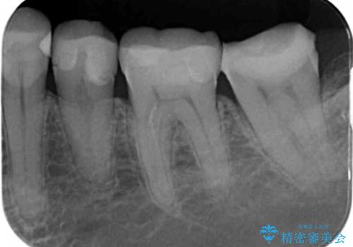
  1. 昔いれたクラウンが割れたので金属の被せ物を入れたいの治療前
  2. 昔いれたクラウンが割れたので金属の被せ物を入れたいの治療中
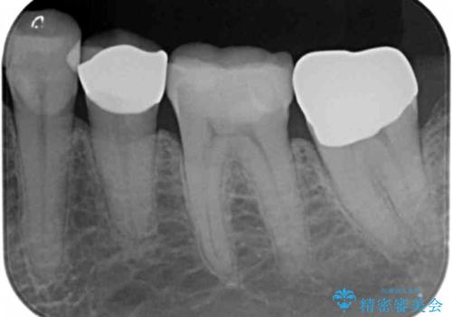
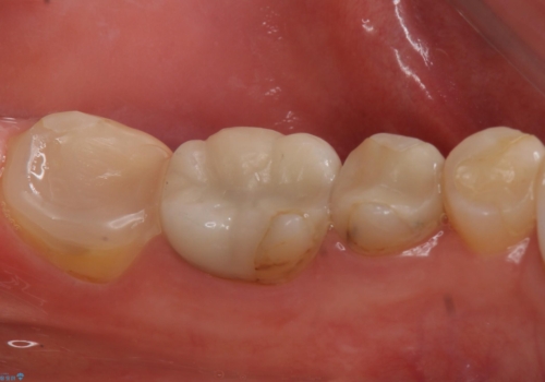
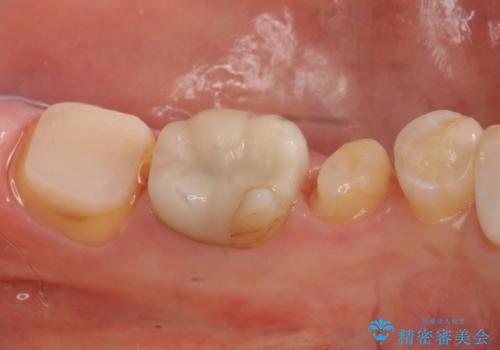
  3. 昔いれたクラウンが割れたので金属の被せ物を入れたいの治療後
  1. 昔いれたクラウンが割れたので金属の被せ物を入れたいの治療前
  2. 昔いれたクラウンが割れたので金属の被せ物を入れたいの治療中
  3. 昔いれたクラウンが割れたので金属の被せ物を入れたいの治療後
  1. 昔いれたクラウンが割れたので金属の被せ物を入れたいの治療前
  2. 昔いれたクラウンが割れたので金属の被せ物を入れたいの治療中
  3. 昔いれたクラウンが割れたので金属の被せ物を入れたいの治療後
  1. 昔いれたクラウンが割れたので金属の被せ物を入れたいの治療前
  2.  
  3. 昔いれたクラウンが割れたので金属の被せ物を入れたいの治療後

この治療をした歯科医師の関連症例

24時間受付
無料相談予約

お電話での無料相談のご予約

平日 11:00-20:00 / 土日 10:00-18:00
閉じる