症例詳細
Case detail
目立つ銀歯を白く自然な歯に改善
治療症例の内容
- 診療科目
- 治療カテゴリ
- 担当医
- 河口智英(ドクタープロフィール)
- 患者様
- 30代女性
- 治療期間
- 1ヶ月
- 治療回数
- 5-10回
- 治療計画
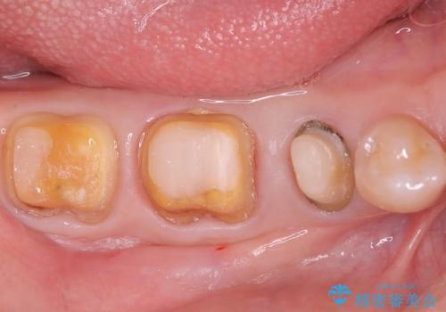
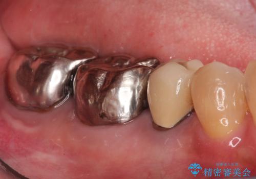
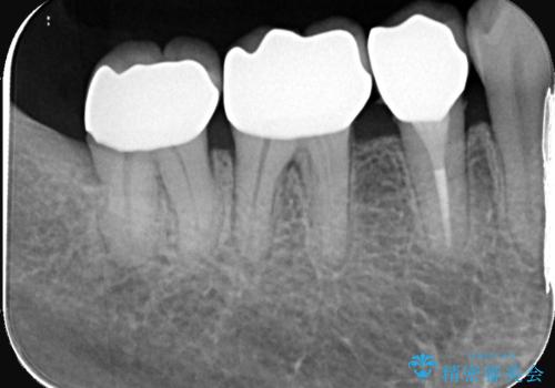
- 「銀歯が目立つのがずっと気になっていた」とのご相談で来院されました。左下の奥歯(5・6・7番)には保険治療で入れた銀色の被せ物が入っており、笑ったときや口を開けた際に見えるのが気になるとのことでした。
歯ぐきの状態やかみ合わせを確認したところ、被せ物の適合に大きな問題はなかったものの、審美的な観点から、白く自然な見た目のセラミッククラウンにやりかえることで、より快適に過ごしていただけると判断しました。セラミックは金属を使わないため、見た目が自然で、金属アレルギーの心配もない素材です。長期的な予後の安定も見込めるため、審美と機能を両立した治療計画をご提案しました。
- 費用(概算)
- 36万円費用は治療当時の料金となります
治療について
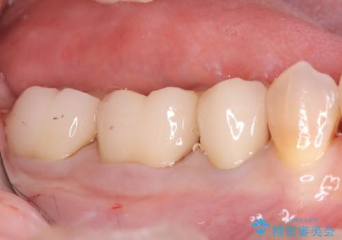
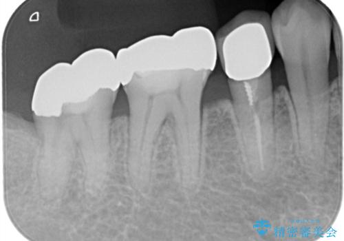
まずは銀歯を慎重に取り外し、歯の状態を確認しました。虫歯や劣化した部分は丁寧に除去し、必要に応じて土台を整えたうえで、セラミッククラウンを作製する準備を行いました。色や形は周囲の歯になじむように細かく調整し、自然な透明感やツヤを再現しました。
最終的には、左下5・6・7番の3本すべてをセラミッククラウンに置き換え。白くなったことで口元の印象が明るくなり、見た目だけでなく、かみ合わせも良好に仕上がりました。
患者さんからは「ずっと気になっていた銀歯がなくなって、笑うときに気を使わなくてよくなった」とご満足の声をいただきました。定期的なメンテナンスを継続しながら、長期的な機能の維持を図っていきます。
セラミック治療の注意事項(リスク・副作用など)
- 天然歯を削ります
- 硬い素材は天然歯を傷つけてしまう場合があります
- かみ合わせや歯ぎしりが強すぎる方はセラミックが割れてしまう可能性があります
- 自費診療(保険適用外治療)となります
当サイトの内容、テキスト、画像等の無断転載、複製、複写、盗用を固く禁じます。







