症例詳細
Case detail
虫歯と古い被せ物をきれいに修復
治療症例の内容
- 診療科目
- 治療カテゴリ
- 担当医
- 河口智英(ドクタープロフィール)
- 患者様
- 30代女性
- 治療期間
- 治療回数
- 2-5回
- 治療計画
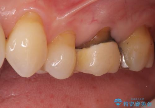
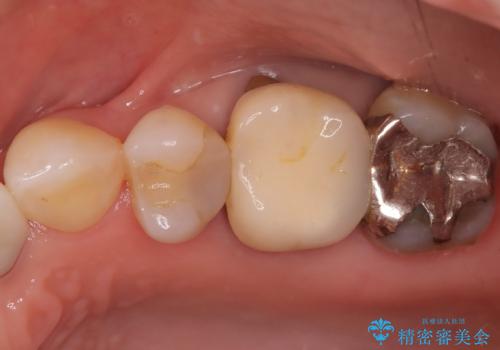
- 「以前治療した被せ物の色が気になる」「最近しみるようになった」との主訴で来院されました。診察の結果、古い被せ物の周囲に段差ができており、そこから虫歯が進行している状態でした。また、色も経年劣化により周囲の歯と調和が取れておらず、笑ったときに目立つとのお悩みもありました。
被せ物の下の虫歯を除去し、必要に応じて土台の補強を行ったうえで、見た目が自然で長期的な安定性もあるセラミッククラウンによる修復をご提案しました。見た目と機能の両方を改善するため、隣接する歯との色調や形態のバランスも考慮した治療計画を立てました。
- 費用(概算)
- 30万円費用は治療当時の料金となります
治療について
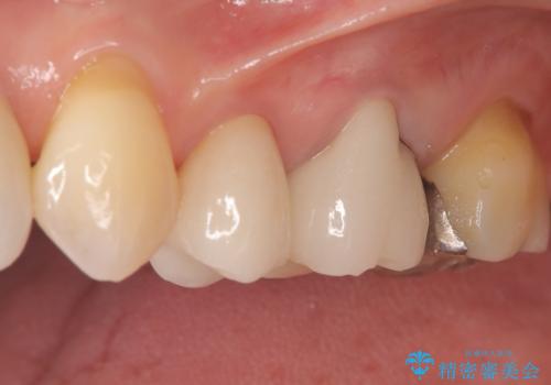
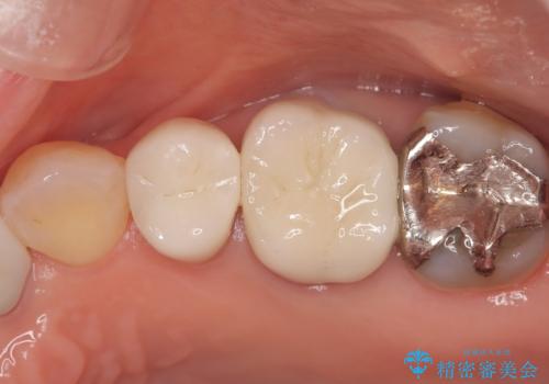
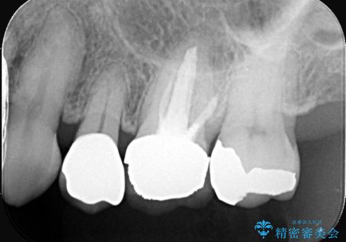
まず古い被せ物を慎重に取り除き、中に広がっていた虫歯を丁寧に除去しました。歯質の状態を確認したうえで、必要な部分には土台(コア)を補強し、セラミッククラウンを装着する準備を整えました。
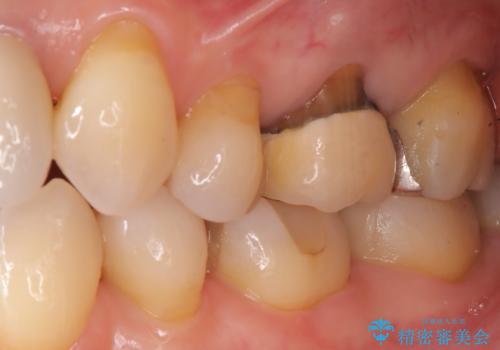
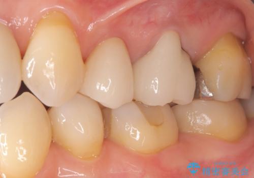
最終的な被せ物には、周囲の歯と自然になじむような色合い・透明感を持つセラミックを採用。形も元の歯に近づけ、違和感のない見た目と噛み心地を再現しました。
治療後には「見た目がきれいになって自信を持って笑えるようになった」「しみる症状もなくなり快適」とのお声をいただきました。虫歯治療はもちろん、古い被せ物による見た目の悩みも解決できる症例となりました。
セラミック治療の注意事項(リスク・副作用など)
- 天然歯を削ります
- 硬い素材は天然歯を傷つけてしまう場合があります
- かみ合わせや歯ぎしりが強すぎる方はセラミックが割れてしまう可能性があります
- 自費診療(保険適用外治療)となります
当サイトの内容、テキスト、画像等の無断転載、複製、複写、盗用を固く禁じます。









