症例詳細
Case detail
割れた奥歯をセラミックで修復
治療症例の内容
- 診療科目
- 治療カテゴリ
- 担当医
- 河口智英(ドクタープロフィール)
- 患者様
- 40代女性
- 治療期間
- 3ヶ月
- 治療回数
- 2-5回
- 治療計画
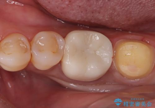
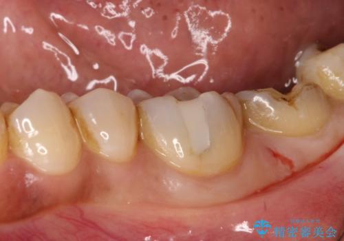
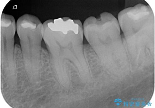
- 左下の奥歯の詰め物が取れたとのことで来院されました。診察したところ、左下6番には噛む力による複数のヒビ(クラック)が確認され、歯の寿命を考えると将来的な破折のリスクがある状態でした。
噛む力が強い方に多く見られる症状であり、これ以上の破折を防ぐためには補綴による補強が必要と判断しました。治療計画としては、左下6・7番ともに全体を覆うセラミッククラウンで補強し、咬合力に耐えられる状態に回復させる方針を立てました。また、清掃がしづらく炎症の原因にもなっていた親知らずについても、全体の予後を考えて抜歯することとしました。
- 費用(概算)
- 24万円費用は治療当時の料金となります
治療について
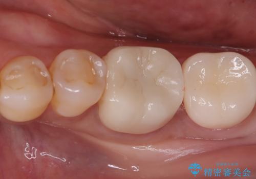
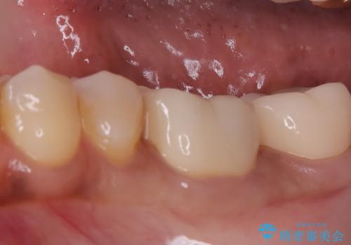
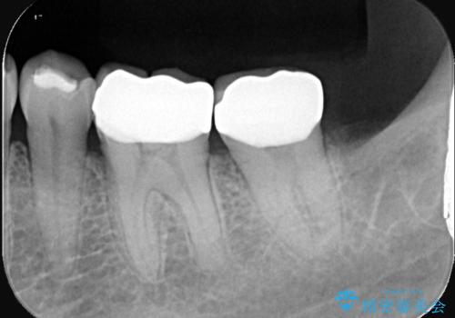
まず左下6番のヒビや弱くなった部分を除去し、セラミッククラウンが適切に装着できる形に整えました。隣接する7番についても同様に支台形成を行い、両方の歯を連続して補強する形としました。クラウンは、見た目の自然さと耐久性を兼ね備えたセラミックを選択し、咬合圧に配慮したデザインと高さ調整を丁寧に行いました。
また、ブラッシング時に不快感があった左下の親知らずは、炎症や清掃障害の原因になることから、治療前に抜歯しました。クラウン装着後は、違和感や痛みもなく、噛むときの安定感が向上。患者さんからは「しっかり噛めるようになって安心した」とご感想をいただきました。今後は定期的なメンテナンスで状態を保っていきます。
セラミック治療の注意事項(リスク・副作用など)
- 天然歯を削ります
- 硬い素材は天然歯を傷つけてしまう場合があります
- かみ合わせや歯ぎしりが強すぎる方はセラミックが割れてしまう可能性があります
- 自費診療(保険適用外治療)となります
当サイトの内容、テキスト、画像等の無断転載、複製、複写、盗用を固く禁じます。







