症例詳細
Case detail
口元と八重歯を整えたワイヤー矯正
治療症例の内容
- 担当医
- 河口智英(ドクタープロフィール)
- 患者様
- 30代女性
- 治療期間
- 治療回数
- 2-5回
- 治療計画
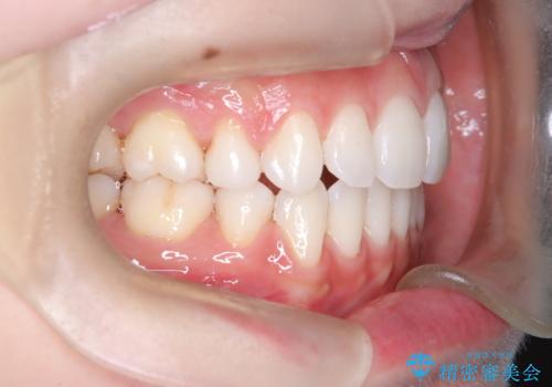
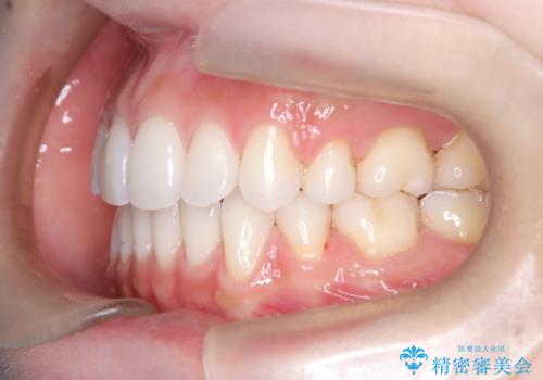
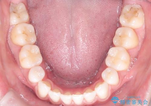
- 患者さんは「口元を引っ込めたい」「八重歯をきれいにしたい」とのご希望で来院されました。診察の結果、上下の前歯が前方に傾斜し、口元がやや突出して見える状態でした。加えて、上顎には八重歯があり、歯列のスペース不足も確認されました。
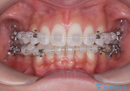
歯並びと横顔のバランスを整えるためには、前歯を後方に移動させるスペースの確保が必要です。そのため、上下左右の第一小臼歯(合計4本)を抜歯し、ワイヤー矯正で前歯の突出感と叢生(がたつき)を同時に改善する治療計画を立てました。歯を抜くことに抵抗がある方も多いですが、口元の印象を変えるためには非常に効果的な方法です。
- 費用(概算)
- 80万円費用は治療当時の料金となります
治療について
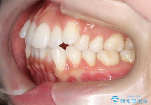
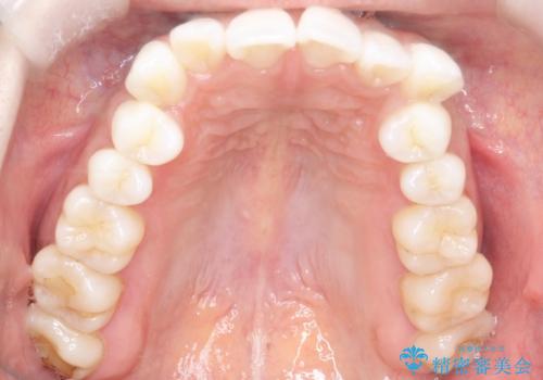
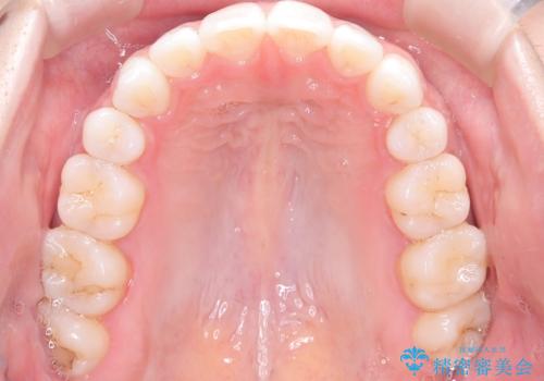
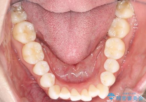
上下左右の小臼歯を抜歯後、ワイヤー矯正装置を装着し、全体のバランスを見ながら歯を移動させていきました。特に前歯の後方移動では、抜歯スペースを活かして口元を内側に下げることに重点を置きました。また、八重歯も時間をかけて丁寧に整列させ、左右の正中(真ん中の位置)もぴったりと揃えることができました。
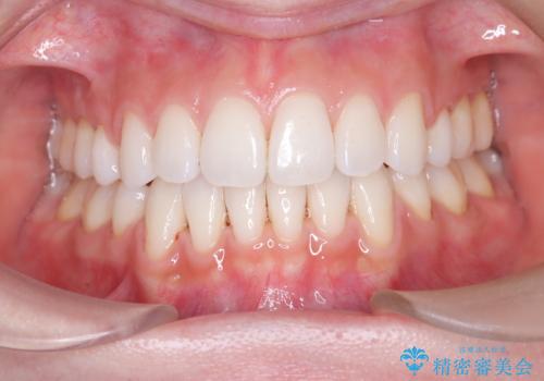
治療期間は約2年で、歯並びだけでなく横顔の印象も大きく改善されました。治療後には「口元がすっきりして笑顔に自信が持てるようになった」とのお声をいただきました。現在は後戻りを防ぐため、保定装置(リテーナー)を使用しながら経過観察中です。ワイヤー矯正は審美性と機能性を両立できる有効な選択肢の一つです。
ワイヤー矯正の注意事項(リスク・副作用など)
- 治療中は違和感や痛みが起こることがあります
- 症状により、抜歯が必要な場合があります
- 治療中は歯磨きがしにくくなるため、虫歯や歯周病になりやすくなります
- 矯正治療後の保定が不十分だと後戻り(元の位置に戻ろうとする動き)をします
- 自費診療(保険適用外)となります
当サイトの内容、テキスト、画像等の無断転載、複製、複写、盗用を固く禁じます。















