症例詳細
Case detail
古い被せ物の中のむし歯を治療
治療症例の内容
- 診療科目
- 治療カテゴリ
- 担当医
- 河口智英(ドクタープロフィール)
- 患者様
- 40代女性
- 治療期間
- 2ヶ月
- 治療回数
- 5-10回
- 治療計画
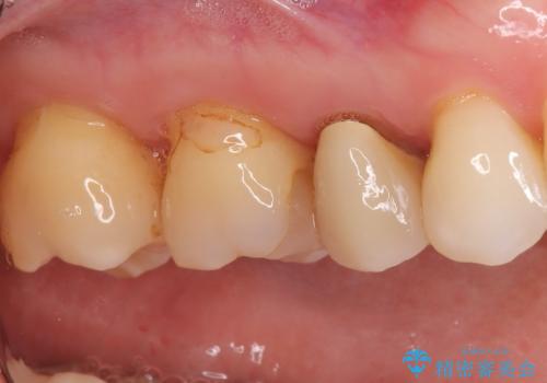
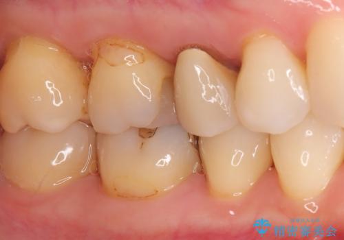
- 右上の奥歯(5番・6番)の被せ物の適合が悪く、歯ぐきが腫れやすい状態でした。患者さんご自身も「物がつまりやすい」「違和感がある」との訴えがあり、レントゲンと視診を行ったところ、被せ物の下にむし歯が進行していることが判明しました。特に右上5番は、神経の治療(根管治療)が過去に行われていましたが、根の先に炎症が残っており、治療のやり直しが必要と判断しました。
治療計画としては、まず古い被せ物を外し、虫歯の除去と右上5番の再根管治療を行った後、精密な形でセラミッククラウンを装着する方針としました。右上6番についても虫歯を除去し、必要な支台処置を行ったうえで同様にセラミッククラウンによる補綴を提案しました。
- 費用(概算)
- 40万円費用は治療当時の料金となります
治療について
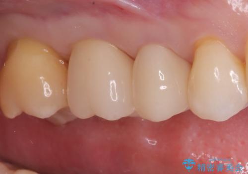
まずは両歯の古い被せ物を慎重に除去し、中のむし歯を確認しました。右上5番は神経の治療のやり直し(再根管治療)を行い、細菌感染を取り除いたうえで、根の中を密に封鎖しました。治療中は仮歯を入れて審美性と機能性を保ちつつ、歯ぐきの状態も改善していきました。
虫歯治療後は、形やかみ合わせを細かく調整しながら、セラミッククラウンを作製・装着しました。金属を使わないセラミックは見た目が自然なだけでなく、適合性も高いため、再びむし歯になるリスクを抑えることができます。
治療後は、見た目の改善だけでなく、咬み心地や違和感の改善にもつながり、患者さんからは「しっかり噛めるようになって安心した」との声をいただきました。
セラミック治療の注意事項(リスク・副作用など)
- 天然歯を削ります
- 硬い素材は天然歯を傷つけてしまう場合があります
- かみ合わせや歯ぎしりが強すぎる方はセラミックが割れてしまう可能性があります
- 自費診療(保険適用外治療)となります
当サイトの内容、テキスト、画像等の無断転載、複製、複写、盗用を固く禁じます。









