症例詳細
Case detail
八重歯と口元のバランスを整えた矯正治療
治療症例の内容
- 担当医
- 河口智英(ドクタープロフィール)
- 患者様
- 30代女性
- 矯正装置
- 審美ワイヤー
- 治療期間
- 2年
- 治療回数
- 10-30回
- 治療計画
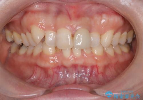
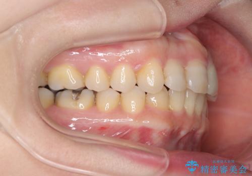
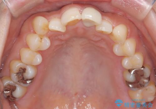
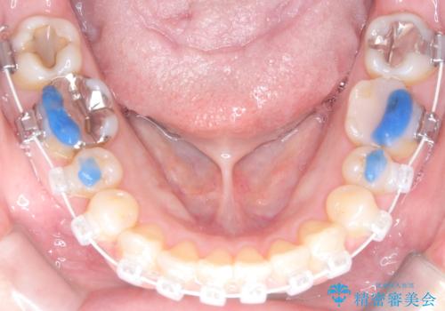
- 「八重歯をきれいにしたい」とのご希望で来院されました。診察の結果、上顎犬歯の萌出スペースが不足しており、典型的な八重歯(叢生)の状態でした。上下の歯の中心(正中)のずれや、奥歯のかみ合わせ(臼歯関係)のアンバランスも見られたため、単に見た目を整えるだけでなく、全体的な機能改善も必要と診断しました。
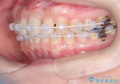
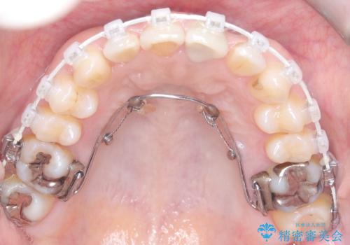
スペースを確保するために抜歯を行う選択肢もありましたが、歯列の幅や骨格とのバランスから判断し、上顎の奥歯を後方に移動させることでスペースを作る方針を立てました。そのため、まずリンガルアーチ(内側に装着する固定式装置)を用いて奥歯を遠心移動させ、その後ワイヤー矯正で歯列全体を整える治療計画を立案しました。
- 費用(概算)
- 85万円費用は治療当時の料金となります
治療について
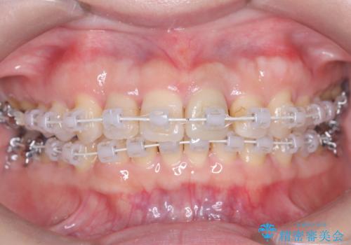
初期段階では、リンガルアーチを上顎に装着し、奥歯を少しずつ後方へ移動させていきました。これにより前歯部の歯列に十分なスペースを確保。その後、マルチブラケット(ワイヤー矯正)を用いて、突出した八重歯を正しい位置に誘導しながら、歯並び全体を整えていきました。
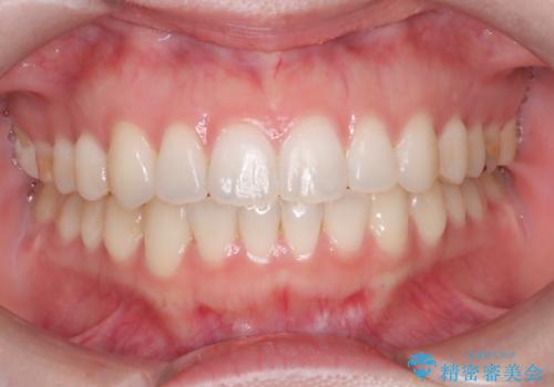
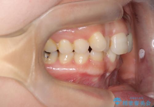
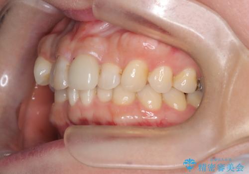
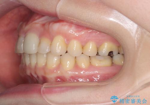
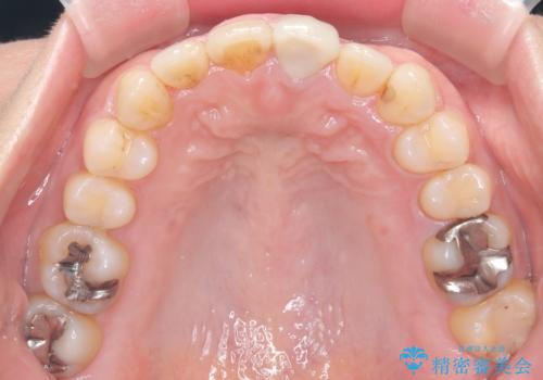
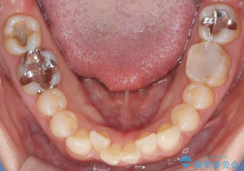
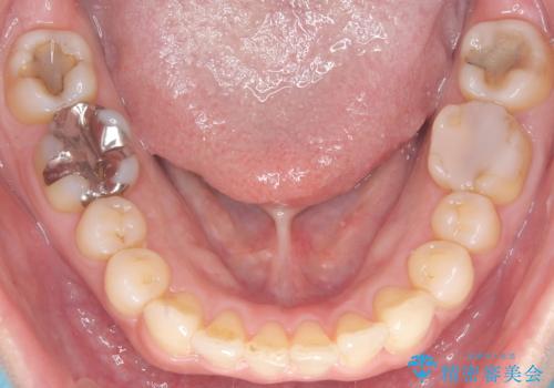
治療中は咬合バランスや歯列の中心(正中)の位置にも注意を払い、最終的には上下の正中が一致し、左右の臼歯関係も理想的な形に改善されました。見た目の変化はもちろん、かみ合わせの安定や清掃のしやすさも向上。
患者さんからは「笑ったときの印象が大きく変わって嬉しい」「しっかり噛めるようになった」との感想をいただきました。現在は保定装置で後戻りを防ぎながら、良好な状態を維持しています。
ワイヤー矯正の注意事項(リスク・副作用など)
- 治療中は違和感や痛みが起こることがあります
- 症状により、抜歯が必要な場合があります
- 治療中は歯磨きがしにくくなるため、虫歯や歯周病になりやすくなります
- 矯正治療後の保定が不十分だと後戻り(元の位置に戻ろうとする動き)をします
- 自費診療(保険適用外)となります
当サイトの内容、テキスト、画像等の無断転載、複製、複写、盗用を固く禁じます。















