症例詳細
Case detail
30代女性 前歯の色を変えたい
治療症例の内容
- 患者様
- 30代女性
- 治療期間
- 6ヶ月
- 治療回数
- 2-5回
- 治療計画
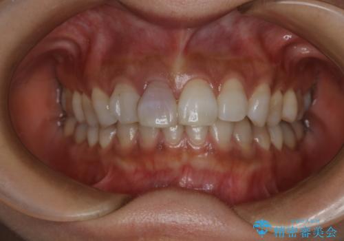
- 前歯の変色を気にされて来院された患者様です。
根管治療された歯が経年変色していたため、再根管治療(リトリートメント)を行い、オールセラミックを入れることにしました。
- 費用(概算)
- エクセレントオールセラミック: ¥180,000、リトリートメント:¥100,000費用は治療当時の料金となります
治療について
前歯の変色を気にされて来院された患者様です。
根管治療(根の治療)をしたことのある歯は経年的に変色するため周りの歯に比べて暗くなっていきます。
このような歯に対し白くする方法(審美歯科)は2つあり、
1つ目がオールセラミッククラウン(被せ物)で
2つ目が歯の漂白(ブリーチ、ホワイトニング)です。
ブリーチやホワイトニングは歯を削らずに白くすることができる方法ですが、もともと失われている歯質が多いと白くする範囲が限られ、また歯質が少ないとその歯の強度も弱くなっているためブリーチに向きません。
オールセラミックは歯質の少なくなった歯に対し強度をあげることができ、白くすることもできるために一石二鳥の治療法と言えます。
こちらの患者様は1本のみの前歯のセラミック治療のため周囲の歯の色と合わせる必要があり、技工士さんの立会いのもとに制作できるエクセレントオールセラミックを選択されました。
技工士さんと直接お話しすることで、より精密に、周囲の歯の色と調和した被せ物を作ることができたため、満足できる治療となったのではないでしょうか。
セラミック治療の注意事項(リスク・副作用など)
- 天然歯を削ります
- 硬い素材は天然歯を傷つけてしまう場合があります
- かみ合わせや歯ぎしりが強すぎる方はセラミックが割れてしまう可能性があります
- 自費診療(保険適用外治療)となります
根管治療の注意事項(リスク・副作用など)
- 根管治療により類似の全ての症例の問題が解決するわけではなく、症例はあくまでも一例です
- 根管治療により痛みや腫れがひかない事や、術後に痛みや腫れが生じる事、治療によるファイル破折やパーフォレーションなどの偶発症、術後の歯根破折を生じる可能性もあります
- 自費診療(保険適用外)となります
当サイトの内容、テキスト、画像等の無断転載、複製、複写、盗用を固く禁じます。









