症例詳細
Case detail
抜歯せずに八重歯を解消!アンカースクリューで実現した奥歯の移動
治療症例の内容
- 担当医
- 河口智英(ドクタープロフィール)
- 患者様
- 20代女性
- 治療期間
- 1年6ヶ月
- 治療回数
- 10-30回
- 治療計画
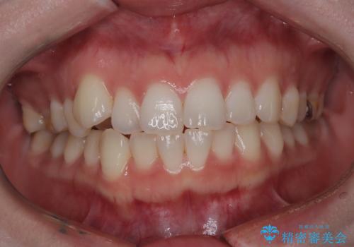
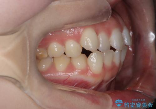
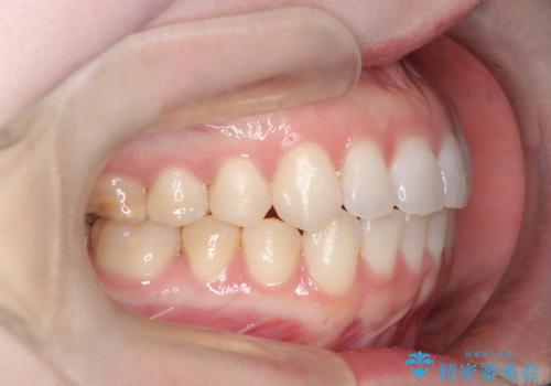
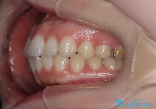
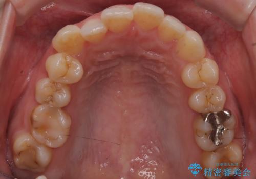
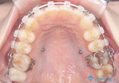
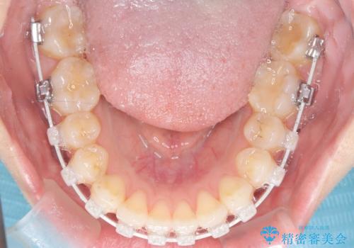
- 右上の八重歯と歯並びのデコボコを気にされて来院されました。精密な検査の結果、歯列のスペースがわずかに不足していることが判明。患者様の「抜歯を避けたい」というご希望を最大限に尊重し、アンカースクリュー(TAD)を用いて奥歯(臼歯部)全体を後方へ移動させることで、八重歯が並ぶスペースを確保する治療計画を立案しました。装置にはワイヤー矯正を使用し、確実で効率的な歯の移動を目指します。
- 費用(概算)
- 90万円費用は治療当時の料金となります
治療について
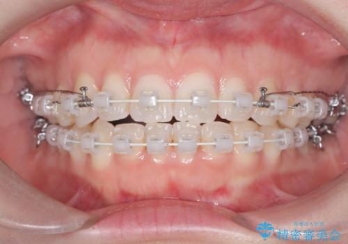
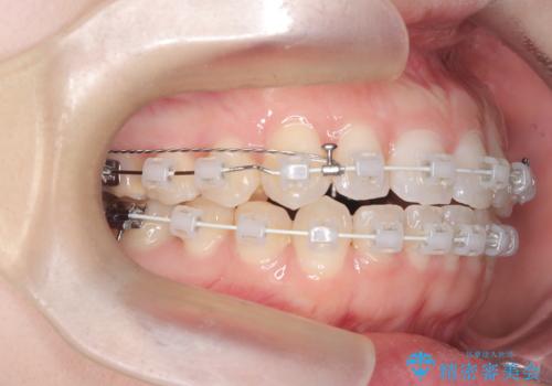
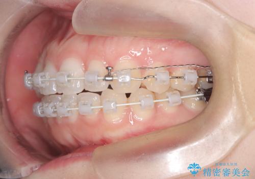
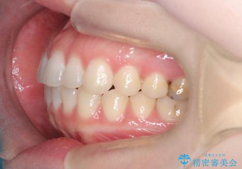
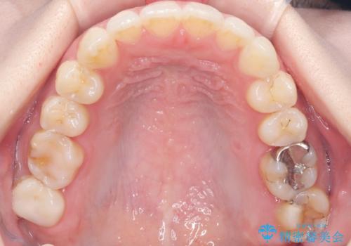
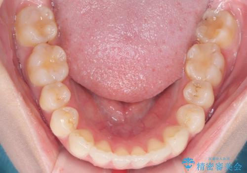
今回のワイヤー矯正治療では、抜歯せずに歯を並べるスペースを作るため、特殊な小さなインプラントであるアンカースクリュー(TAD)を一時的に使用しました。このアンカースクリューを固定源として、奥歯(臼歯部)全体を後方へ遠心移動させました。従来の矯正では難しかったこの奥歯の移動を確実に行うことで、前歯の八重歯を適切な位置に並べるスペースを確保。治療の結果、抜歯することなく右上の八重歯と叢生が解消され、機能的にも審美的にも整った美しい歯並びを獲得していただけました。
ワイヤー矯正の注意事項(リスク・副作用など)
- 治療中は違和感や痛みが起こることがあります
- 症状により、抜歯が必要な場合があります
- 治療中は歯磨きがしにくくなるため、虫歯や歯周病になりやすくなります
- 矯正治療後の保定が不十分だと後戻り(元の位置に戻ろうとする動き)をします
- 自費診療(保険適用外)となります
当サイトの内容、テキスト、画像等の無断転載、複製、複写、盗用を固く禁じます。

















