症例詳細
Case detail
20年前にいれたインプラント|インプラント周囲炎|古いインプラントを除去しインプラント再埋入|痛く無いインプラント治療
治療症例の内容
- 担当医
- 河野豊嘉(ドクタープロフィール)
- 患者様
- 60代男性60
- 治療期間
- 6ヶ月
- 治療回数
- 2-5回
- 治療計画
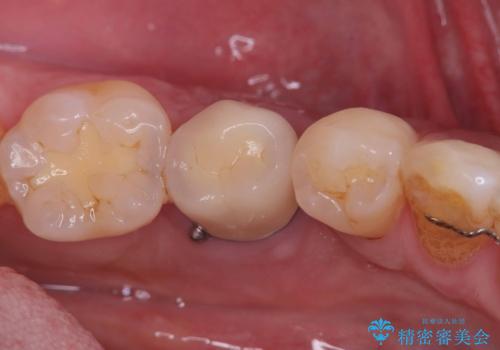
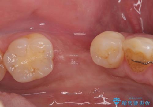
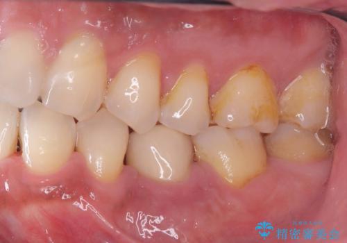
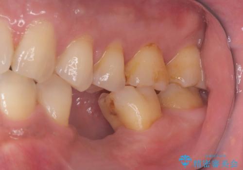
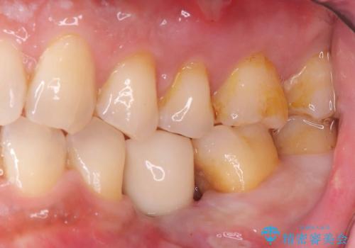
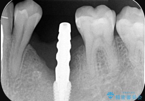
- 20年振りの来院で下顎左右5番にインプラント入れていた患者様です。
右下5番のインプラントは問題ありませんでしたが、左下5番のインプラントがインストール周囲炎に罹患している状態でした。
インプラントを抜去後、再びインプラントで治療を行いました。
- 費用(概算)
- 583,000円費用は治療当時の料金となります
治療について
20年以上振りのご来院でした。
インプラントは虫歯にはなりませんが、しっかりケアをしないと歯周病にはなってしまいます。
歯周病は歯の病気ではなく、骨の病気なので歯やインプラントは骨に支えられているため進行すると揺れてきてしまいます。
なので、衛生士による定期的なクリーニングはとても大事です。
当法人はどんなインプラントでも簡単に除去する事ができ、痛みが少なくインプラントを埋入する事ができます。
当患者様もインプラントのオペ後痛みが全くなく痛み止めも1錠も飲まず驚かれていました。
セラミック治療の注意事項(リスク・副作用など)
- 天然歯を削ります
- 硬い素材は天然歯を傷つけてしまう場合があります
- かみ合わせや歯ぎしりが強すぎる方はセラミックが割れてしまう可能性があります
- 自費診療(保険適用外治療)となります
インプラント治療の注意事項(リスク・副作用など)
- 外科手術のため、術後に痛みや腫れ、違和感を伴います
- メンテナンスを怠ったり喫煙により、お口の中に大きな悪影響を及ぼすインプラント周囲炎等にかかる可能性があります
- 糖尿病、肝硬変、心臓病等の場合、インプラント治療ができない可能性があります
- 高血圧、貧血・不整脈等の場合、インプラント治療後に治癒不全を招く可能性があります
- 自費診療(保険適用外治療)となります
当サイトの内容、テキスト、画像等の無断転載、複製、複写、盗用を固く禁じます。















