症例詳細
Case detail
治療途中の虫歯の歯をインプラントにしたい インプラント治療
治療症例の内容
- 担当医
- 有澤哲郎(ドクタープロフィール)
- 患者様
- 30代男性
- 治療期間
- 治療回数
- 5-10回
- 治療計画
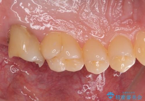
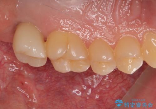
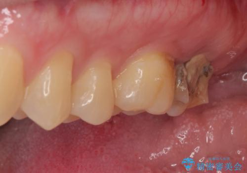
- 他院で虫歯治療の途中の歯を治療したいとのことで来院された患者様です。来院時特に症状もなく、根管治療途中の状態でした。レントゲン上でも大きい病変を認めました。治療方針として再度根管治療を行うか、抜歯をしてインプラントにする二つの方法をご提案しました。
咬み合わせが強く根管治療後の歯の破折のリスクや治療期間の観点からインプラント治療を行っていくこととなりました。
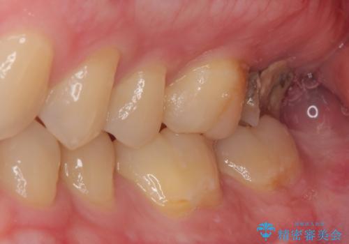
根尖病巣も大きかったため先に抜歯を行い、1ヶ月後にインプラントを埋入しました。
- 費用(概算)
- 47万円(税込み)費用は治療当時の料金となります
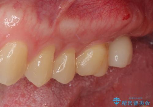
治療について
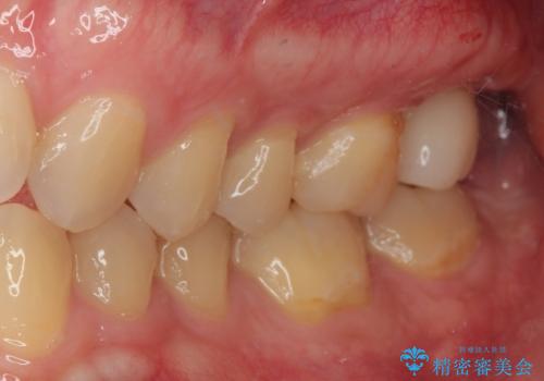
インプラントの埋入から被せものの装着まで2ヶ月で終えることができました。治療期間も短く、しっかり咬めるため大変喜んでいただきました。
インプラント治療の注意事項(リスク・副作用など)
- 外科手術のため、術後に痛みや腫れ、違和感を伴います
- メンテナンスを怠ったり喫煙により、お口の中に大きな悪影響を及ぼすインプラント周囲炎等にかかる可能性があります
- 糖尿病、肝硬変、心臓病等の場合、インプラント治療ができない可能性があります
- 高血圧、貧血・不整脈等の場合、インプラント治療後に治癒不全を招く可能性があります
- 自費診療(保険適用外治療)となります
外科処置の注意事項(リスク・副作用など)
- 外科手術のため、術後に出血、痛みや腫れ、違和感を伴います
- 口腔内の状態によっては適応できないことがあります
セラミック治療の注意事項(リスク・副作用など)
- 天然歯を削ります
- 硬い素材は天然歯を傷つけてしまう場合があります
- かみ合わせや歯ぎしりが強すぎる方はセラミックが割れてしまう可能性があります
- 自費診療(保険適用外治療)となります
その他の注意事項(リスク・副作用など)
- 担当歯科医師、歯科衛生士又は医院スタッフから受けた説明・注意事項をよくご確認ください
- 医療を提供するに当たり、適切な説明を行い、患者様の十分な理解を得るよう努めております
当サイトの内容、テキスト、画像等の無断転載、複製、複写、盗用を固く禁じます。














