症例詳細
Case detail
銀歯が外れた。オールセラミッククラウンによる補綴治療
治療症例の内容
- 診療科目
- 治療カテゴリ
- 担当医
- 齋藤佑磨(ドクタープロフィール)
- 患者様
- 40代女性
- 治療期間
- 1ヶ月
- 治療回数
- 2-5回
- 治療計画
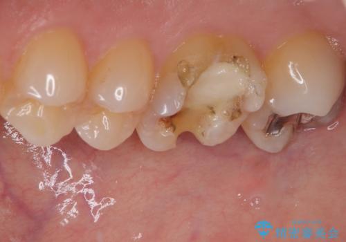
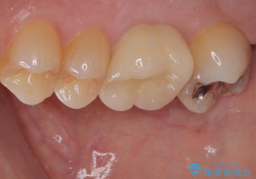
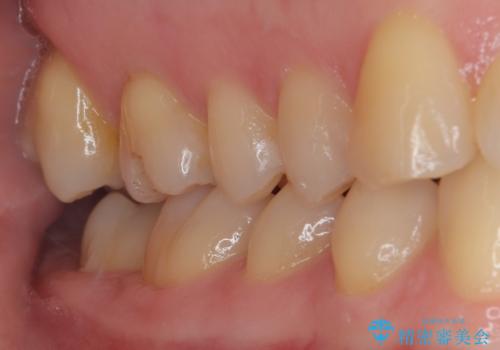
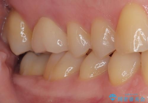
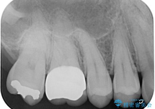
- 以前他院で治療した銀歯が外れてしまったとのことで来院された患者様です。
精査の結果、歯の神経は問題ないですが、欠損している範囲が大きいため部分的な詰め物では脱離や破折のリスクが高いため、オールセラミッククラウンによる補綴治療を行っていくこととしました。
- 費用(概算)
- 14万円(税込)費用は治療当時の料金となります
治療について
適合の良い治療は再度虫歯になるリスクが低いです。
セラミック治療の注意事項(リスク・副作用など)
- 天然歯を削ります
- 硬い素材は天然歯を傷つけてしまう場合があります
- かみ合わせや歯ぎしりが強すぎる方はセラミックが割れてしまう可能性があります
- 自費診療(保険適用外治療)となります
当サイトの内容、テキスト、画像等の無断転載、複製、複写、盗用を固く禁じます。








