症例詳細
Case detail
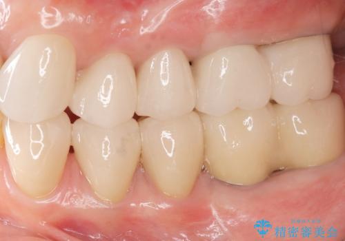
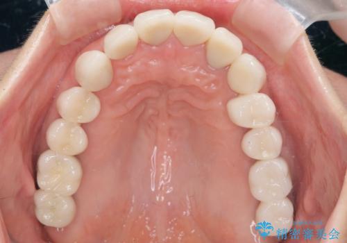
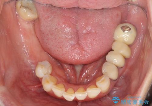
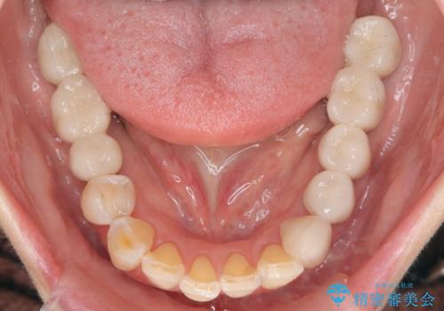
全顎 虫歯 インプラント治療
治療症例の内容
- 担当医
- 大元洋佑(ドクタープロフィール)
- 患者様
- 40代女性
- 治療期間
- 1年
- 治療回数
- 10-30回
- 治療計画
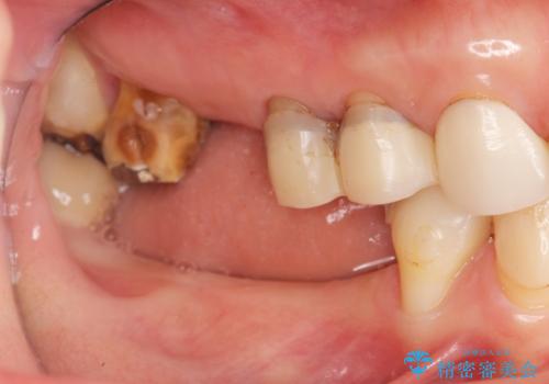
- 長年悩んでいる歯の見た目や欠損を全て治療したい、と希望され来院されました。
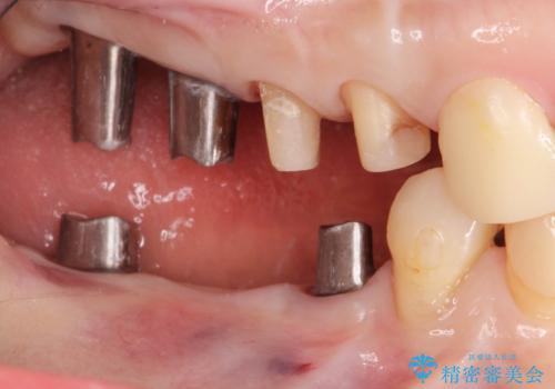
不適合やすり減ったクラウンを全て除去し、虫歯を丁寧に除去したのち精密なセラミック治療を行いました。
また失ってしまった奥歯についてはインプラントを用いて噛み合わせを確立する治療方針としました。
- 費用(概算)
- 550万円費用は治療当時の料金となります
治療について
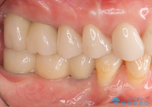
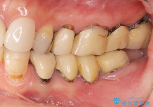
しっかりと調整された咬合関係と、見た目の改善に大変喜んでいただくことができました。
セラミック治療の注意事項(リスク・副作用など)
- 天然歯を削ります
- 硬い素材は天然歯を傷つけてしまう場合があります
- かみ合わせや歯ぎしりが強すぎる方はセラミックが割れてしまう可能性があります
- 自費診療(保険適用外治療)となります
インプラント治療の注意事項(リスク・副作用など)
- 外科手術のため、術後に痛みや腫れ、違和感を伴います
- メンテナンスを怠ったり喫煙により、お口の中に大きな悪影響を及ぼすインプラント周囲炎等にかかる可能性があります
- 糖尿病、肝硬変、心臓病等の場合、インプラント治療ができない可能性があります
- 高血圧、貧血・不整脈等の場合、インプラント治療後に治癒不全を招く可能性があります
- 自費診療(保険適用外治療)となります
当サイトの内容、テキスト、画像等の無断転載、複製、複写、盗用を固く禁じます。














