症例詳細
Case detail
何もしなくても歯がズキズキ痛い 根管治療とオールセラミッククラウンによる補綴
治療症例の内容
- 診療科目
- 担当医
- 齋藤佑磨(ドクタープロフィール)
- 患者様
- 30代女性
- 治療期間
- 2ヶ月
- 治療回数
- 2-5回
- 治療計画
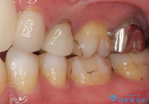
- 数日前から左下の奥歯がズキズキと脈をうつような痛みがあるとのことで来院された患者様です。
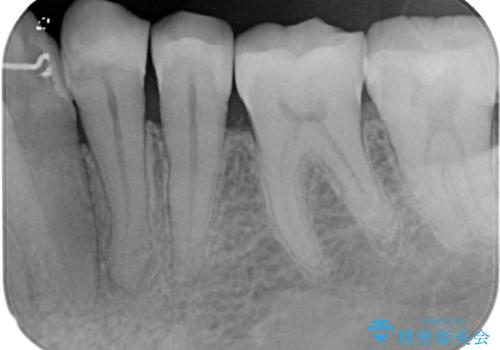
精査の結果、左下の第一小臼歯の虫歯が大きく進行していることが原因で痛みが出ていることがわかりました。
ラバーダム防湿を行ったうえで根管治療を行い、その後オールセラミッククラウンによる補綴治療を行っていくこととしました。
- 費用(概算)
- 25万円(税込)費用は治療当時の料金となります
治療について
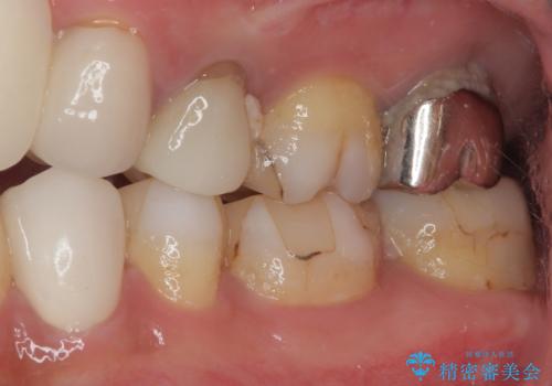
根管治療後すぐに痛みは消失しました。
根管治療後はクラウンによる補綴治療が必要です。
セラミック治療の注意事項(リスク・副作用など)
- 天然歯を削ります
- 硬い素材は天然歯を傷つけてしまう場合があります
- かみ合わせや歯ぎしりが強すぎる方はセラミックが割れてしまう可能性があります
- 自費診療(保険適用外治療)となります
根管治療の注意事項(リスク・副作用など)
- 根管治療により類似の全ての症例の問題が解決するわけではなく、症例はあくまでも一例です
- 根管治療により痛みや腫れがひかない事や、術後に痛みや腫れが生じる事、治療によるファイル破折やパーフォレーションなどの偶発症、術後の歯根破折を生じる可能性もあります
- 自費診療(保険適用外)となります
当サイトの内容、テキスト、画像等の無断転載、複製、複写、盗用を固く禁じます。







