症例詳細
Case detail
奥歯で噛みたい 破折した歯のインプラント治療
治療症例の内容
- 担当医
- 藤巻太一朗(ドクタープロフィール)
- 患者様
- 50代女性
- 治療期間
- 7ヶ月
- 治療回数
- 5-10回
- 治療計画
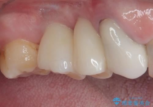
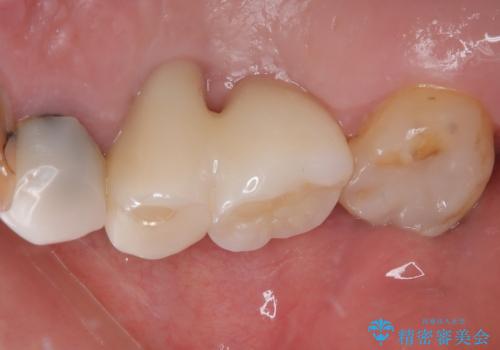
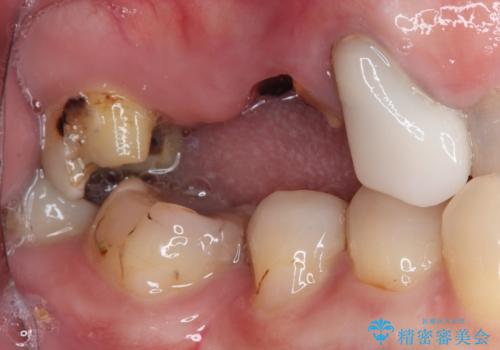
- 欠損や破折により失われた奥歯に、インプラント治療を希望して来院された患者様です。
欠損部はすぐにインプラント埋入が可能で、手前の歯根が残存している部位も、できれば抜歯をして奥と一緒に埋入をしたいところでしたが、破折による炎症が大きいため、2回に分けてインプラント埋入を行うこととしました。
- 費用(概算)
- 90万円(税込)費用は治療当時の料金となります
治療について
本来であれば、下顎の歯列を整えることで、上下がタイトに咬み合わせるように仕上げるべきでしたが、予算の都合で上顎のインプラント補綴治療のみを行うこととなりました。
インプラント治療の注意事項(リスク・副作用など)
- 外科手術のため、術後に痛みや腫れ、違和感を伴います
- メンテナンスを怠ったり喫煙により、お口の中に大きな悪影響を及ぼすインプラント周囲炎等にかかる可能性があります
- 糖尿病、肝硬変、心臓病等の場合、インプラント治療ができない可能性があります
- 高血圧、貧血・不整脈等の場合、インプラント治療後に治癒不全を招く可能性があります
- 自費診療(保険適用外治療)となります
セラミック治療の注意事項(リスク・副作用など)
- 天然歯を削ります
- 硬い素材は天然歯を傷つけてしまう場合があります
- かみ合わせや歯ぎしりが強すぎる方はセラミックが割れてしまう可能性があります
- 自費診療(保険適用外治療)となります
当サイトの内容、テキスト、画像等の無断転載、複製、複写、盗用を固く禁じます。

















