症例詳細
Case detail
転位歯や埋伏歯などの難易度の高い抜歯矯正治療
治療症例の内容
- 診療科目
- 担当医
- 藤巻太一朗(ドクタープロフィール)
- 患者様
- 20代女性
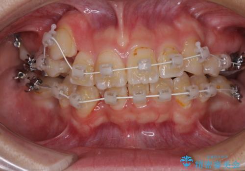
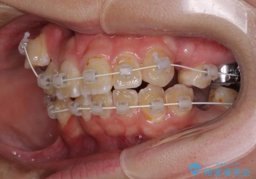
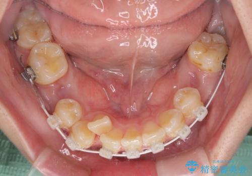
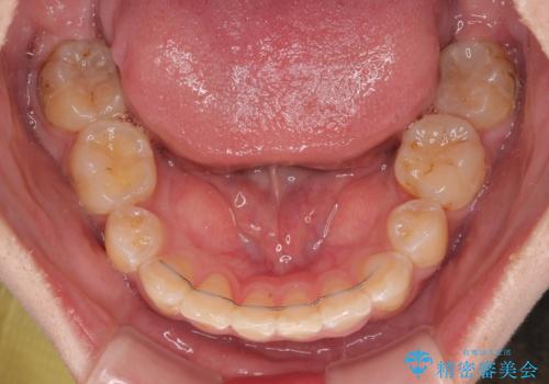
- 矯正装置
- 審美装置
- 治療期間
- 4年4ヶ月
- 治療回数
- 30回以上
- 治療計画
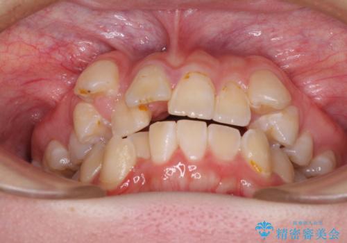
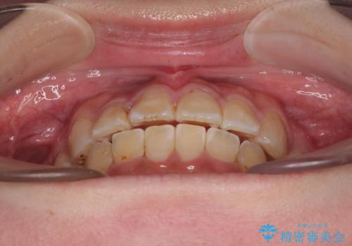
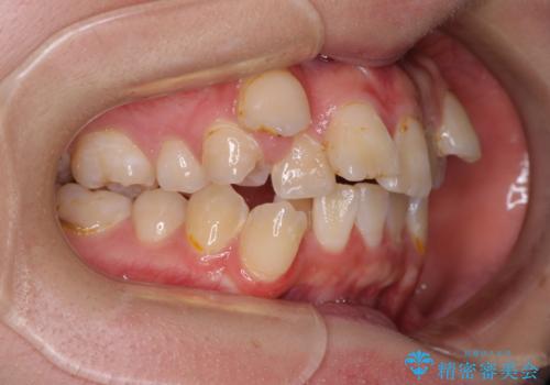
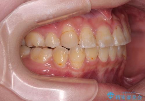
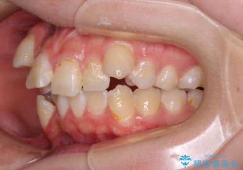
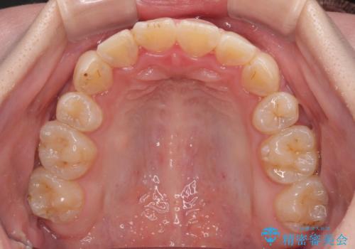
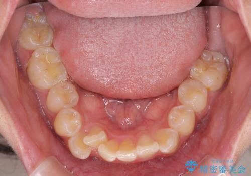
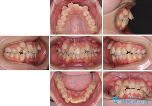
- 八重歯や埋伏している奥歯など、多くの難しい問題を抱えている患者様です。
重度叢生のため、大臼歯をしっかりと咬合させるために、下顎は左右第二小臼歯を、上顎は前歯部の叢生を解消するために左右第一小臼歯を抜歯し、口元の突出感を改善するために、上顎大臼歯が前方に移動しないようにするために、補助装置による架強固定を行うこととしました。
- 費用(概算)
- 120万円(税込)費用は治療当時の料金となります
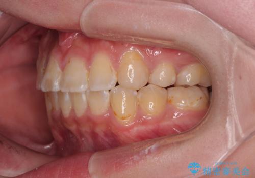
治療について
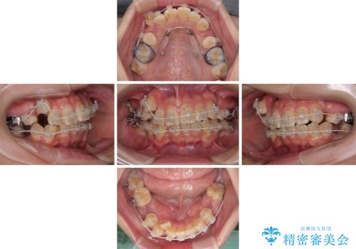
叢生は思ったよりも早期に改善されましたが、舌の突出癖による上下前歯の非接触が全く改善されず、2年間ほど治療期間が延びる結果となってしまいました。
ワイヤー矯正の注意事項(リスク・副作用など)
- 治療中は違和感や痛みが起こることがあります
- 症状により、抜歯が必要な場合があります
- 治療中は歯磨きがしにくくなるため、虫歯や歯周病になりやすくなります
- 矯正治療後の保定が不十分だと後戻り(元の位置に戻ろうとする動き)をします
- 自費診療(保険適用外)となります
当サイトの内容、テキスト、画像等の無断転載、複製、複写、盗用を固く禁じます。


























