症例詳細
Case detail
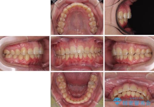
上顎前歯のデコボコを改善してスッキリした口元に ワイヤー装置での非抜歯矯正
治療症例の内容
- 診療科目
- 担当医
- 藤巻太一朗(ドクタープロフィール)
- 患者様
- 30代男性
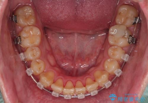
- 矯正装置
- クリアブラケット
- 治療期間
- 2年3ヶ月
- 治療回数
- 10-30回
- 治療計画
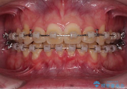
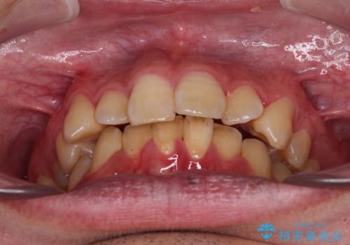
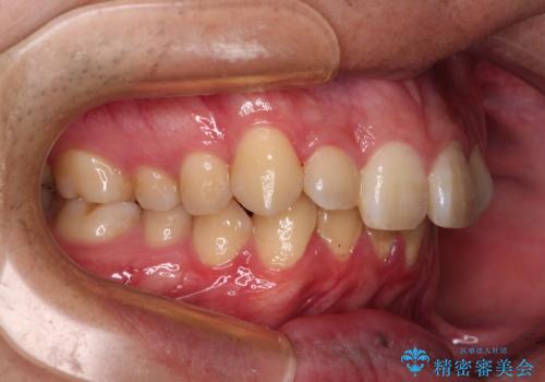
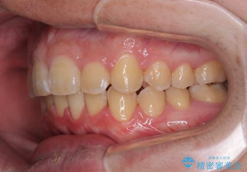
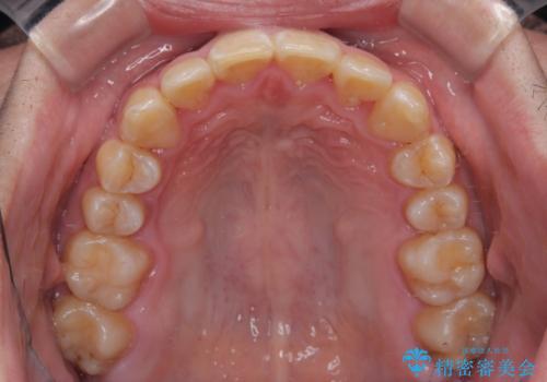
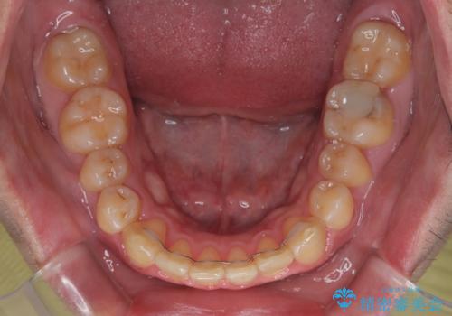
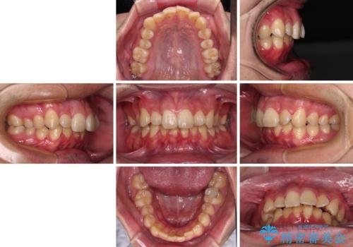
- 上顎前歯のデコボコを気にして来院された患者様です。
上下前歯にデコボコがありましたが、特に上顎の叢生が強く、通常に歯列を整えると、上顎が前方に突出し、口元の突出感が残った仕上がりとなる可能性が考えられました。
補助装置を用いて上顎歯列全体を後方に移動させる力をかけ、唇が閉じやすいような仕上がりを目指して、ワイヤー装置にて矯正治療を行うこととしました。
- 費用(概算)
- 100万円(税込)費用は治療当時の料金となります
治療について
非常に咬合力が強く、左側の臼歯がなかなか後方へ移動できなかったのですが、2年ほどかけて大変満足のいく仕上がりを達成することができました。
ワイヤー矯正の注意事項(リスク・副作用など)
- 治療中は違和感や痛みが起こることがあります
- 症状により、抜歯が必要な場合があります
- 治療中は歯磨きがしにくくなるため、虫歯や歯周病になりやすくなります
- 矯正治療後の保定が不十分だと後戻り(元の位置に戻ろうとする動き)をします
- 自費診療(保険適用外)となります
当サイトの内容、テキスト、画像等の無断転載、複製、複写、盗用を固く禁じます。


























