症例詳細
Case detail
欠損と口元の突出感 ワイヤー装置での抜歯矯正
治療症例の内容
- 診療科目
- 治療カテゴリ
- 担当医
- 藤巻太一朗(ドクタープロフィール)
- 患者様
- 20代女性
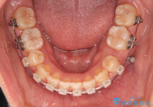
- 矯正装置
- クリアブラケット
- 治療期間
- 1年10ヶ月
- 治療回数
- 10-30回
- 治療計画
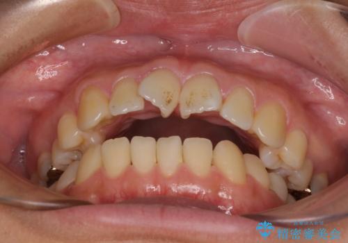
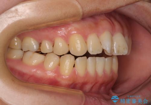
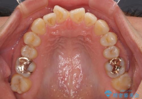
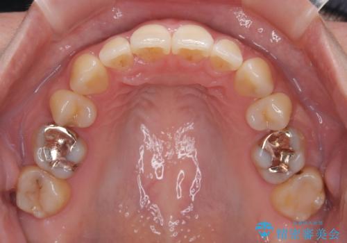
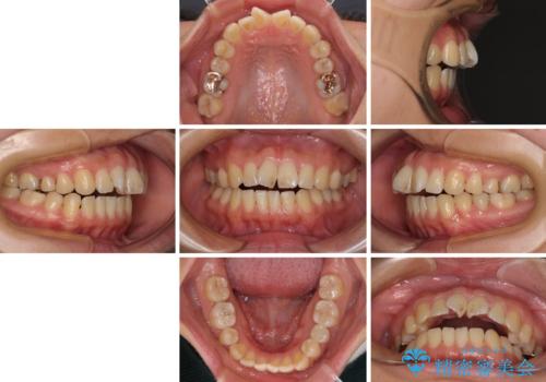
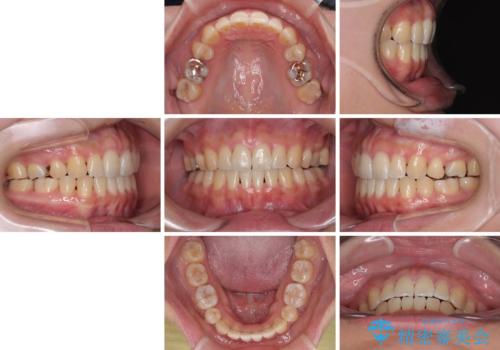
- 下顎小臼歯が欠損しており、さらに上顎が全体的に突出していることを気にして来院された患者様です。
下顎は片方の小臼歯が欠損していたため、正中がずれた上に、上下前歯が接触していない状態でした。
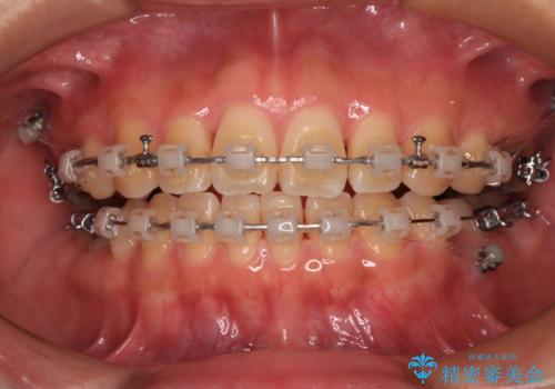
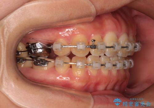
上顎左右の小臼歯2本および下顎小臼歯を1本抜歯し、補助装置を用いて上顎大臼歯が前方に移動しないように固定した上で、ワイヤー装置にて矯正治療を行うこととしました。
- 費用(概算)
- 100万円(税込)費用は治療当時の料金となります
治療について
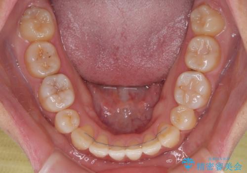
上下前歯のズレは舌の突出癖による影響も大きいと考えられたたため、舌のトレーニングをしっかりと行っていただきました。
ワイヤー矯正の注意事項(リスク・副作用など)
- 治療中は違和感や痛みが起こることがあります
- 症状により、抜歯が必要な場合があります
- 治療中は歯磨きがしにくくなるため、虫歯や歯周病になりやすくなります
- 矯正治療後の保定が不十分だと後戻り(元の位置に戻ろうとする動き)をします
- 自費診療(保険適用外)となります
当サイトの内容、テキスト、画像等の無断転載、複製、複写、盗用を固く禁じます。


























