症例詳細
Case detail
【モニター】八重歯と正中を改善 ワイヤー装置の抜歯矯正
治療症例の内容
- 診療科目
- 治療カテゴリ
- 担当医
- 藤巻太一朗(ドクタープロフィール)
- 患者様
- 20代女性
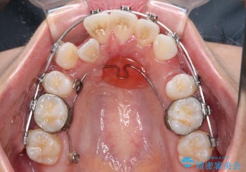
- 矯正装置
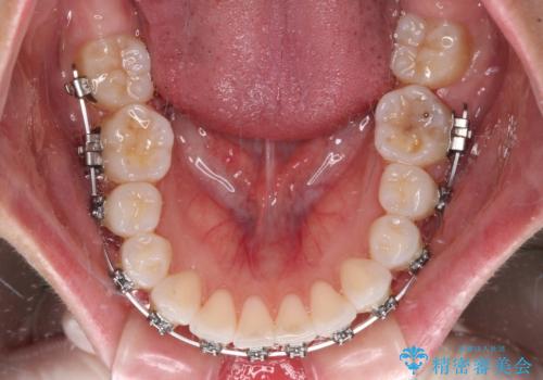
- メタルブラケット
- 治療期間
- 2年10ヶ月
- 治療回数
- 30回以上
- 治療計画
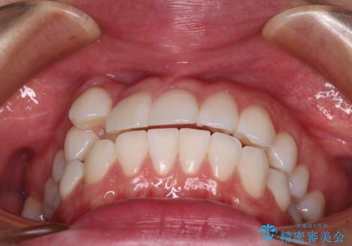
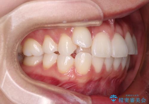
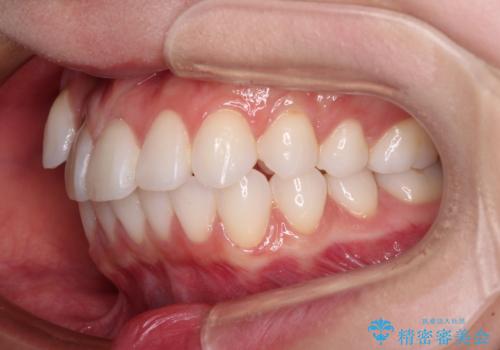
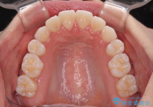
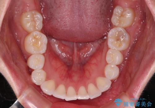
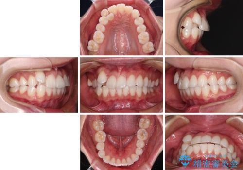
- 八重歯と、それによる正中のズレを気にして来院された患者様です。
口元の突出感は気にしていなかったため、上顎の左右第一小臼歯を抜歯することで、八重歯の解消と上顎の正中を改善していくこととしました。
- 費用(概算)
- 90万円(税込)費用は治療当時の料金となります
※顔写真掲載にあたり、患者様の了解を得ております
治療について
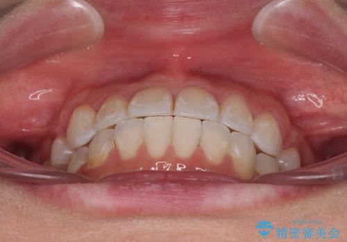
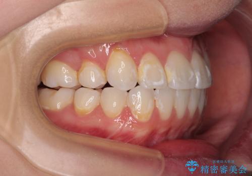
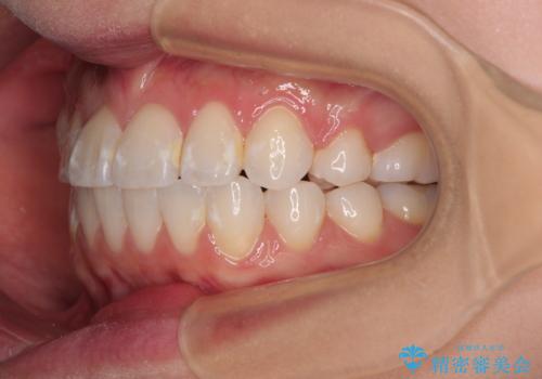
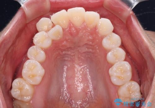
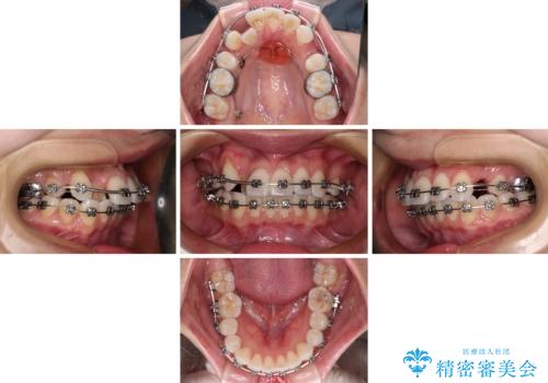
奥歯の咬み合わせを維持しながら正中位置を改善するために、補助装置を使用しました。
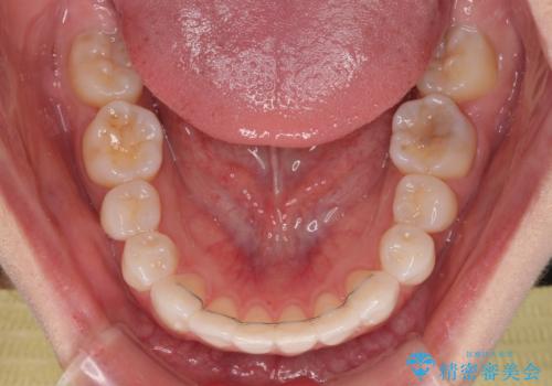
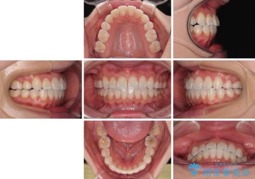
予定より期間がかかりましたが、上下の正中位置を綺麗に一致させることができました。
ワイヤー矯正の注意事項(リスク・副作用など)
- 治療中は違和感や痛みが起こることがあります
- 症状により、抜歯が必要な場合があります
- 治療中は歯磨きがしにくくなるため、虫歯や歯周病になりやすくなります
- 矯正治療後の保定が不十分だと後戻り(元の位置に戻ろうとする動き)をします
- 自費診療(保険適用外)となります
当サイトの内容、テキスト、画像等の無断転載、複製、複写、盗用を固く禁じます。


























