症例詳細
Case detail
割れてしまった奥歯 インプラント治療
治療症例の内容
- 担当医
- 藤巻太一朗(ドクタープロフィール)
- 患者様
- 40代女性
- 治療期間
- 8ヶ月
- 治療回数
- 10-30回
- 治療計画
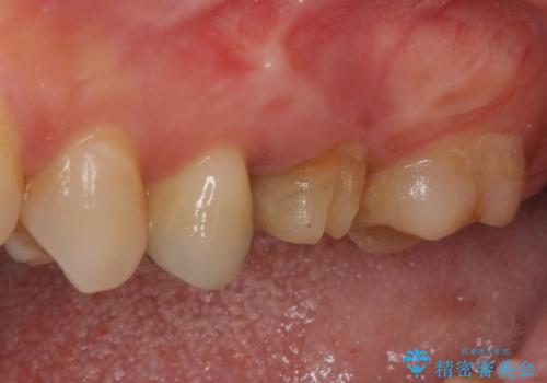
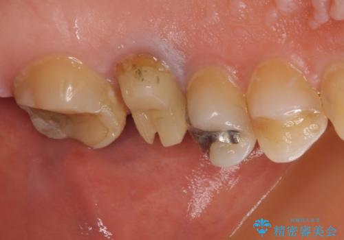
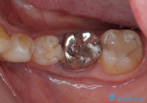
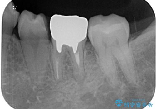
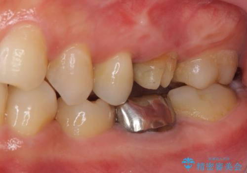
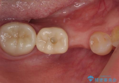
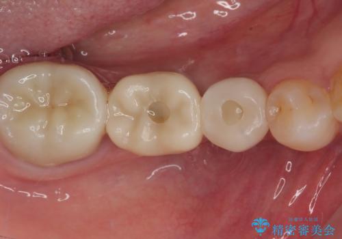
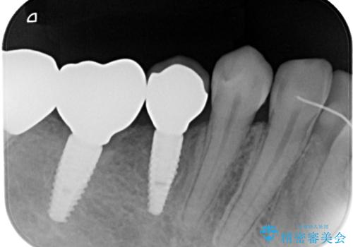
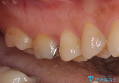
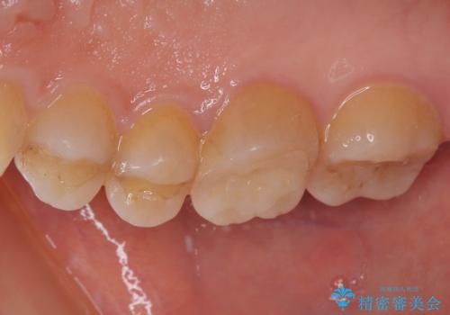
- 近医にて抜歯が必要と診断されたとのことで来院された患者様です。
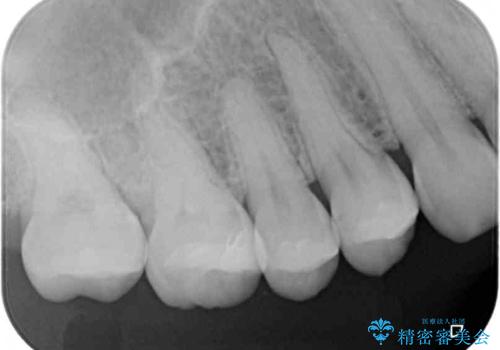
術前の診査では、歯が破折している可能性が高いものの、確実に抜歯が必要と診断ができない状態でした。
状況次第では抜歯が必要となり、その際にはインプラント治療を行うことを了承いただいた上で、破折していない場合には根管治療を行うこととしました。
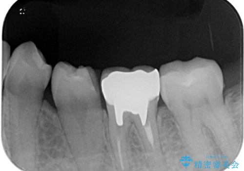
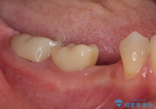
土台の材料を外して顕微鏡下で確認したところ、歯根にまで及ぶ破折が認められたため、インプラント治療を行うこととしました。
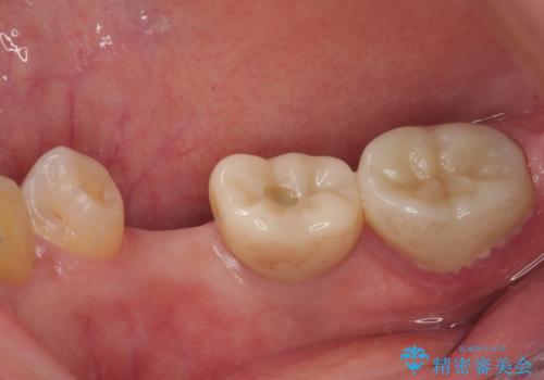
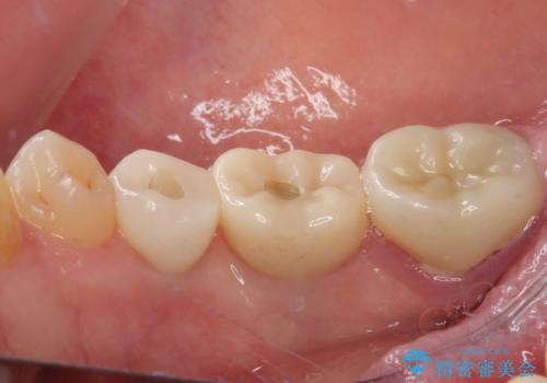
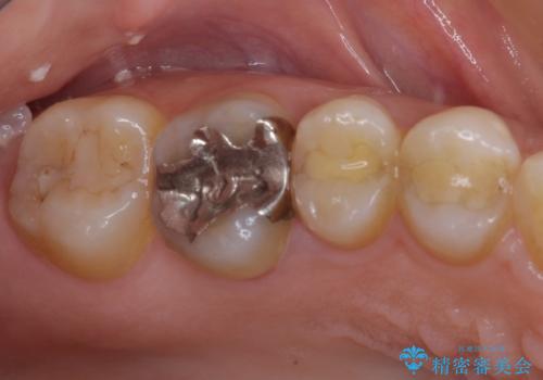
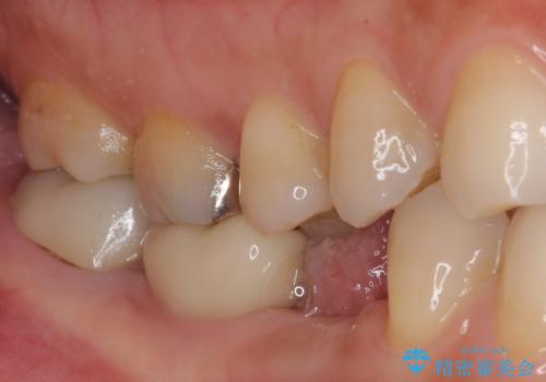
他にも銀歯や欠損となっている歯に対しての治療も希望されたため、補綴治療を行うこととしました。
- 費用(概算)
- 120万円(税込)費用は治療当時の料金となります
治療について
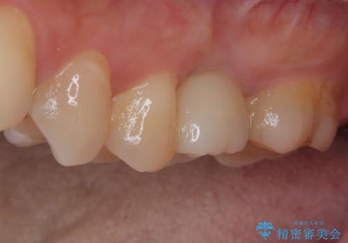
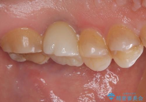
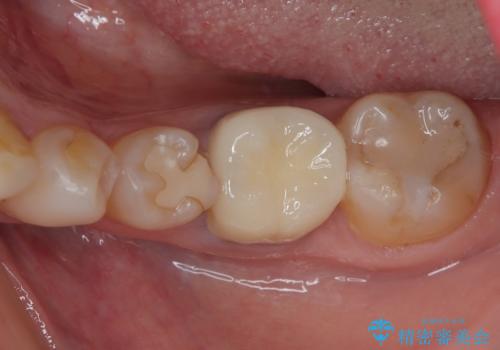
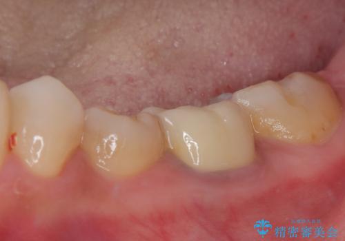
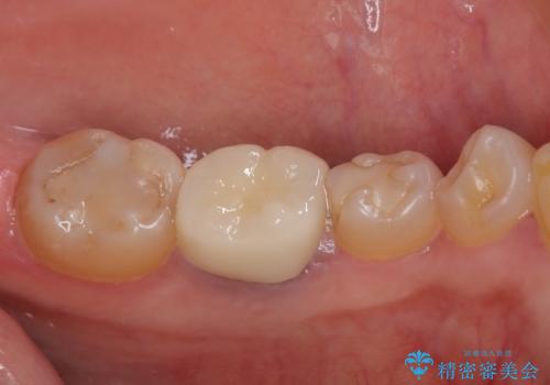
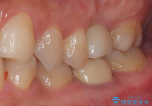
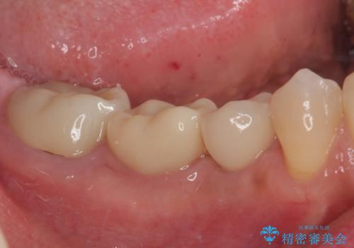
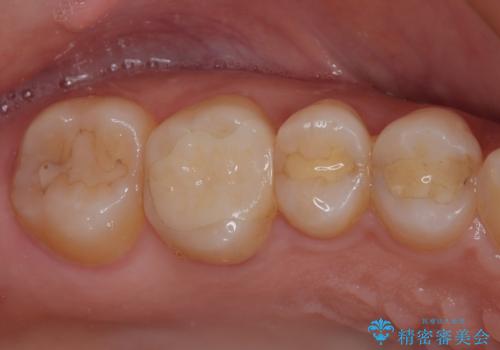
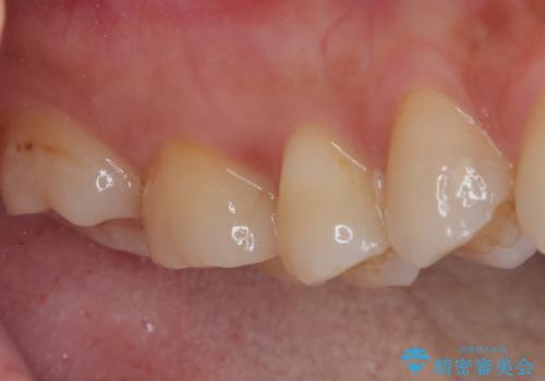
インプラント治療をきっかけに、銀歯を全てセラミックに替えていきました。
人の目を気にせずに、大きく口を開けて笑えるようになりました。
インプラント治療の注意事項(リスク・副作用など)
- 外科手術のため、術後に痛みや腫れ、違和感を伴います
- メンテナンスを怠ったり喫煙により、お口の中に大きな悪影響を及ぼすインプラント周囲炎等にかかる可能性があります
- 糖尿病、肝硬変、心臓病等の場合、インプラント治療ができない可能性があります
- 高血圧、貧血・不整脈等の場合、インプラント治療後に治癒不全を招く可能性があります
- 自費診療(保険適用外治療)となります
セラミック治療の注意事項(リスク・副作用など)
- 天然歯を削ります
- 硬い素材は天然歯を傷つけてしまう場合があります
- かみ合わせや歯ぎしりが強すぎる方はセラミックが割れてしまう可能性があります
- 自費診療(保険適用外治療)となります
当サイトの内容、テキスト、画像等の無断転載、複製、複写、盗用を固く禁じます。












































