症例詳細
Case detail
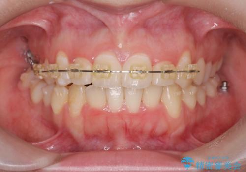
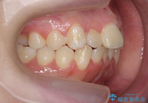
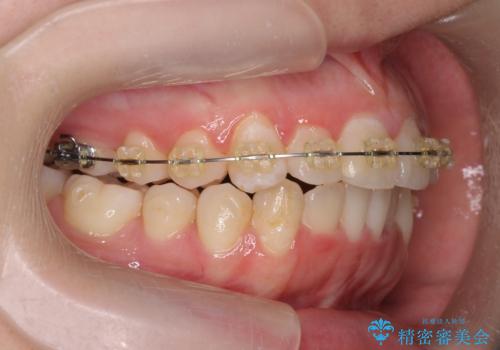
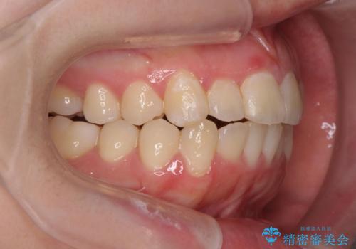
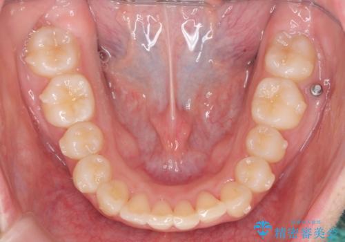
前歯のズレ・がたつき・すれ違いの矯正治療
治療症例の内容
- 担当医
- 大元洋佑(ドクタープロフィール)
- 患者様
- 20代女性
- 矯正装置
- インビザライン +部分ワイヤー矯正
- 治療期間
- 2年6ヶ月
- 治療回数
- 10-30回
- 治療計画
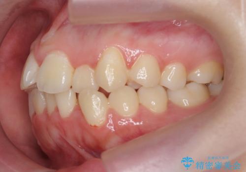
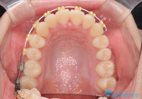
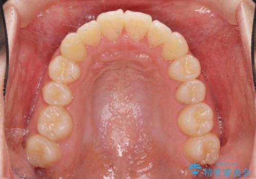
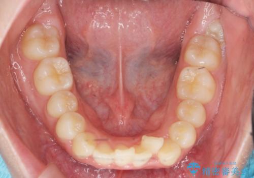
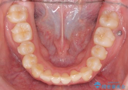
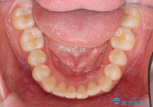
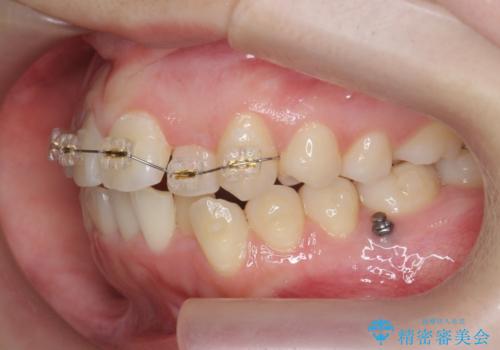
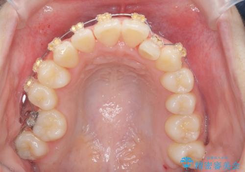
- 前歯のがたつき、すれ違いのある歯並びの改善を希望され来院されました。
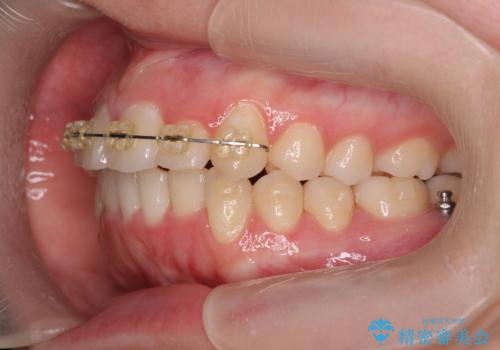
奥歯の著しい位置のズレや前歯のすれ違いを、部分ワイヤー矯正で改善したのち、マウスピース矯正システムインビザラインで歯列を整えていく治療計画、としました。
- 費用(概算)
- 99万円費用は治療当時の料金となります
治療について
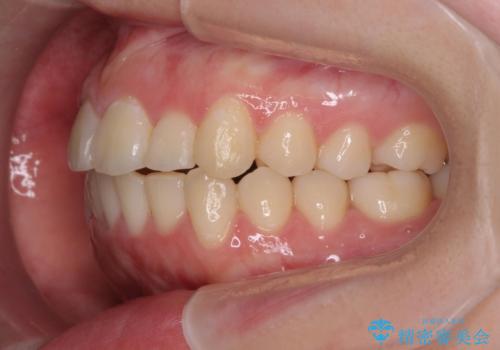
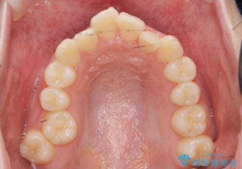
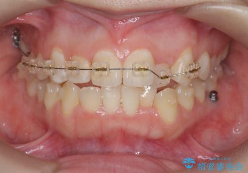
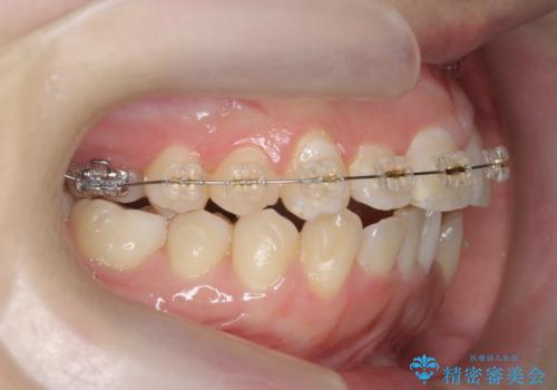
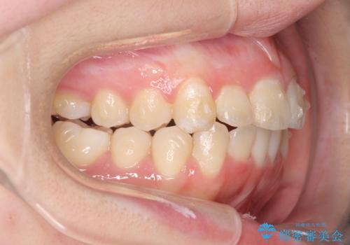
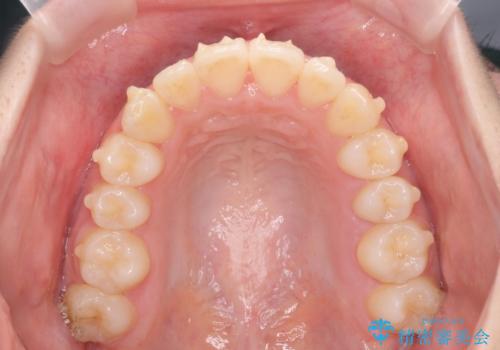
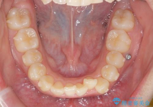
2年半の治療期間で、大きく前歯の並びが改善し、仕上がりに大変喜んでいただくことができました。
マウスピース矯正の注意事項(リスク・副作用など)
- 口腔内・歯並びの状態によっては対応できない場合があります
- マウスピース型矯正装置の長時間装着(1日20時間以上)が必須です
- 治療計画通りに進めるためには、患者様の意志が重要になります
- 矯正治療後の保定が不十分だと後戻り(元の位置に戻ろうとする動き)をします
- 薬機法対象外の矯正歯科装置のため医薬品副作用被害救済制度の対象外となる場合があります
- 自費診療(保険適用外)となります
当サイトの内容、テキスト、画像等の無断転載、複製、複写、盗用を固く禁じます。

























