症例詳細
Case detail
プラスチックの詰め物が外れた オールセラミッククラウン
治療症例の内容
- 診療科目
- 治療カテゴリ
- 担当医
- 有澤哲郎(ドクタープロフィール)
- 患者様
- 30代男性
- 治療期間
- 1ヶ月
- 治療回数
- 2-5回
- 治療計画
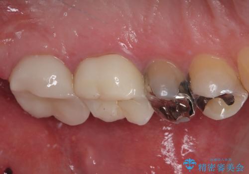
- メインテナンス時に詰め物が外れているのでやり替えたいとのことで来院された患者様です。
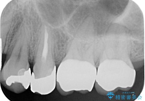
以前にも詰め物が外れてオールセラミッククラウンによる補綴治療を行っており、今回も詰め物の範囲が大きい為オールセラミッククラウンによる被せもの治療を行うことになりました。
拡大鏡視野下でコンポジットレジン、虫歯を除去しオールセラミッククラウンに適した形に整えました。
歯と歯茎の間に圧排糸と言われる糸を入れてシリコーン印象材にて型どりをしました。
- 費用(概算)
- 14万円(税込み)費用は治療当時の料金となります
治療について
見た目、機能面共に満足していただけました。
今後もメンテナンスで通ってもらいながら、治療が必要になってきたところは順次行っていく予定です。
セラミック治療の注意事項(リスク・副作用など)
- 天然歯を削ります
- 硬い素材は天然歯を傷つけてしまう場合があります
- かみ合わせや歯ぎしりが強すぎる方はセラミックが割れてしまう可能性があります
- 自費診療(保険適用外治療)となります
その他の注意事項(リスク・副作用など)
- 担当歯科医師、歯科衛生士又は医院スタッフから受けた説明・注意事項をよくご確認ください
- 医療を提供するに当たり、適切な説明を行い、患者様の十分な理解を得るよう努めております
当サイトの内容、テキスト、画像等の無断転載、複製、複写、盗用を固く禁じます。









