症例詳細
Case detail
銀歯・虫歯・治療途中の歯を治していきたい
治療症例の内容
- 担当医
- 大元洋佑(ドクタープロフィール)
- 患者様
- 30代男性
- 治療期間
- 7ヶ月
- 治療回数
- 10-30回
- 治療計画
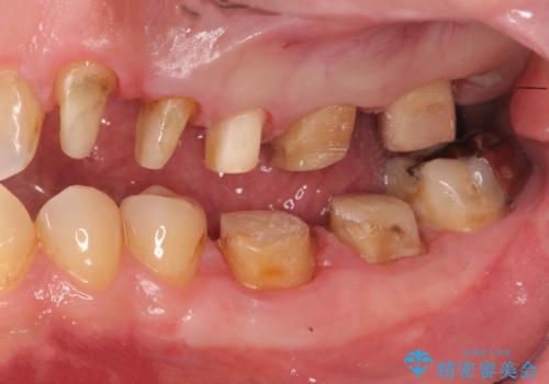
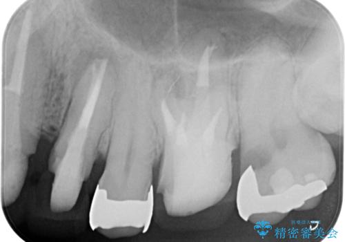
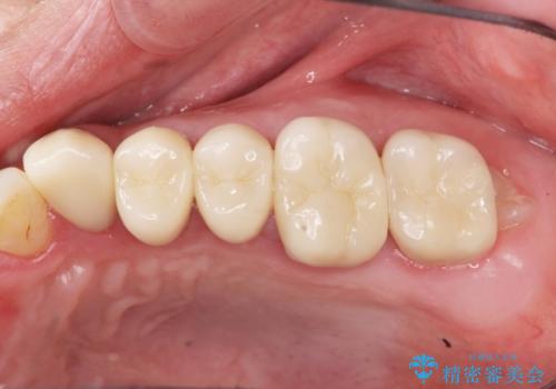
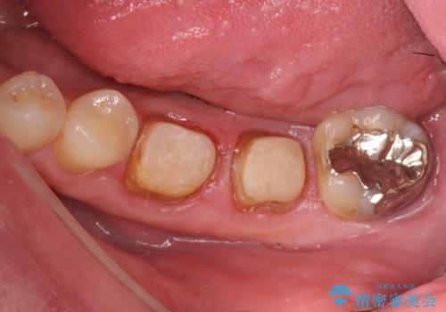
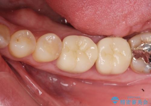
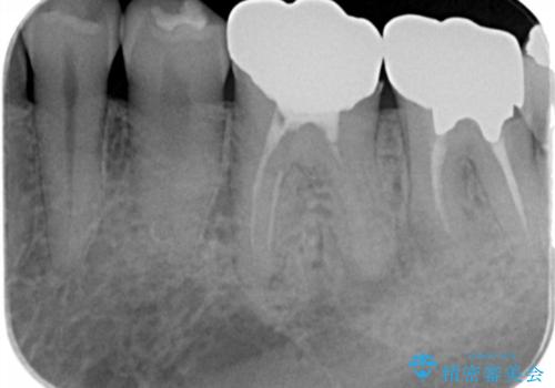
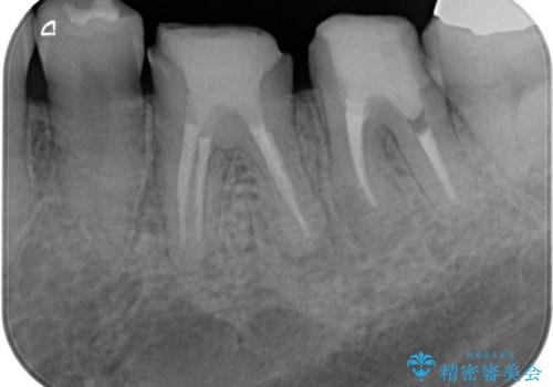
- 銀歯・虫歯・治療途中の歯を治していきたい、セラミックの歯にしたい!と希望され来院されました。
銀歯の下で再発した虫歯や、根尖病変等、多々の問題が認められましたがひとつづつ丁寧に改善し、長期的な予後の見込めるセラミック治療を行っていきます。
- 費用(概算)
- 92.4万円(ジルコニアクラウン×7・仮歯×7)費用は治療当時の料金となります
治療について
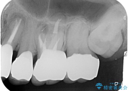
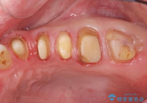
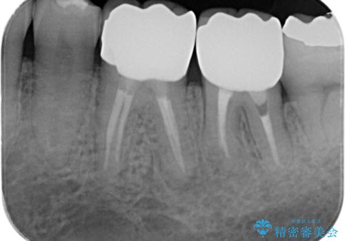
適合の良いセラミック治療をおこなったことで、歯ブラシがしやすくなり銀歯の見た目だけでなく歯ぐきの状態も大幅に改善することができました。
セラミック治療の注意事項(リスク・副作用など)
- 天然歯を削ります
- 硬い素材は天然歯を傷つけてしまう場合があります
- かみ合わせや歯ぎしりが強すぎる方はセラミックが割れてしまう可能性があります
- 自費診療(保険適用外治療)となります
当サイトの内容、テキスト、画像等の無断転載、複製、複写、盗用を固く禁じます。















